ВХОД ДЛЯ ПАЦИЕНТОВ
вверх
поиск
админ
главная
|
Контрактура плечевого сустава |
 |
 |
 |
Прислано Михаил 18 Сентябрь 2011, 15:48
из
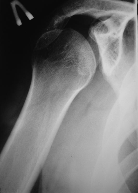
Уважаемые коллеги!Требуется ваша помощь. На консультацию обратился пациент 30 лет с жалобами на ограничение активных движений в левом плечевом суставе.
Пассивные – в полном объеме. Со слов – имела место некая родовая травма. К тому же отмечается незначительный дефицит иннервации n.radialis (снижение «силы» разгибателей-сгибателей в кистевом суставе и отведения 1 пальца; неврологи никакого специфичного лечения не назначают). Также имеется контрактура локтевого сустава: сгибание в полном объеме, разгибание 150 градусов, супинация в пределах 7 градусов. Функция конечности в принципе устраивает. Скелетных травм в анамнезе нет. Вопрос: есть ли смысл заниматься какими-либо реконструкциям на плечевом суставе и как можно улучшить функцию скомпрометированных суставов? Заранее всем благодарен
Обратите внимание: Поля с жирными названиями обязательны.
Старайтесь отвечать в рамках обсуждаемой темы, а не начинать новые обсуждения.
Указывайте адекватную тему сообщения, чтобы было ясно, о чем оно.
Не послайте сообщений не по теме (оффтопик), раздраженных, грубых или обидных комментариев. Здесь это неуместно.
|