AOTRAUMA.ORG Центр Илизарова  

Ортопедия и травматология Общие вопросы/General questions Help Информационные технологии в медицине
 вверх
 отправить
 поиск
 админ
 главная
 Предыдущее


Re: Вальгусная деформация локтевого сустава у ребенка
Вячеслав Васюков 06 Сентябрь 2011, 12:18


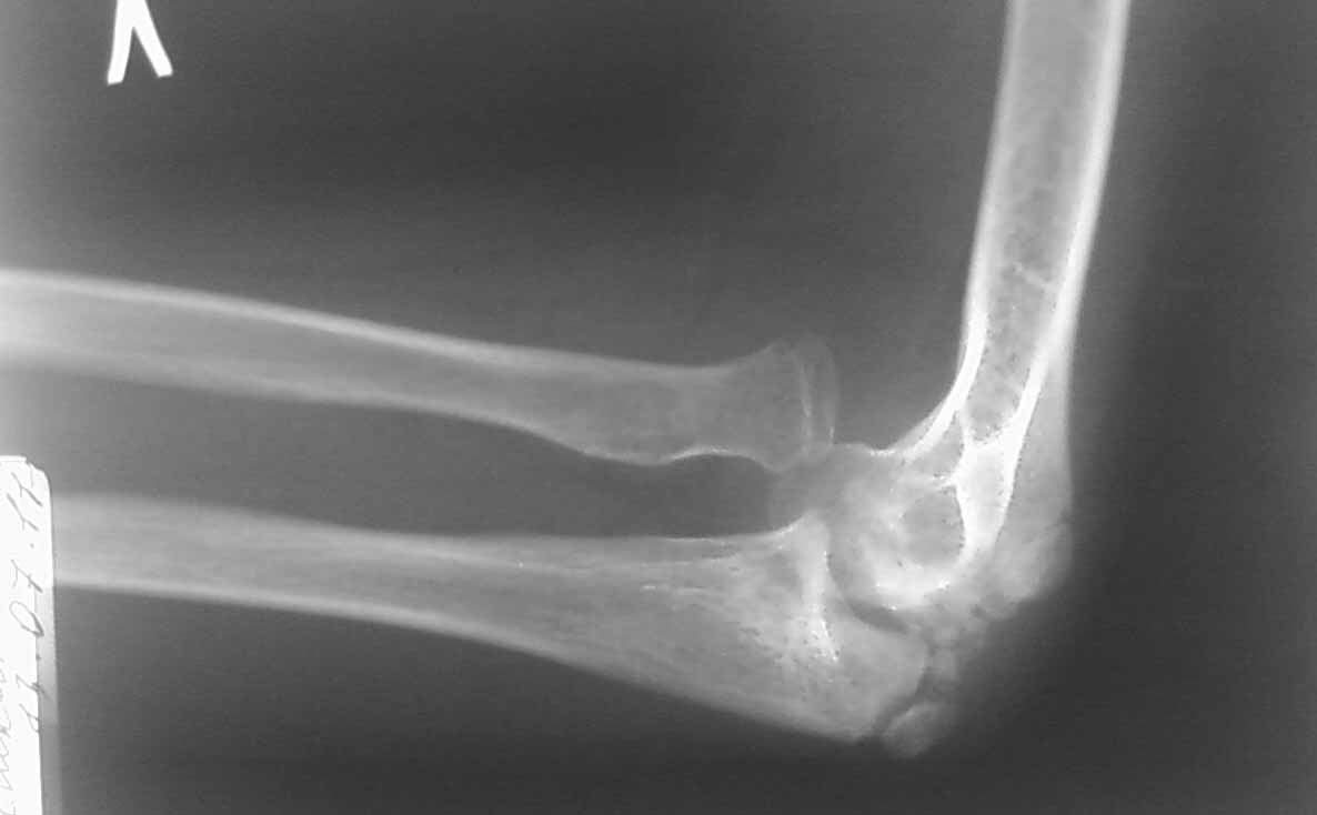
Снимок в боковой проекции не получилось сразу отправить.

  • Сообщения о Ортопедия и травматология
  • Также Вячеслав Васюков
  • Связаться с автором
  • Ответить

    Re: Вальгусная деформация локтевого сустава у ребенка
    Михаил 06 Сентябрь 2011, 23:52
    Ответ собственно на все вопросы на боковой рентгенограмме: вывих лучевой кости. Либо перенесенный недиагносцированный-нелеченный Монтедж (повреждение Монтаджа: вывих лучевой кости с переломом локтевой кости). Более редкий вариант (скорее всего выявили бы раньше - врожденный вывих лучевой кости. Но честно говоря патология крайне редкая, да и не очень похоже.

    Лечение оперативное: необходима обязательная попытка открытого вправления вывиха с пластикой кольцевидной связки. (резекция головки лучевой кости нецелесообразна в связи с возрастом 10 лет - лучевая кость должна расти и если вы резецируете головку - получите укорочение лучевой кости и вторичную лучевую косорукость).

    Открытое вправление вывиха головки лучевой кости и пластику кольцевидной связки необходимо выполнять с обязательной остеотомией локтевой кости с формированием ее прогиба в противоположную от лучевой кости сторону. Если этого не сделать - велик риск рецидива. Остеосинтез после вправления и остеотомии: локтевую кость пластиной в корригированном положении. Вправленный вывих лучевой кости трансартикулярно спицей (1 или 2) через головочку мыщелка плечевой кости (как будто линию Смита провели). Иммобилизация 4 недели, затем удаление спиц, снимаем гипс, разработка сустава. Удаление пластины с локтевой кости где-то через 6 мес после операции (после консолидации линии остеотомии).

    ИМХО :)
    [ Ответить ]


    ( Ответить )

    Powered by Zope  Squishdot Powered MedLink
    Посетитель: 0106650
      "По форме правильно, а по существу - издевательство" В.И.Ленин
    ©2001-2019Orthoforum Coordinator.
    [ Главная | Отправить сообщение | Поиск | Админ ]