AOTRAUMA.ORG Центр Илизарова  

Ортопедия и травматология Общие вопросы/General questions Help Информационные технологии в медицине
 ВХОД ДЛЯ ПАЦИЕНТОВ
 вверх
 поиск
 админ
 главная


Подвертельный перелом после МОС шейки винтами
Ортопедия и травматология Прислано Машталов М.В. 07 Май 2011, 14:48
из МЛПУ ГБСМП№2 1-е травм отд. г.Ростов-на-Дону
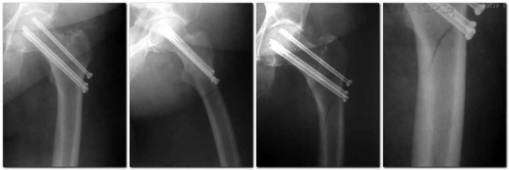
Пациентка Ш. 76 лет, 11 дней назад прооперирована по поводу вколоченного субкапитального перелома шейки левой бедренной кости, 3-мя канюлированными винтами. Вчера пациентка упала в палате. И вот результат- подимплантатный подвертельный перелом левой бедренной кости.
Уважаемые коллеги, пожалуйста посоветуйте какой метод дальнейшего лечения предпринять дальше. Соматически пациента повышенного питания, страдает варикозной болезнью нижних конечностей. Из предложенных вариантов коллег - целллокастовая укороченная кокситная повязка, скелетное вытяжение сроком на 40-45 суток - отпали сразу, так как необходимо активизация пациентки. На данный момент рассматриваем следующие варианта реостеосинтеза:(наличие технических возможностей)
1. Длинная Gamma 3 Stryker (с предварительной интраоперационной фиксацией головки спицами). 2. Трохантерный штифт DePuy с 2-мя метафизарными винтами в проксимальном отделе, (также с интраоперационной фиксацией головки спицами.
Очень настораживает стабильность фиксации с проксимальном отделе с связи с выборкой костной ткани ранее находящимися там канюлированными винтами.
Сейчас пациентка находится на скелетном вытяжении, с дисциплинирующим грузом. Операция планируется после праздников.
Заранее извиняемся за качество и неполное соответствие проекций на R-ммах (R-служба отдельная песня). При интраоперационном ЭОП-контроле винты в аксиальной проекции разнесены по шейке.

P.S.Ещё один неблагоприятный прогностический признак - пациентка является родственницей наших коллег.

Послать ответ

Имя
Email
Уведомление Сообщить мне по e-mail об ответах на это сообщение
Название
Комментарий
(Проверьте URL! Не забудьте написать http://!)
Кодировка
Если не знаете, что выбрать, выберите "Просто текст"!
Приложение
Можно приложить к сообщению файл c изображением, который затем будет доступен увидевшим сообщение.
Подготовка иллюстраций:
  • Рентгенограммы: черно-белые полутоновые изображения в формате JPEG (8 bit, greyscale) с разрешением от 300х200 до 1024х768 пикселов;
  • Клинические фотографии: полноцветные изображения в формате JPEG (24 bit, truecolor) с разрешением от 300х200 до 1024х768 пикселов;
  • Схемы и рисунки: черно-белые (2 bit) штриховые (line-art) изображения в формате GIF или compressed TIFF
  • Подберите степень сжатия файла JPEG и размер изображения таким образом, чтобы необходимые детали были различимы, но размер файла не превышал 75 кб.
  • Учтите, что текущая версия программного обеспечения Форума позволяет приложить к одному сообщению лишь один файл-вложение. Поэтому, если необходимо отправить несколько изображений, можно либо послать каждое как отдельное сообщение, либо в графическом редакторе объединить изображения в одно (сделать коллаж).
  • Если при подготовке изображений встречаются трудности, не стесняйтесь обратиться к координатору Форума.

  • Введите видимые символы в обратном порядке. Enter the above characters in reverse order (*Обязательно)
    В тексте сообщения можно использовать теги HTML <B> <I> <P> <A> <LI> <OL> <UL> <EM> <BR> <TT> <HR> <STRONG> <BLOCKQUOTE> <DIV .*> <DIV> <P .*>
  • Обратите внимание: Поля с жирными названиями обязательны.
  • Старайтесь отвечать в рамках обсуждаемой темы, а не начинать новые обсуждения.
  • Указывайте адекватную тему сообщения, чтобы было ясно, о чем оно.
  • Не послайте сообщений не по теме (оффтопик), раздраженных, грубых или обидных комментариев. Здесь это неуместно.
  • Powered by Zope  Squishdot Powered MedLink
    Посетитель: 0000031
      "По форме правильно, а по существу - издевательство" В.И.Ленин
    ©2001-2019Orthoforum Coordinator.
    [ Главная | Отправить сообщение | Поиск | Админ ]