AOTRAUMA.ORG Центр Илизарова  

Ортопедия и травматология Общие вопросы/General questions Help Информационные технологии в медицине
 вверх
 отправить
 поиск
 админ
 главная


сирингомиелия
Ортопедия и травматология Отправлено Usmanova 23 Август 2011, 19:41 ГБУЗ ОБ№3
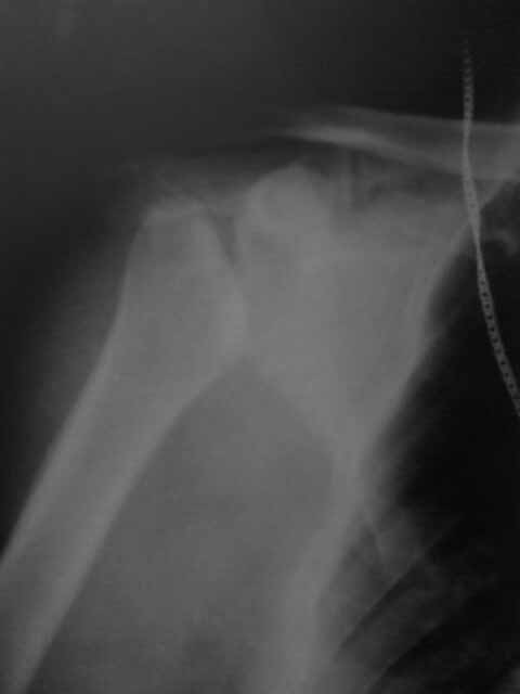
Здравствуйте, коллеги! Помогите пожалуйста определиться с тактикой лечения. Обратился Больной А. 49 л с жалобами на боли в левом плечевом суставе и ограничение движений. Работает оператором КиПа.
считает себя больным С 2010Г, Когда при незначительной нагрузке появились боли в левом плечевом суставе и отек. при первичном обращении выполнялась пункция плечевого сустава, получено - лизированная кровь. На рентгенограммах описывали: асептический некроз головки плечевой кости. За медицинской помощью не обращался. На данный момент: незначительное органичение движений в плечевом суставе, без чувствительных и двигательных расстройств. при пункции прозрачная синовиальная жидкость.Хотелось бы узнать ваше мнение по поводу тактики. Консервативное: купирование синовита с введением sol.kenologi. или если возможно оперативное лечение...артродез плечевого сустава?Заранее благодарю =)

<  |  >

 

  • Сообщения о Ортопедия и травматология
  • Также Usmanova
  • Связаться с автором
  • Ответить

    Re: сирингомиелия
    Дедок Михаил 24 Август 2011, 01:13
    А диагноз верифицирован? Ведь для сирингомиелии характерны диссоциативные расстройства чувствительность. А так можно подозревать онко, туберкулез и т.д. Настораживает кровь в суставе.

    МРТ шейного отдела? Цитология? КТ? Мокрота и моча на БК? консультация невролога? В конце концов артроскопия с биопсией если нет 100% уверенности в сирингомиелии.

    И зачем вводить кеналог, когда есть дипроспан.



    [ Ответить ]

    • Re: сирингомиелия
      Отправитель: Usmanova 28 Август 2011, 19:34
      Как пояснил сам пациент, около 1 мес. назад его уволили с работы в связи с периодами кратковременной потери сознания, был направлен в областной центр, где прошел обследование, по клиническим данным выставили предварительный диагноз. МРТ невозможно из-за наличия металлоконструкции. На следующей неделе буду удалять.
      На следующий день после поступления при пункции получено ок 220 мл синовильной жидкости с примесью лизированной крови.


      [ Ответить ]
    Re: сирингомиелия
    Павел 24 Август 2011, 09:57
    А при чём тут сирингомиелия?
    [ Ответить ]

    Re: сирингомиелия
    Alexander Chelnokov 27 Август 2011, 11:54
    Типичная для сирингомиелии артропатия. Подробнее можно почитать тут.
    [ Ответить ]


    ( Ответить )

    Powered by Zope  Squishdot Powered MedLink
    Посетитель: 0000005
      "По форме правильно, а по существу - издевательство" В.И.Ленин
    ©2001-2019Orthoforum Coordinator.
    [ Главная | Отправить сообщение | Поиск | Админ ]