AOTRAUMA.ORG Центр Илизарова  

Ортопедия и травматология Общие вопросы/General questions Help Информационные технологии в медицине
 вверх
 отправить
 поиск
 админ
 главная


Помогите решить спор - есть ли подвывих?
Ортопедия и травматология Отправлено Михаил 11 Август 2011, 23:17
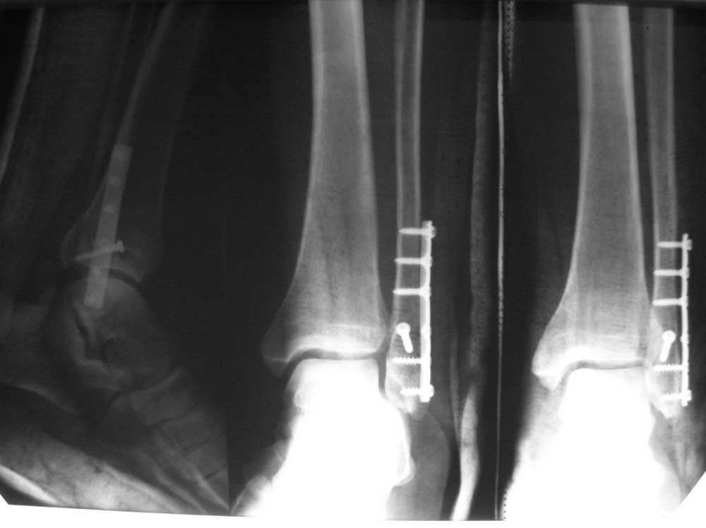
Доброго времени суток, уважаемые коллеги! Помогите, пожалуйста решить спор.
Пострадавший прооперирован 03.08.11. На послеоперационных снимках рентгенолог (зав. службой) описывает подвывих кнаружи. Врачи нашего отделения (заочный аспирант, кандидат наук и доктор со стажем 20 лет) этот подвывих не видим. По-поводу подвывиха на нас идет накат со стороны начмеда (больной- личный друг главы администрации района). Заведующий занял нейтральную позицию. Заранее благодарен!

<  |  >

 

  • Сообщения о Ортопедия и травматология
  • Также Михаил
  • Связаться с автором
  • Ответить

    Re: Помогите решить спор
    Бережной Сергей 12 Август 2011, 00:04
    На представленных рентгенограммах подвывиха нет. А рентгенолог, безусловно, неправ. Даже если и был бы минимальный подвывих, зачем его описывать. Видимо, у вас с ним не очень хороший контакт. Это плохо.
    [ Ответить ]

    Re: Помогите решить спор - есть ли подвывих?
    Сергей 12 Август 2011, 00:22
    хорошая репозиция, подвывиха не видно. а гипс зачем?
    [ Ответить ]

    • Re: Помогите решить спор - есть ли подвывих?
      Отправитель: Михаил 12 Август 2011, 09:10
      До заживления раны.

      [ Ответить ]
    Re: Помогите решить спор - есть ли подвывих?
    Volodymyr Kovalchuk 12 Август 2011, 00:37
    Подвывиха здесь нет. Ширина суставной поверхности одинакова на всем протяжении.
    Повреждения синдесмоза не было - поэтому нету и позиционного винта.
    [ Ответить ]

    Re: Помогите решить спор - есть ли подвывих?
    Дмитрий 12 Август 2011, 00:57
    нет ИМХО
    [ Ответить ]

    Re: Помогите решить спор - есть ли подвывих?
    Gleb Korobushkin 12 Август 2011, 01:19
    Михаил!
    Положение отломков правильное, таран стоит в правильном положении.
    Функциональный результат будет с большой вероятностью хорошой.
    А начмед травматолог? Не надо руководить в мелочах...
    Интересно, что рентгенолог как подвывих трактует? Сделайте сравнительные рентенограммы с обеих сторон.
    С ув Коробушкин Г.В., зав отд, кмн, доцент.
    Надеюсь мой ответ чем поможет. Но рентгенологу иногда очень тяжело доказать, что "не верблюд":))
    [ Ответить ]

    • Re: Помогите решить спор - есть ли подвывих?
      Отправитель: Серегй Дукер 12 Август 2011, 02:20
      Все нормально. а гипс на непродолжительное время все же не помешает.

      [ Ответить ]
    Re: Помогите решить спор - есть ли подвывих?
    Anton Bekhterev 12 Август 2011, 07:57
    Первичные снимки можно увидеть?
    [ Ответить ]

    Re: Помогите решить спор - есть ли подвывих?
    Максим Королев 12 Август 2011, 10:31
    Подвывиха на предоставленных снимках нет, синтез достойный звания советского врача, но поверьте опыту раз пациент с осложненным анамнезом (глава администрации) то найдут все и спросят почему "какой-то" винт мимо пластины закрутили.
    [ Ответить ]

    • Re: Помогите решить спор - есть ли подвывих?
      Отправитель: Ivan Petrov 14 Август 2011, 11:49
      И подретушируйте задний край, а то спросят, почему не привинтили? В следующий раз пусть начмед сам оперирует своих друзей, а если не умеет - то квота в федеральный центр,сбор документов, 3 месяца ожидания и т.д...

      [ Ответить ]
      • Re: Помогите решить спор - есть ли подвывих?
        Отправитель: Ivan Petrov 14 Август 2011, 13:39
        P.S. "Не лечите рентгенограмму- лечите пациента"
        John E. Lonstein, MD

        [ Ответить ]
    Re: Помогите решить спор - есть ли подвывих?
    Савранский Александр 13 Август 2011, 00:42
    Насколько можно понять по снимкам- перелом чрезсиндесмозный и позиционный винт бы избавил от лишних вопросов.С другой стороны данных за подвывих здесь не наблюдается- снимки вполне можно переописать у другого рентгенолога.
    [ Ответить ]

    Re: Помогите решить спор - есть ли подвывих?
    Maxim Agalakov 14 Август 2011, 01:20
    придерживаюсь иной точки зрения (по отношению к высказываниям коллег), но, учитывая отягощеный анамнез отстаивать ее не буду
    [ Ответить ]

    Re: Помогите решить спор - есть ли подвывих?
    Павел Константинович 14 Август 2011, 13:29
    Начальник всегда прав. Сделайте всё по стандартной процедуре ведения и проведения такой патологии. Краеугольный камень - нужен ли болт стяжка решается просто - как планируется реабилитировать больного, если синдесмоз цел-перелом малоберцовой кости фиксирован, гипс (косвенно подтверждающий невозможность активной реабилитации) наложен? Это не спор. Победителя не судят. Пусть займутся профилактикой избыточной массы тела, дефартроза и малоберцового неврита.
    Как в в байке:есть хорошие машины. есть очень хорошие машины. а есть мерседес.. Вопросы есть?
    Никогда не лечите знакомых, друзей знакомых и родных. Кстати,что впрочем не важно,ПОДВЫВИХА НЕТ РЕНТГЕНОЛОГИЧЕСКИ. То, что при данном переломе стопа уходит кнаружи, знает даже санитарка. Спасибо за работу.
    [ Ответить ]

    Re: Помогите решить спор - есть ли подвывих?
    Anaoly Lazarev 14 Август 2011, 21:24
    Оптическо-физиологический обман зрения - снимок лежа. Сделайте снимок горизонтальным лучом с постановкой стопы на опору (без нагрузки весом тела) с нагрузкой весом ноги - получите более истинное положение вещей. Всем привет ЛАФ.
    [ Ответить ]

    • Re: Помогите решить спор - есть ли подвывих?
      Отправитель: Anaoly Lazarev 14 Август 2011, 21:33
      Чуть не забыл, хорошо бы сравнить со здоровой ногой на одной кассете в одинаковом положении, там может быть и не такое чудо (на здоровой) ЛАФ.

      [ Ответить ]
    Re: Помогите решить спор - есть ли подвывих?
    Исмаил Дибиров 14 Август 2011, 22:44
    Доброго дня! А снимок до операции нельзя выложить? Вопросы бы отпали. Перелом м/берцовой кости выше сустава или на уровне? Задний край б/берцовой кости отломан? Если при ротационном механизме травмы м/берцовая сломана выше сустава- подвывих все же был...Если при переломе лодыжки есть отрыв заднего края б/берцовой кости- подвывих был... Может быть надо было добавить позиционный винт? Подвывих выявится как только разрешите нагрузку. Если на снимке его не видно, это не означает что "его" не было. Друга Главы от греха лучше лечить с запасом прочности!

    [ Ответить ]

    • Re: Помогите решить спор - есть ли подвывих?
      Отправитель: andrey 15 Август 2011, 20:09
      абсолютно согласен.

      [ Ответить ]
    Re: Помогите решить спор - есть ли подвывих?
    Зубач Остап 15 Август 2011, 19:25
    Мои соболезнования по поводу необходимости лечения небожителей! Подвывиха нет, постарайтесь найти контакт с Пациентом - это ключ к профилактике возможных осложнений и появления подвывиха (при слишком ранней нагрезке и тд)...
    Терпения и удачи!
    С уважением. Зубач Остап!

    P.S. Пациент который платит меньше всех - жалуется больше всех )))
    Закон Мерфи.
    [ Ответить ]

    Re: Помогите решить спор - есть ли подвывих?
    Volodymyr Kovalchuk 16 Август 2011, 21:28
    Из Rüedi, оценка перелома лодыжек: http://www2.aofoundation.org/wps/portal/!ut/p/c1/04_SB8K8xLLM9MSSzPy8xBz9CP0os3hng7BARydDRwML1yBXAyMvYz8zEwNPQwN3A30_j_zcVP2CbEdFADw8CUE!/dl2/d1/L2dJQSEvUUt3QS9ZQnB3LzZfQzBWUUFCMUEwR0dSNTAySkowOFVIRzIwVDQ!/?segment=Malleoli&bone=Tibia&soloState=true&popupStyle=diagnosis&contentUrl=srg/popup/further_reading/PFxM2/44/69_4_fx_asses.jsp


    [ Ответить ]

    • Re: Помогите решить спор - есть ли подвывих?
      Отправитель: Cергей 18 Август 2011, 03:17
      На представленном снимке подвывиха однозначно нет.Но,по моему мнению,есть повреждение межберцового синдесмоза. Как только больной станет на ногу(да с таким весом)подвывих появится.Поэтому,нужно правильно побеседовать с пациентом и лечить гипсовой лонгетой,если уже поздно добавить 1-2позиционных винта.Удачи!

      [ Ответить ]
    Re: Помогите решить спор - есть ли подвывих?
    Djoldas Kuldjanov 22 Август 2011, 00:33
    "Накат" будет продолжаться, пока руководство клиники не поймет, что ответственность за лечение лежит на специалисте, и их задача не критика работы врача, а создание адекватных условий для работы. И критику фиксации можно было бы предупредить достижением идеального снимка голеностопного сустава, потому что послеоперационный "мортиз" снимок вышел нечетким, и поэтому можно понять “нейтралитет” заведующего.

    А так - на снимке компрессионный шуруп на малоберцовой находится на уровне суставной щели что доказывает перелом Weber II или (SER II). Наружноротационный перелом создает спиральную линию, которая начинается на месте прикрепления или ниже tibiafibular ligament. Поэтому не стоит драматизировать фиксацию, и обычно достаточной бывает фиксация латеральной пластиной, которая удержит частичный разрыв синдесмоза.

    Насчет пластины - немного тонковата, и лежит спереди малоберцовой. Возможно проекционно, но там кажется перелом заднего края? Если так, можно было подождать с нагрузкой и оставить гипс на пару недель больше.
    [ Ответить ]

    Re: Помогите решить спор - есть ли подвывих?
    Вагапов 11 Сентябрь 2011, 11:07
    Подвывих если и есть, то глаз рентгенолога...
    Михаил, Rгр с укладкой на дист межберцовый синдесмоз не делали? нельзя исключать повреждение дистального межберцового сочленения.


    [ Ответить ]


    ( Ответить )

    Powered by Zope  Squishdot Powered MedLink
    Посетитель: 0010381
      "По форме правильно, а по существу - издевательство" В.И.Ленин
    ©2001-2019Orthoforum Coordinator.
    [ Главная | Отправить сообщение | Поиск | Админ ]