ВХОД ДЛЯ ПАЦИЕНТОВ
вверх
поиск
админ
главная
исходное
|
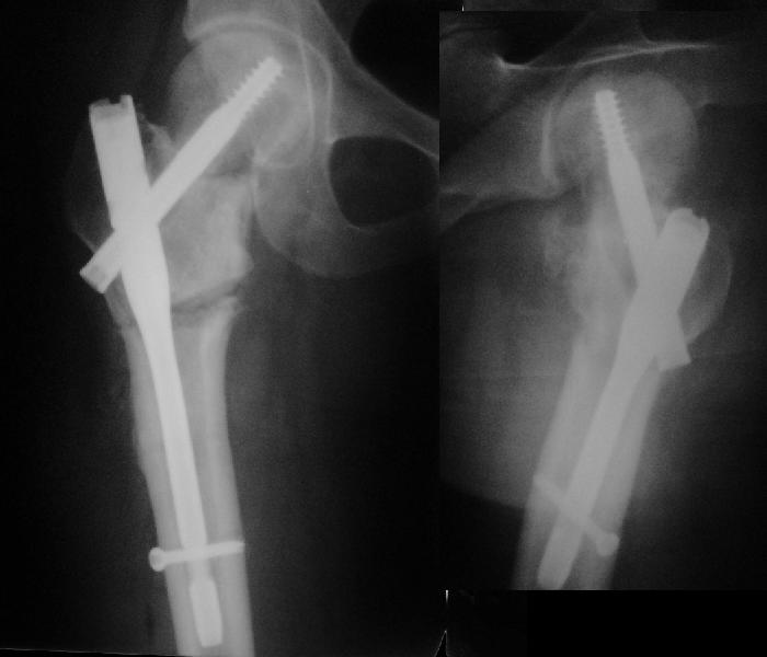
Re: Несращение шейки бедра
послал Alexander Chelnokov 03 Август 2011, 01:01
|
Я бы ограничился вальгизацией без вмешательства в зону перелома шейки. Биология здесь, надо полагать, хорошая, необходимо только улучшить механическую составляющую.

В итоге что-то такое и сделали. Убрали DHS, остеотомия, синтезировали Affixus с небольшой вальгизацией. Снимки в приложении.
|
| Послать ответ |
Обратите внимание: Поля с жирными названиями обязательны.
Старайтесь отвечать в рамках обсуждаемой темы, а не начинать новые обсуждения.
Указывайте адекватную тему сообщения, чтобы было ясно, о чем оно.
Не послайте сообщений не по теме (оффтопик), раздраженных, грубых или обидных комментариев. Здесь это неуместно.
|