Ответить
|
Re: остеотомии таза при дисплазиях т\б сустава.
Сергей Дукер 26 Сентябрь 2011, 16:55
|
не совсем СНГ ( Израиль Тельавив госпиталь Адасса проф Либергаль)
|
[
Ответить ]
|
Re: остеотомии таза при дисплазиях т\б сустава.
Леонид Пак 27 Сентябрь 2011, 03:33
|
На SICOTе наши Белорусские коллеги представили очень интересный и достойный материал.
С уважением Леонид Пак
|
[
Ответить ]
|
Re: остеотомии таза при дисплазиях т\б сустава.
Ильдар Ф. Ахтямов 27 Сентябрь 2011, 10:40
|
Уважаемый Константин!
Остеотомиями таза занимается ряд детских ортопедических отделений России:
НИИ им. Турнера (проф. Поздеев, Краснов и др)
НИИТО Н.Новгорода (проф. Богосьян А.Б.)
Травматологический центр РКБ г. Казани (доцент Андреев П.С.)
ЦИТО ( проф. Кожевников)
НИИТО г. Минск (проф. Соколовский О,А,)
и многие др.
АИФ
|
[
Ответить ]
|
Re: остеотомии таза при дисплазиях т\б сустава.
Глазков Константин 27 Сентябрь 2011, 14:42
|

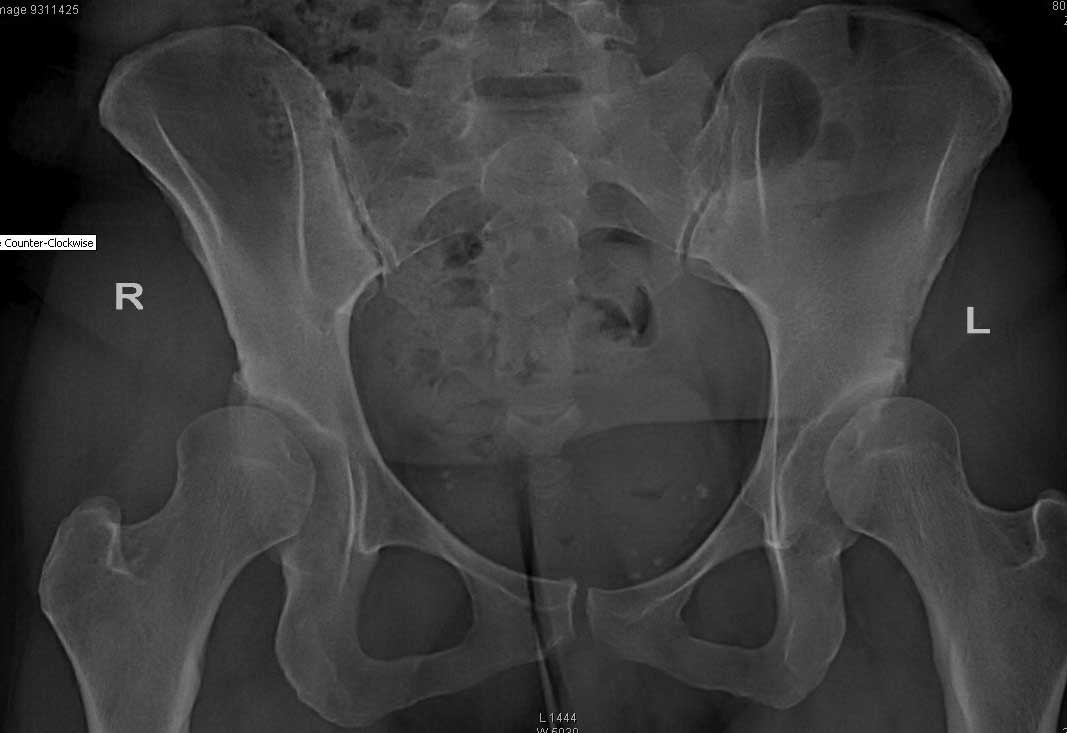
Пациентке 31 год. Р-гр прилагаю. Житель ЕС. консультировалась в Германии,Франции и Италии. могут выполнить протезирование но советуют поискать специалистов, занимающихся остеотомиями таза.
|
[
Ответить ]
|
Re: остеотомии таза при дисплазиях т\б сустава.
Отправитель: Alexander Chelnokov 28 Сентябрь 2011, 08:17
|
Периацетабулярными остеотомиями в современном воплощении (не тройными таза) в России, насколько мне известно, практически нигде не занимаются. Может, в ин-те Вредена начали.
На прошлых Вреденовских чтениях эту тему впервые на серьезном уровне осветили, про эти операции был ряд докладов от тех, кто их сделал несколько десятков - J.Mast, C.Daub, K.Soballe... Может, к кому-то из них обратиться? Daub и Soballe - из Европы.
|
[
Ответить ]
|
Re: остеотомии таза при дисплазиях т\б сустава.
Отправитель: Глазков Константин 28 Сентябрь 2011, 15:15
|
Александр Николаевич. Daub и Soballe - из Европы.
А откуда конкретней не помните случаем.
|
[
Ответить ]
|
Re: остеотомии таза при дисплазиях т\б сустава.
Отправитель: В.Машталов 28 Сентябрь 2011, 14:50
|
На форуме есть такой специалист Джолдас Кульджанов
Обратитесь к нему
|
[
Ответить ]
|
|
Re: остеотомии таза при дисплазиях т\б сустава.
Djoldas Kuldjanov 29 Сентябрь 2011, 21:22
|
Уважаемый Константин,
Здесь главное не в какой стране проживает, а в какой стране имеет медицинскую страховку, потому что такая операция относится к дорогим в ортопедии. Исходя из наличия страховки, я смогу переговорить с Европейскими коллегами, а так - без страховки одинаково дорого в Европе и в США. Если желает приехать к нам - пожалуйста, смогу посодействовать. У нас в каждом регионе имеются специалисты, кто занимается оперативным лечением дисплазии в молодом возрасте.
В прошлом году на Вреденовских чтениях были выступления коллег из СНГ, но показанные в этих докладах "тройная остеотомия таза и фиксация аппаратами Илизарова" отличались от периацетабулярной остеотомии, предложенной в 1983 году Джеффом Мастом и Рейнхолдом Гансом.
В России и СНГ проблемой дисплазии у молодых занимаются многие, но редко проводят адекватное оперативное вмещательство. Распознаются проблемы поздно из-за отсутствия знаний и нежелания ортопедов на местах, а также из-за отсутствия доверия, что в результате доводит больных до более серьезных кондиций, до артропластики..
Несколько лет назад затеяли операцию с Ростовскими коллегами, но по обьективным причинам не смогли довести до конца. На сегодня коллеги из Ст. Петербурга из Вреденовского Института очень близки к началу разработки проблемы дисплазии..
Главное - прогресс в стране имеется и на сегодня многие центры готовы для освоения периацетабулярной остеотомии. Возможно, поэтому мой доклад по периацетабулярным остеотомиям принят на Уральскую конференцию, так что кто интересуется - Welcome. До встречи в 26-27 Октября в Екатеринбурге.
--
Djoldas Kuldjanov, M.D.
Associate Professor
Department of Orthopedic Surgery
St. Louis University
|
[
Ответить ]
|
( Ответить )
|
|