Ответить
|
Re: перелом шейки бедра
Alexander Chelnokov 29 Сентябрь 2011, 23:34
|
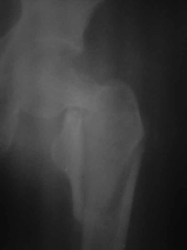
Снимок, конечно, паршивый - лучше было повременить с размещением вопроса до возможности сопроводить его нормального качества иллюстрациями.
как расшифровывается DXS?
Перелом идет на диафиз, так что если придется использовать пластину, то надо длинную, да с угловой стабильностью - клинковую, может.
Тут, видимо, лучше использовать реконструкционный гвоздь - не знаю, какова на месте степень недоступности такого типа имплантатов. Где вы находитесь? Может, попытаться прислать подходящую железку?
Немало доводится лечить пациентов с несостоятельной фиксацией подобных переломов всякими случайными пластинами и винтами.
|
[
Ответить ]
|
Re: перелом шейки бедра
Отправитель: Юрий 02 Октябрь 2011, 12:13
|

Хотелось услышать дискуссию, по-этому выложил некачественный снимок с вопросом. Стараюсь выложить немного лучше. Гамму она приобрести не сможет. Смущает то что шейка больно хлипкая и винтом развалим ее до конца. На снимке кажется что и фрагмент шейки также сломан вдоль.
|
[
Ответить ]
|
|
Re: перелом шейки бедра
Вася 29 Сентябрь 2011, 23:56
|
Если перелом действительно чрез вертельный и травма изолированная, не рассматриваете ли консервативное ведение пациентки.
Будет ли она соблюдать режим активизации после операции?
|
[
Ответить ]
|
Re: перелом шейки бедра
Отправитель: Старший 01 Октябрь 2011, 02:20
|
О каком консервативном лечении идет речь? Василий что за соблюдение режима и что это за противопоказание? Я думаю что судя по данному снимку тут прямые наказания к гвоздю типа гамма .
|
[
Ответить ]
|
Re: перелом шейки бедра
Отправитель: Вася 01 Октябрь 2011, 17:24
|
Имеется в виду наложение тазобедренной гипсовой повязки сразу или после скелетного вытяжения.
Безусловно, какой-нибудь цефаломедуллярный стержень, позволяющий раннюю полную нагрузку, наиболее предпочтителен.Однако, автор темы указал, что фиксаторы данного типа НЕ доступны.
Применение динамического винта позволит начать дозированную нагрузку только через 3-4 нед, отсюда и необходимость сотрудничества с пациентом.
|
[
Ответить ]
|
|
Re: перелом шейки бедра
Др.Бахтамян из Ервана 30 Сентябрь 2011, 23:42
|
DHS - это DHS по АО ?
|
[
Ответить ]
|
Re: перелом шейки бедра
Юрий 02 Октябрь 2011, 12:29
|
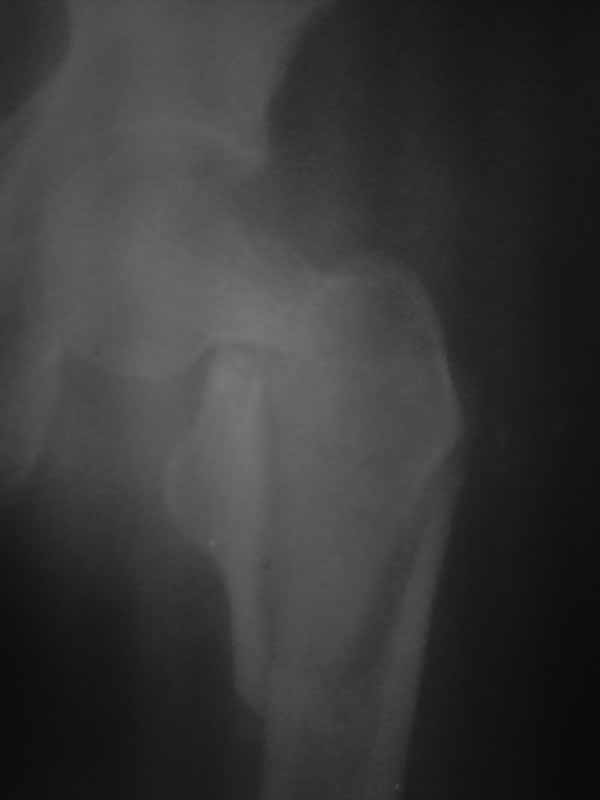
Доброго времени суток уважаемые коллеги!! Если бы перелом был чрезвертельным то все примерно было бы понятно. Гамму пациентка не купит, больница тоже ее не купит. Я попытался прислать еще снимки гляньте пожалуйста. Можетбыть вести действительно консервативно чтобы прирос фрагмент межвертельного перелома а потом поднять речь об эндопротезировании, ища квоты?! DXS - я говорю об динамическом бедренном винте с накладкой. Единственно что есть это LSP пластины да в шейку загнать винты АО. А больница наша скоропомощная в г.-герое Москва №68. Спасибо всем ответившим и прочитавшим. Случай не простой.
|
[
Ответить ]
|
Re: перелом шейки бедра
Отправитель: Alexander Chelnokov 02 Октябрь 2011, 18:23
|
Ну снимки-то нормальные можно сделать в скоропомощной больнице, т.е. очевидно располагающей не просто рентгееновской службой, а даже круглосуточной? Если не с первой, так с пятой попытки?
И в городах даже менее героических, чем Москва, известно, что для около- и внутрисуставных переломов очень информативна компьютерная томография.
Обсуждать возможные варианты операции на основе несколько раз сфотографированной одной и той же мутной картинки вряд ли продуктивно.
Если Вам интересно мнение коллег - проявите к ним уважение, добейтесь возможности нормально проиллюстрировать представляемый Вами же вопрос.
И просветите pls, как расшифровываются DXS (X - первая буква какого слова?) и LSP (в частности, S - это что?)
Полагаю, в Москве кто-нибудь по-товарищески не откажется помочь, хотя бы "бюджетные" (удаленные) железки по закромам поискать можно.
|
[
Ответить ]
|
Re: перелом шейки бедра
Отправитель: Юрий 03 Октябрь 2011, 00:45
|
извините опечатался: DHS и LCP. Ваша ирония мне понятна но неуместна. Снимки конечно же переделаем, интерестно мнение. КТ сделать нет возможности- никого из родственников никто в глаза не видел а КТ в больнице нет.
|
[
Ответить ]
|
|
Re: перелом шейки бедра
дядя Вася 03 Октябрь 2011, 19:36
|
В вашем первом сообщении вы сами ответили на все вопросы.
Однозначно консервативно. А не то будете потом открывать тему как лечить cut out после остеосинтеза данного перелома.
Вытяжение на срок мэсов, потом кокситная повязка и домой продолжать пить водку
|
[
Ответить ]
|
Re: перелом шейки бедра
Андрей Волна 03 Октябрь 2011, 22:38
|
Ну вот, а зачастую мы говорим - Москва, Москва... Юрий, я знаю о многочисленных проблемах в 68 (к сожалению, не в ней одной по городу). Многие чисто административные, казалось бы, вещи выливаются в этой ГКБ в реальные проблемы для докторов, а значит, и для пациентов.
Нет КТ - качественный Рн нужен. Консервативное лечение здесь не рассматривается, как однозначно калечащее. Видно - нужно быть готовым к открытой репозиции. Винты не обеспечивают достаточной стабильности при такой линии излома. И, даже если бы была возможность ИМ фиксации, я бы предпочёл Динамический Бедренный Винт (так правильно?) в этом случае. Черкните мне, или позвоните, если нужна поддержка, приеду, помогу по соседски-то. Вы же в Коньково? Андрей
|
[
Ответить ]
|
Re: перелом шейки бедра
Отправитель: Вася 04 Октябрь 2011, 01:49
|
Андрей, почему склоняетесь больше к динамическому винту? Ведь кажется этот перелом вертельной области относится к нестабильным. А на одном из семинаров Вы не раз повторяли, что использование конструкций подобного типа в указанных случаях не показано.
Спасибо!
|
[
Ответить ]
|
Re: перелом шейки бедра
Отправитель: Андрей Волна 04 Октябрь 2011, 16:16
|
Этот случай не является типичным, я бы рассматривал его с точки зрения механики как комбинацию (редкую, надо сказать, комбинацию) латерального и медиального переломов. Если я правильно могу прочитать представленные рентгенограммы, конечно. И нестабильным как раз в данном случае является медиальный компонент повреждения. Поэтому выбор технологии диктуется медиальым, сложным компонентом. Для латерального по большому счёту всё равно - гвоздь или Динамический Бедренный Винт. Для базисцервикальной шейки же гвоздь не даёт особых преимуществ. Репозиция, скорее всего, будет октрытой. Поэтому, DHS в комбинации (если войдёт)с дополнительным антиротационным винтом. Но, -прежде всего, рентгенография нужна приемлемого качества. Так я бы рассуждал, если бы это был наш пациент. С уважением, Андрей
|
[
Ответить ]
|
Re: перелом шейки бедра
Отправитель: Юрий 06 Октябрь 2011, 23:55
|
Спасибо Вам Андрей за понимание, и то что вместо какого то совета вы не поправляетя мои опечатки. Проблем масса- и хороший снимок на месте не сделать, да и КТ нет- все бы прояснилось. Мы находимся на Волжской. Будем оперировать на следующей неделе, склоняемся к динамическому бедренному винту- то что есть у нас.
|
[
Ответить ]
|
|
( Ответить )
|
|