вверх
отправить
поиск
админ
главная
Предыдущее
|
Re: Ложный сустав? после перелома типа pilon
Alexander Chelnokov 20 Март 2011, 21:44
|
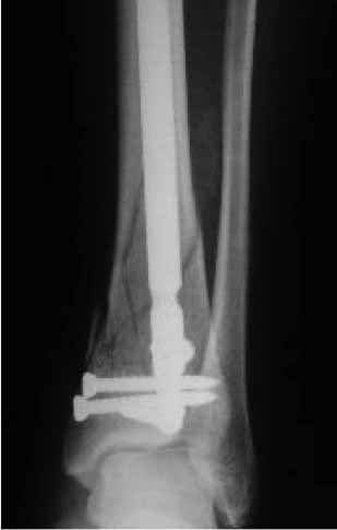
Мне представляется, что чрескожная остеотомия (или без нее, тугой ложный сустав можно и закрыто мобилизовать) и постепенная коррекция, особенно если упомянуты рубцы, это оптимальное начало. Одномоментная коррекция в этой области, да в 72 г., еще и с рубцами - как-то не лежит душа. Хотя это технически выполнимо, и интраоперационный дистрактор поможет - но грубо, травматично, и чревато проблемами с тканями.
А после коррекции оси решить по окончательной фиксации. Вероятно, действительно можно будет заштифтовать. Рентгенологически сустав не потерян, так что действительно антеградно, как коллега Vlad предлагает. Имплантатов для короткого дистального отломка сейчас много. При штифтовании гвоздик должен быть сориентирован по фасу не на центр, а латеральнее, см. пример.

Впрочем, надо аппаратом максимально устранить все смещения, и уж какое положение отломков будет задано, то и будет гвоздем зафиксировано.
|
|
|