AOTRAUMA.ORG Центр Илизарова  

Ортопедия и травматология Общие вопросы/General questions Help Информационные технологии в медицине
 ВХОД ДЛЯ ПАЦИЕНТОВ
 вверх
 поиск
 админ
 главная
 исходное


Re: Вывих правого плеча после остеосинтеза пеерлома проксимального отдела плечевой кости пластиной
послал Djoldas Kuldjanov 11 Июнь 2011, 11:49
Немного причин, приводящих к вывихам после фиксации переломов проксимального плеча. В результате несоответствия суставной поверхности лопатки и головки плеча из-за потери кости по задней поверхности головки плеча или в задней половине суставной впадины. Или в результате отсутствия мягкотканого покрытия, к которому можно отнести разрывы манжетки или суставной капсулы. А также когда повреждается нерв.

При вывихе плеча редко повреждается лучевой, серединный или локтевой нервы, и поэтому нормальная неврологическая функция на периферии конечности еще не доказательство интактного неврологического статуса. Но повреждения аксиллярного нерва встречаются очень часто, например, во время травмы или ятрогенное - во время неосторожных хирургических манипуляций. Отсутствие чувствительности над дельтовидной мышцой и атрофия покажет повреждение аксиллярного нерва. Потеря функции дельтовидной мышцы приводит к вывиху сустава вниз. Или повреждение n.subspinatus приводит к дисфункцию мышцы, в результате манжетка не может удержать головку.

При представлении случая на любой разбор, в том числе на ОртоФорум желательно выставить краткий анамнез травмы, возраст и вес. В выборе тактики лечения доминирующая рука, а также профессия играют важную роль. Особое внимание на профессию обращают также при оценке на инвалидность.

Набор мелких снимков не отражает истинную картину суставной поверхности лопатки, а также качество репозиции головки плеча. Необходимо доказать аксиальным снимком наличие покрытия головки. Правильная маркировка на рентген снимках и соответствие с выставленным диагнозом гарантирует от ошибок со стороной во время операции!

Желательно добавить клинические снимки плеча, которые покажут хирургическую доступ и состояние дельтовидной мышцы (атрофию).

Для оценки мягкотканого покрытия и положения костных отломков, а также для изучения неврологического статуса необходимо дообследовать современными методами. Например из КТ (3D) трехмерное более информативное. МРТ и электромиография дополнит понимание ситуации и облегчит принятие правильного решения.

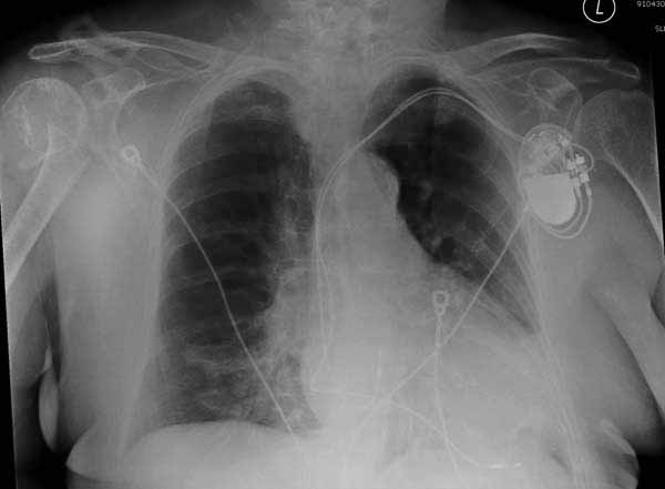
Здесь результат похожего случая, больная 87 лет, отягощенная сердечными делами и два года назад установка pacemaker и нескольких стентов. На третий день, сегодня утром сделали операцию. Послеоперационный псевдовывих связанный с релаксацией мышц и общим обезболиванием.























Djoldas Kuldjanov, M.D.
Associate Professor
Department of Orthopedic Surgery
St. Louis University
Послать ответ

Имя
Email
Уведомление Сообщить мне по e-mail об ответах на это сообщение
Название
Комментарий
(Проверьте URL! Не забудьте написать http://!)
Кодировка
Если не знаете, что выбрать, выберите "Просто текст"!
Приложение
Можно приложить к сообщению файл c изображением, который затем будет доступен увидевшим сообщение.
Подготовка иллюстраций:
  • Рентгенограммы: черно-белые полутоновые изображения в формате JPEG (8 bit, greyscale) с разрешением от 300х200 до 1024х768 пикселов;
  • Клинические фотографии: полноцветные изображения в формате JPEG (24 bit, truecolor) с разрешением от 300х200 до 1024х768 пикселов;
  • Схемы и рисунки: черно-белые (2 bit) штриховые (line-art) изображения в формате GIF или compressed TIFF
  • Подберите степень сжатия файла JPEG и размер изображения таким образом, чтобы необходимые детали были различимы, но размер файла не превышал 75 кб.
  • Учтите, что текущая версия программного обеспечения Форума позволяет приложить к одному сообщению лишь один файл-вложение. Поэтому, если необходимо отправить несколько изображений, можно либо послать каждое как отдельное сообщение, либо в графическом редакторе объединить изображения в одно (сделать коллаж).
  • Если при подготовке изображений встречаются трудности, не стесняйтесь обратиться к координатору Форума.

  • Введите видимые символы в обратном порядке. Enter the above characters in reverse order (*Обязательно)
    В тексте сообщения можно использовать теги HTML <B> <I> <P> <A> <LI> <OL> <UL> <EM> <BR> <TT> <HR> <STRONG> <BLOCKQUOTE> <DIV .*> <DIV> <P .*>
  • Обратите внимание: Поля с жирными названиями обязательны.
  • Старайтесь отвечать в рамках обсуждаемой темы, а не начинать новые обсуждения.
  • Указывайте адекватную тему сообщения, чтобы было ясно, о чем оно.
  • Не послайте сообщений не по теме (оффтопик), раздраженных, грубых или обидных комментариев. Здесь это неуместно.
  • Powered by Zope  Squishdot Powered MedLink
    Посетитель: 0151482
      "По форме правильно, а по существу - издевательство" В.И.Ленин
    ©2001-2019Orthoforum Coordinator.
    [ Главная | Отправить сообщение | Поиск | Админ ]