ВХОД ДЛЯ ПАЦИЕНТОВ
вверх
поиск
админ
главная
исходное
|
Re: Патологический перелом бедра
послал Леонид Пак 24 Август 2011, 14:53
|
Уважаемые коллеги, честно говоря мое сообщение носило несколько провакационный характер у нас патологическими переломами, опухолями костей должным образом не занимается никто, мало того имеется приказ данную патологию отправлять на госпитализацию в онкоцентр. Исходя из количества ответов, вопросов на мое сообщение прихожу к выводу что и у ВАС данной патологией и онкоортопедией толком никто не занимается. Очень интересно наблюдать и участвовать в обсуждении лечения переломов лодыжек, голеней др.костей. Как Вы считаете все-таки чей это хлеб? Нет ли необходимости нашим НИИ обратить на данную проблему более пристальное внимание?
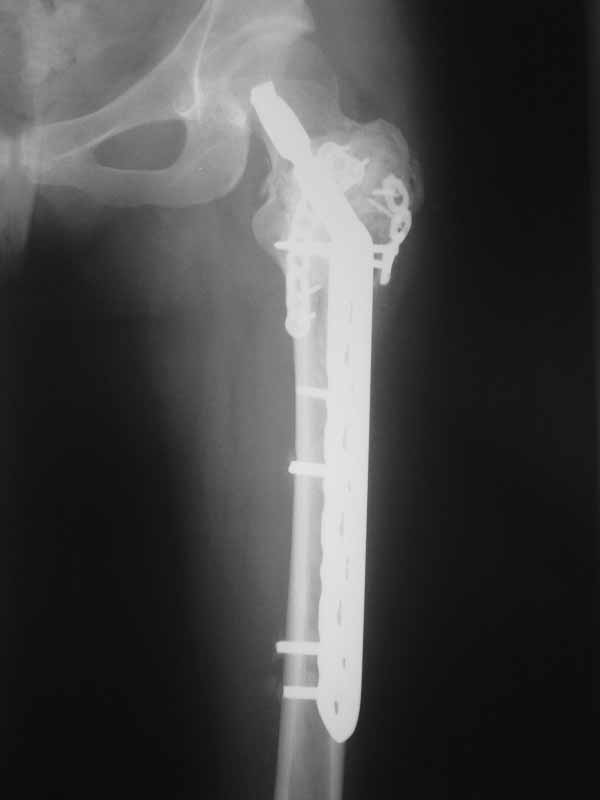
А по пациентке:Обследования провели в легких чисто, лабораторно - без особенностей. Выполнили МРТ - костная киста, однокамерная. Оперирована - створчатая остеотомия, удаление кисты, костная пластика аутокостью с гребня подвздошной кости, остеосинтез DHS со сприральным клинком, створка фиксирована пластинами монокортикально.

Макроскопически - слизеподобное содержимое темно-бурого цвета, отдали на гистологию.
Коментарии и критика приветствуются.
С уважением Леонид Пак
|
| Послать ответ |
Обратите внимание: Поля с жирными названиями обязательны.
Старайтесь отвечать в рамках обсуждаемой темы, а не начинать новые обсуждения.
Указывайте адекватную тему сообщения, чтобы было ясно, о чем оно.
Не послайте сообщений не по теме (оффтопик), раздраженных, грубых или обидных комментариев. Здесь это неуместно.
|