ВХОД ДЛЯ ПАЦИЕНТОВ
вверх
поиск
админ
главная
исходное
|
Re: Комбинированный синтез перелома голени
послал Djoldas Kuldjanov 01 Октябрь 2011, 15:04
|
Решили выполнить остеосинтез штифтом и внутрисуставного перелома пластиной и винтами. Жду мнения! Зачем мне оправдываться-я же не преступник. Диалогом называется...
В этом диалоге коллеги едины во мнении, и большинством голосов не одобряют проведенную фиксацию.
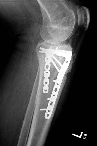
Отдельные переломы тибиал плато и перелом проксимальной трети большеберцовой кости отличаются от переломов тибиал плато с вовлечением диафиза. Здесь перелом тибиал плато типа Schatzker VI, полученный в результате высокоэнергетической травмы. Перелом метафиза образовал отрыв суставной поверхности от диафиза с вовлечением медиального и латерального мыщелков. Двухмыщелковые переломы из-за укрочения опасны развитием компартаментального синдрома, повреждением латерального мениска и связок.
Одна из проблем фиксации тибиал плато - это предупреждение мягкотканых осложнений, и это достигается проведением поэтапной фиксации. Такая тактика - первым этапом дистракция любым наружным фиксатором, а затем по готовности кожных покровов и после спадения отека операция. Операция в ранние сроки и без адекватной готовности кожных покровов лимитирует ваши действия опасностью осложнении, но без адекватного доступа фиксация получается ущербная. Для предупреждения осложнений лучше подождать и в зависимости от серьезности травмы можно ожидать иногда от 1 до 2 недель.
При переломах одного из мыщелков тибиал плато+дополнительный перелом проксимальной трети большеберцовой кости можно применить комбинированный вариант фиксации, т.е. мыщелок винтами или пластиной, а для диафиза можно установить гвоздь. В данном варианте потеряно преимущество гвоздя , из-за серьезной травмы суставной поверхности нельзя нагружать ногу несколько месяцев. А без нагрузки гвоздь просто заполнитель пространства внутри кости!
На вашем место я бы подождал с фиксацией до готовности кожных покровов, и за это время можно было подобрать соответствующий фиксатор, т.е более длинная пластина снаружи и медиальная пластина на апексе перелома как подпорка. Здесь приемлем как раз минимальный доступ.
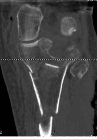
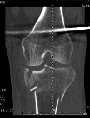
Имеющаяся импрессия не потребовала пластики - достаточным оказалось поднять отломок
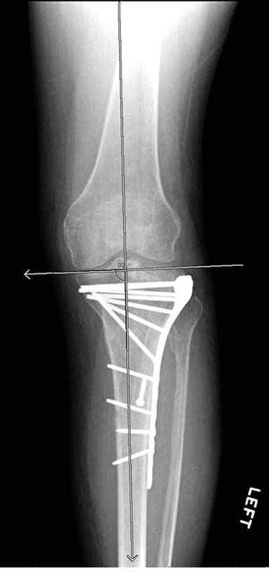
Если там действительная импрессия, пустое место без структуральных заполнителей, кость или синтетические материалы, не восстановится, а образуется коллапс, и ось конечности поведет после нагрузки. Кроме того там возможно "болт стяжка"?, в медиальной стороне выступает за кортекс, можно было укоротить! Потом создается впечатление, что не соответствуют мыщелки большеберцовой и бедренной костей? Покажите снимок.
Ваша упорство с минимальными данными защищаться забавляет, и пока не все убедились в Вашей правоте. Для нормальной защиты необходимы аргументированные доказательства исследованиями. КТ сканы и прицельно сделанные снимки коленного сустава, а так все аргументы - не более чем "моя фиксация, мне нравится". Без этих доказательств пока только Ваше упорство.....
Участники Ортофорума являются независимыми экспертами, и все понимают трудности лечения сложных переломов тибиал плато. Они выражают свои точки зрения и не надо позиционироваться "против всех".

Здесь пару случаев для сравнения,...в первых 1-4 слайдах метод фиксации одним фиксатором, как видно после 8 месяцев сохранилась ось. С 5 по 9 вариант двумя пластинами...
Djoldas Kuldjanov, M.D.
Associate Professor
Department of Orthopedic Surgery
St. Louis University
|
| Послать ответ |
Обратите внимание: Поля с жирными названиями обязательны.
Старайтесь отвечать в рамках обсуждаемой темы, а не начинать новые обсуждения.
Указывайте адекватную тему сообщения, чтобы было ясно, о чем оно.
Не послайте сообщений не по теме (оффтопик), раздраженных, грубых или обидных комментариев. Здесь это неуместно.
|