AOTRAUMA.ORG Центр Илизарова  

Ортопедия и травматология Общие вопросы/General questions Help Информационные технологии в медицине
 вверх
 отправить
 поиск
 админ
 главная
 Предыдущее


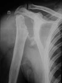
Re: Лизис костей плечевого сустава
Игорь Девин 19 Март 2011, 16:52
Нужна открытая биопсия. будет саркома.

И.Девин
  • Сообщения о Ортопедия и травматология
  • Также Игорь Девин
  • Связаться с автором
  • Ответить

    Re: Лизис костей плечевого сустава
    Чирков Николай 20 Март 2011, 02:45
    Извиняюсь, что-то фотографии сразу не прошли. сейчас исправимся.


    [ Ответить ]


    ( Ответить )

    Powered by Zope  Squishdot Powered MedLink
    Посетитель: 0000042
      "По форме правильно, а по существу - издевательство" В.И.Ленин
    ©2001-2019Orthoforum Coordinator.
    [ Главная | Отправить сообщение | Поиск | Админ ]