ВХОД ДЛЯ ПАЦИЕНТОВ
вверх
поиск
админ
главная
|
Помогите подобрать фиксатор!!! |
 |
 |
 |
Прислано Евгений 17 Май 2011, 00:22
из
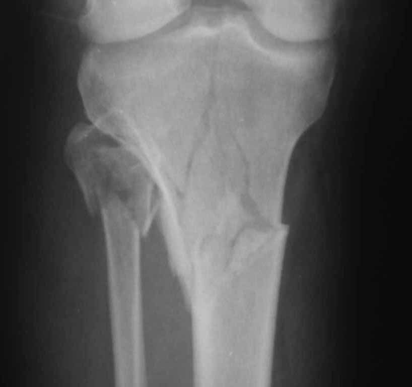
Здравствуйте, коллеги!!! Подскажите пожалуйста, какой фиксатор подойдет для данного перелома.
Мужчина 40 лет получил закрытый внутрисуставной перелом верхней трети костей правой голени в результате ДТП (см. рентгенограммы). Какой фиксатор подошел бы для данного перелома понятно, однако у пациента имеется по передне-наружной поверхности верхней трети голени ссадина и участок некроза кожных покровов (см. фото), поэтому латеральная мыщелковая пластина не подойдет, а медиальных пластин у фирм-производителей нет. Пациент может приобрести современный имплант, но какой….???? Слышал, что некоторые ставят, например, левую латеральную мыщелковую пластину по медиальной поверхности правой голени – работает ли это? Каким фиксатором и каких фирм прооперировали бы Вы??? Заранее СПАСИБО!!!
Обратите внимание: Поля с жирными названиями обязательны.
Старайтесь отвечать в рамках обсуждаемой темы, а не начинать новые обсуждения.
Указывайте адекватную тему сообщения, чтобы было ясно, о чем оно.
Не послайте сообщений не по теме (оффтопик), раздраженных, грубых или обидных комментариев. Здесь это неуместно.
|