Ответить
|
Re: Перелом бедра и голени
Др.Бахтамян из Еревана 28 Сентябрь 2011, 20:10
|
Уважаемый Сергей,
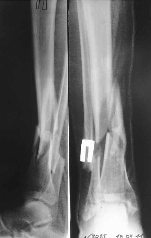
Я бы порекомендовал, если кожные покровы голени позволяют- произвести остеосинтез пластинами через общий передне-наружный доступ. И в первую очередь зафиксировать полутрубчатой 4,5мм или компрессионной 3,5мм пластиной АО перелом н/3 малоберцовой кости, чтобы стабилизировать отломки б/берцовой по длине.
Если с кожей не то- попытаться получить репозицию под ЭОП-ом и наложить аппарат АО до голеностопного сустава (собирать Илизаров - долго, нудно, да и, наверное нет необходимости...)

Удачи!
P.S. По возможности выложите послеоперационные рентгены
|
[
Ответить ]
|
Re: Перелом бедра и голени
Сергей Шакола 29 Сентябрь 2011, 14:32
|
Уважаемый Сергей! Следует уточнить(для уважаемого сообщества) , что переломы находятся на разных конечностях, поэтому восстановление длины бедра потребует равнозначной коррекции длины голени. Либо, как предлагает профессор Djoldas Kuldjanov, не добиваться полной репозиции и пожертвовать частью дистального отломка, сохранив ось и ротацию. Корригировать длину голени проще ввиду меньших усилий по преодолению ретракции мягких тканей. Хотя пациент молодой и желательно наиболее полно восстановить конечности. Несомненно,аппарат Илизарова собирать долго и нудно и неохота, но возможность управляемой фиксации при минимальных экономических затратах перевешивает данные "недостатки". Да и не располагаем АО фиксаторами, гексаподами. Следует учесть и то , что при одномоментной коррекции длины голени (3,5 - 4 см) могут возникнуть трудности с зашиванием и заживлением операционных доступов. Еще позволю уточнить, что клинических признаков консолидации на голени нет - подвижность полная, что не потребует остеотомии малоберцовой кости. Поэтому желаю Вам, Сергей, удачи в одномоментной коррекции деформации бедра и остеосинтезе, но нужно быть готовым к варианту Александра Николаевича - дистрактор, дозированная коррекция смещения по длине, остеосинтез.
С уважением Сергей Шакола.
|
[
Ответить ]
|
( Ответить )
|
|