вверх
отправить
поиск
админ
главная
|
Вальгусная деформация локтевого сустава, 11 л. |
 |
 |
 |
Отправлено Пожарский Ю. 11 Апрель 2011, 21:05
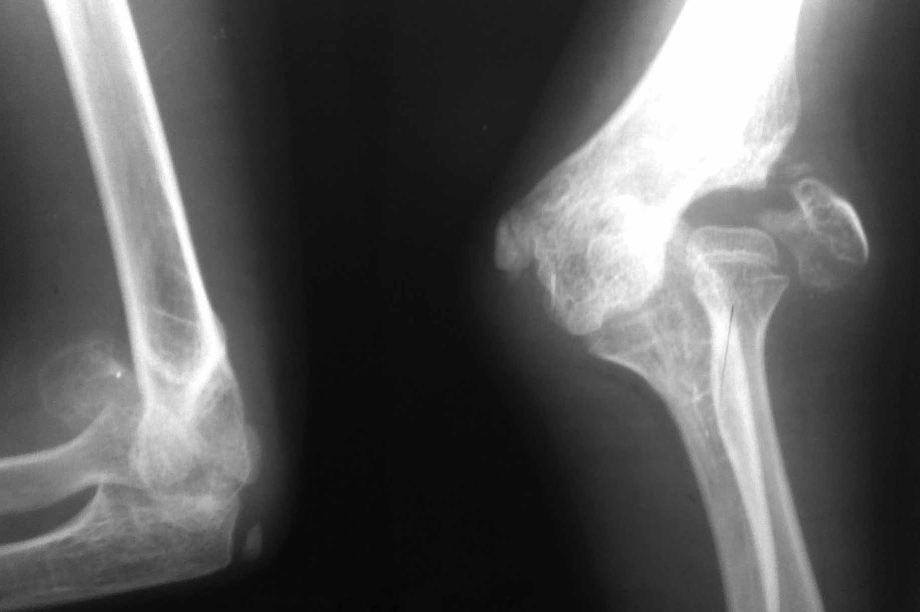
Уважаемые коллеги. Очень интересно услышать мнения по тактике лечения пациента 11 лет. DS:Ложный сустав головчатого возвышения правого плеча. Вальгусная деформация локтевого сустава Пациент 11 лет. Из детского дома. За помощью обратился впервые. Анамнез заболевания собрать не представляется возможным. Вероятнее всего имел место нелеченный перелом головчатого возвышения плеча со смещением отломков. Давность травмы неизвестна.
/Объективно: Вальгусная деформация локтевого сустава 25-30град. По наружной поверхности пальпируется тугоподвижный костный фрагмент головчатого возвышения. Функция сустава сохранена в полном объеме, безболезненна.Рентгенограмма прилагается.
<
|
>
|
|
Ответить
|
Re: Вальгусная деформация локтевого сустава, 11 л.
Дмитрий 12 Апрель 2011, 09:46
|
Варизирующая остеотомия метафиза плеча. Фиксация аппарат Илизарова. На суставе не вмешиваться, дабы не потерять функцию.
|
[
Ответить ]
|
Re: Вальгусная деформация локтевого сустава, 11 л.
Отправитель: Пожарский Ю. 12 Апрель 2011, 11:37
|
Варизация бесспорно напрашивается. Вопрос в сроках ее выполнения, т.к. без создания костного упора для головки лучевой кости вальгус локтевого сустава будет рецидивировать. И к воросу о фиксации аппаратом Илизарова - слишком громоздко и сложно. В чем его преимущество перед остеосинтезом спицами?
|
[
Ответить ]
|
|
Re: Вальгусная деформация локтевого сустава, 11 л.
Шведовченко Игорь Владимирович 13 Апрель 2011, 00:18
|
Уважаемый господин Пожарский. Это конечно головчатое возвышение, ротированное кнаружи на 180 градусов.
Учитывая ситуацию самым надежным конечно будет корригирующая остеотомия в области дистального метафиза плечевой кости. На вопрос "когда" можно ответить встречным вопросом-зона роста мыщелка плечевой кости сохранена? Нет, не сохранена-значит можно уже сейчас.
|
[
Ответить ]
|
Re: Вальгусная деформация локтевого сустава, 11 л.
Отправитель: Абдурашид 14 Апрель 2011, 00:22
|
Уважаемые коллеги. У нас тоже были несколько случаев, и что интересно движение в полном объеме и она совершается в плече-локтевом суставе и в ложном суставе головчатого возвышение, а головка луча фиброзно спаяна с головчатым возвышением , поэтому мы сустав не трогали. Произведена корригируюшая надмышелковая остеотомия, и фиксация аппаратом Илизарова из 1,5 колец.( у нас все чрез и надмышелковые переломы лечатся этим способом с хорошими результатами ).
Фото и р-снимки прилагается.
С Уважением Абдурашид.
Копия PICT0046.JPG
8KB (8914 bytes)
|
[
Ответить ]
|
|
Re: Вальгусная деформация локтевого сустава, 11 л.
gayrat bayimbetov 15 Апрель 2011, 23:01
|
Предлагаем 2 этажную остеотомию дист. части плечевой кости с цель устранение валь. деформаций и ложного сустава головки мыщелка и СФО аппаратом Илизарова по проф. ХОДЖАНОВУ И.Ю. Если заинтересует Вас отправим схему операции и подробную информацию.
Заранее благодарю.
|
[
Ответить ]
|
Re: Вальгусная деформация локтевого сустава, 11 л.
Отправитель: Leonid Solomin 15 Апрель 2011, 23:04
|
... если действительно не затруднит, буду признателен.
С уважением,
Л.Соломин
|
[
Ответить ]
|
Re: Вальгусная деформация локтевого сустава, 11 л.
Отправитель: Вячеслав Васюков 19 Апрель 2011, 22:28
|
Буду очень признателен за информацию
|
[
Ответить ]
|
|
Re: Вальгусная деформация локтевого сустава, 11 л.
eidelman mark 16 Апрель 2011, 15:42
|
Non union of lateral condyle.Bone graft +refreshening of non union +fixation by 2 screws.Ne nado nikakih variziruuchih osteotomiy!
8 weeks cast.
|
[
Ответить ]
|
Re: Вальгусная деформация локтевого сустава, 11 л.
Отправитель: Evgueny 19 Апрель 2011, 17:19
|
Hello Mark,
8 weeks cast immobilization - isn't it too long?
I observe the problem with elbow mobilization among the kids with the humerus supracondular fractures even after 4 weeks in the cast.
Will appreciate your comments. maybe your physio exchange the plasters in flexion/ extension position to prevent the elbow stiffness?
Kind Regards,
Evgueny
|
[
Ответить ]
|
Re: Вальгусная деформация локтевого сустава, 11 л.
Отправитель: eidelman mark 22 Апрель 2011, 19:03
|
Hi,
Never
saw stiffness(on the long term) after suprac fx in kids (I did more than 200).
In this specific case I believe that union will be achieved only after 6-8 weeks of immobilization.Standard protocol for suprac fx in children is 3 weeks immobilization , but for lateral condyle at least 4 weeks, in case of nonunion prolonged immobilization should be applied. I had 2 similar cases that were succesfully treated with fixation in situ and 8 weeks immobilization.You will not damage capsule by this technique , therefore HTO and stiffness are less likely to appear.
|
[
Ответить ]
|
|
( Ответить )
|
|