ВХОД ДЛЯ ПАЦИЕНТОВ
вверх
поиск
админ
главная
исходное
|
Re: Ложный сустав голени
послал VlaD 08 Октябрь 2011, 18:14
|
Здравствуйте, уважаемые коллеги.
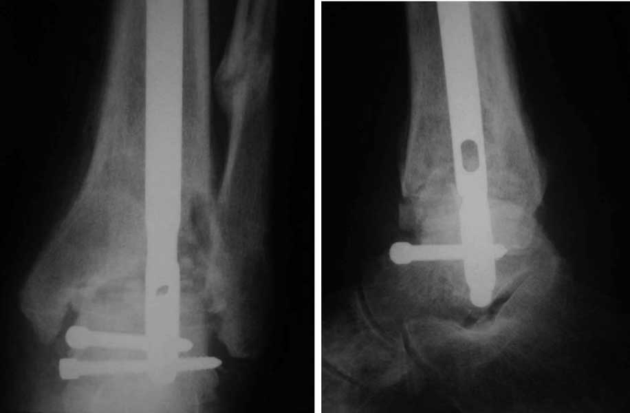
Интересный случай. Допускаю, что состояние мягких тканей приемлемое. Цель лечения должна заключаться, как мне кажется, в ликвидации ложного сустава и достижении артродеза голеностопного сустава. Впрочем, это две взаимосвязанные задачи. Мы бы оперировали следующим образом. Остеотомия малоберцовой кости на вершине деформации. Передне-медиальным доступом артротомия голеностопного сустава, резекция суставных поверхностей с отломков большеберцовой и таранной костей, удаление рубцов между отломками дистального эпиметафиза большеберцовой кости, антеградный стержень с дистальным блокированием в таранной кости, костная пластика дефекта спонгиозным костным трансплантатом из крыла (возможно сразу из двух) подвздошной кости. Банальные артродезы голеностопного сустава мы обычно выполняем антеградным блокированным стержнем (см. вложенный файл),

что позволяет сохранить подтаранный сустав, и нагружать ногу сразу после операции.
С уважением, VlaD.
|
| Послать ответ |
Обратите внимание: Поля с жирными названиями обязательны.
Старайтесь отвечать в рамках обсуждаемой темы, а не начинать новые обсуждения.
Указывайте адекватную тему сообщения, чтобы было ясно, о чем оно.
Не послайте сообщений не по теме (оффтопик), раздраженных, грубых или обидных комментариев. Здесь это неуместно.
|