AOTRAUMA.ORG Центр Илизарова  

Ортопедия и травматология Общие вопросы/General questions Help Информационные технологии в медицине
 вверх
 отправить
 поиск
 админ
 главная


гонартроз
Ортопедия и травматология Отправлено Эдуард Кудяблик 07 Апрель 2011, 19:33
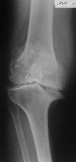
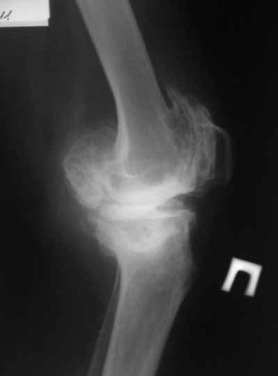
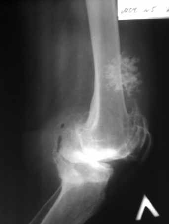
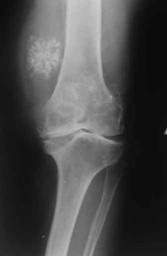
Пациентка 72 лет.Не обследовалась и не лечилась.
Работала поварихой до последнего времени.обратилась за медпомощью впервые.ходит без дополнительной опоры. Основные жалобы на ограничение движений и боли в правом коленном суставе.
Финансовые возможности ограничены.Чем можно помочь? Артродез? Протезирование?

<  |  >

 

  • Сообщения о Ортопедия и травматология
  • Также Эдуард Кудяблик
  • Связаться с автором
  • Ответить

    Re: гонартроз
    С.А.Т. 07 Апрель 2011, 22:09
    Здравствуйте! А у вас нет ли R-гр? Для установления ст. артроза. Если же пациентка обращается первично, может стоит попробовать консервативное лечение?! НПВП, физиолечение, массаж, внутрисуставные блокады... Артродез и протезирование думаю всегда успеется.
    С Уважением С.А.Т.

    [ Ответить ]

    Re: гонартроз
    Адонин 08 Апрель 2011, 00:46
    однозначно протезирование
    [ Ответить ]

    Re: гонартроз
    Anatoly Yakushin 08 Апрель 2011, 05:58
    Больной несомненно показано эндопротезирование, однако случай не простой. Если у Вас нет достаточного опыта в проведении подобных операций, лучше направить больную в соответствующее лечебное
    учреждение. По квоте.
    [ Ответить ]


    ( Ответить )

    Powered by Zope  Squishdot Powered MedLink
    Посетитель: 0147962
      "По форме правильно, а по существу - издевательство" В.И.Ленин
    ©2001-2019Orthoforum Coordinator.
    [ Главная | Отправить сообщение | Поиск | Админ ]