ВХОД ДЛЯ ПАЦИЕНТОВ
вверх
поиск
админ
главная
|
Несросшийся перелом пяточной кости |
 |
 |
 |
Прислано Антон Андрианов 29 Август 2011, 11:07
из
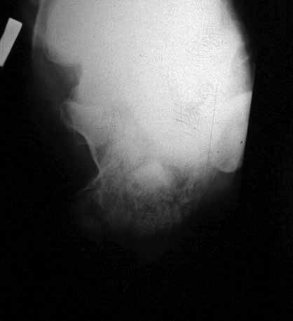
КТ перелома пяточной кости
Пациент 60 лет с производственной травмой-закрытые переломы правой пяточной кости, тибиального плато слева поступил в феврале с.г. На 4 сутки выполнена открытая репозиция, остеосинтез внутрисуставного перелома голени, ручная репозиция пяточной кости. Через три месяца начал ходить с нагрузкой на обе ноги. Консолидация голени с полным восстановлением функции колена. Правая стопа умеренно отечна, продольно распластана, длительная ходьба вызывает боли и увеличение отека. Прошел несколько курсов ударно-волновой терапии, грязелечение, боли и отек уменьшились. В наших планах -оформление на ВТЭК, через год возможно выполнение подтаранного артродеза.Но после производства КТ в августе появились сомнения в консолидации перелома.Ранее у нас не было опыта КТ переломов стопы и сканы привели в замешательство.Прилагаю снимки со дня поступления, августовские пациентом не представлены.С благодарностью примем советы коллег.
Обратите внимание: Поля с жирными названиями обязательны.
Старайтесь отвечать в рамках обсуждаемой темы, а не начинать новые обсуждения.
Указывайте адекватную тему сообщения, чтобы было ясно, о чем оно.
Не послайте сообщений не по теме (оффтопик), раздраженных, грубых или обидных комментариев. Здесь это неуместно.
|