ВХОД ДЛЯ ПАЦИЕНТОВ
вверх
поиск
админ
главная
|
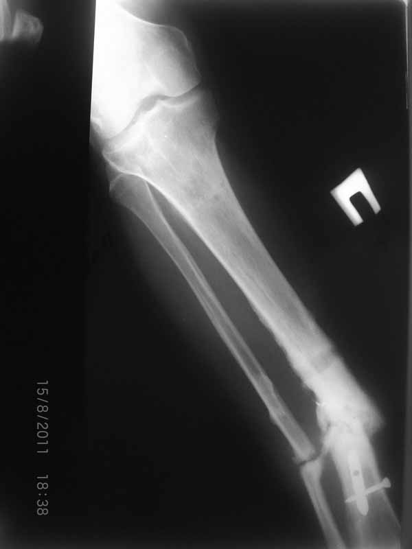
ложный сустав обеих костей правой голени |
 |
 |
 |
Прислано Иван 16 Август 2011, 01:33
из
Здравствуйте коллеги! Помогите с выбором тактики лечения пациента с ложным суставом обоих костей правой голени.
Первично у пациента травма в марте 2009г, когда в результате ДТП получил открытый оскольчатый перелом обеих костей правой голени на границе средней и нижней трети. При поступлении - скелетное вытяжение, затем по заживлению раны произведен остеосинтез пластиной. Со временем (точное время сказать затрудняется) пациенту разрешили полную нагрузку на конечность. Через год после операции пластина сломалась, в связи с чем пластина удалена и установлен интрамедуллярный гвоздь. Через 2 месяца разрешили полную нагрузку и гвоздь сломался. В сентябре 2010 произведено наложение спицевого компрессионно-дистракционного аппарата. В мае 2011 появилось отделяемое в местах проведения спиц, в связи с чем аппарат демонтирован. Правая голень временно иммобилизирована гипсовой повязкой, разрешена нагрузка на правую нижнюю конечность. После снятия повязки - клиника ложного сустава обеих костей правой голени. В настоящее время отмечается угловая деформация правой голени на границе средней и нижней трети с отклонением оси в медиальную сторону. Кожные покровы изменены за счет трофических нарушений(имеют более темную окраску по сравнению со здоровой ногой)На коже рубцы на месте проведения спиц.Движения в коленном и голеностопном суставах в полном объеме безболезненны. Пульсация артерий на стопе отчетливая, выпадение чувствительности от третьего луча в латеральную сторону по тылу стопы. В таком виде пациент оказался у нас. Рады выслушать предложения о тактике лечения.
Обратите внимание: Поля с жирными названиями обязательны.
Старайтесь отвечать в рамках обсуждаемой темы, а не начинать новые обсуждения.
Указывайте адекватную тему сообщения, чтобы было ясно, о чем оно.
Не послайте сообщений не по теме (оффтопик), раздраженных, грубых или обидных комментариев. Здесь это неуместно.
|