вверх
отправить
поиск
админ
главная
|
подвертельный перелом - тактика лечения? |
 |
 |
 |
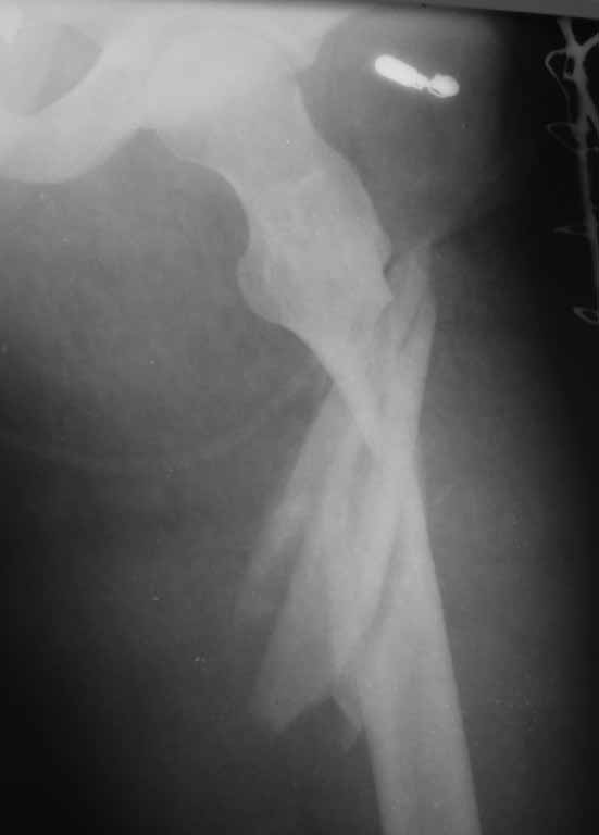
Отправлено Алексей 14 Июнь 2011, 15:38 ГУЗ ККБ № 2
Уважаемые коллеги!!! Ваши предложения по тактике лечения, планируется закрытая репозиция, ИМОС AFN, кто встречался с подобным, какие могут быть сложности интраоперационно
<
|
>
|
|
Ответить
|
Re: подвертельный перелом - тактика лечения?
Alexander Chelnokov 14 Июнь 2011, 22:16
|
Подвертельный оскольчатый перелом. Если пострадавший относительно молод, нет остеопороза, лучше реконструкционный гвоздь. Успешная репозиция очень важна. С помощь тракционного стола или дистрактора таз-бедро она легко достигается. Остаточный варус - самая распространенная ошибка. Точка входа не должна быть слишком латеральной, даже если гвоздь с проксимальным изгибом. Гвоздь должен идти близко к латеральной стенке центрального отломка.
|
[
Ответить ]
|
Re: подвертельный перелом - тактика лечения?
Сергей 17 Июнь 2011, 23:34
|
Аналогичный перелом, синтезировали длинной Гаммой stryker, точка введения через верхушку вертела удобней и безопасней, чем у AFN.
|
[
Ответить ]
|
( Ответить )
|
|