Ответить
|
Re: Консолидация переломов конечностей, сочетанных с ЧМТ?
михаил 21 Октябрь 2011, 22:18
|
Да мы это много раз видели .
|
[
Ответить ]
|
Re: Консолидация переломов конечностей, сочетанных с ЧМТ?
Kudinow Konstantin 21 Октябрь 2011, 22:39
|
Совершенно верно.
У черепников-коматозников (сам не докапывался, но ответ есть, я уверен) переломы заживают быстрее. Также, высока вероятность оссификации суставных капсул и сумок. Старшие товарищи многократно об этом говорят. У самого был пациент с политравмой, к ЗЧМТ и коме 1-2 был перелом бедра, голени и луч в т.п. Был прооперирован зараз на бедро и голень, а луч - в лонгет. Из комы вышел через 2 недели после операции. Рентгенологическое и клиническое сращение бедра и голени - через 14 недель.
Несколько раз были пациенты с массированными периартикулярными разрастаниями после пребывания в коме (на моей памяти у двух человек проблема существовала вокруг т/б, один раз - локоть(ксатте, лежит сейчас в отделении после эндопротезирования))
Феномен имеет несколько теоретических обоснований и требует дальнейшего осмысления.
С уважением, Кудинов К. В., Курган.
З.Ы. Снимки постараюсь выложить завтра.
|
[
Ответить ]
|
Re: Консолидация переломов конечностей, сочетанных с ЧМТ?
Отправитель: Александр 23 Октябрь 2011, 08:36
|
Спасибо за информацию, интересно посмотреть снимки.
Какими критериями руководствуетесь, определяя сроки оперативного вмешательства на конечностях у больных с тяжелыми ЧМТ?
|
[
Ответить ]
|
|
Re: Консолидация переломов конечностей, сочетанных с ЧМТ?
Peter Romchuk 22 Октябрь 2011, 00:30
|
В The JBJS(American). 2006;88:738-743 (см.вложение) опубликована статья, подтверждающая остеогенный эффект ЧМТ в експерименте. Авторы связывают это с наличием в сыворотке факторов, оказывающих митогенное влияние на мезенхимальные стволовые клетки.
Успехов,
П.Ромчук
Osteogenic_Effects_of_Traumatic_Brain_Injury.txt
4KB (4117 bytes)
|
[
Ответить ]
|
Re: Консолидация переломов конечностей, сочетанных с ЧМТ?
Отправитель: Александр 23 Октябрь 2011, 08:40
|
Полезная информация. Интересно, к чему авторы пришли за 5 лет после опубликования статьи. Буду искать.
|
[
Ответить ]
|
|
Re: Консолидация переломов конечностей, сочетанных с ЧМТ?
Срегей 22 Октябрь 2011, 13:18
|
Здравствуйте. зачастую такой "феномен" скорой консолидации связывают с тем, что "ведрами льют" сосудистые препараты и инфузию.
|
[
Ответить ]
|
Re: Консолидация переломов конечностей, сочетанных с ЧМТ?
Отправитель: Alexander Chelnokov 23 Октябрь 2011, 20:42
|
связывают с тем, что "ведрами льют" сосудистые препараты и инфузию.
...А также с проникающей космической энергоинформационной волной и вибрациями от рельсового транспорта.
Вообще, по теме влияния повреждения головы на костеобразование есть много литературы. Поиск в google по чему-то вроде "influence of head injury on fracture healing" даст немало результатов. Петр выше привел хороший реферат.
Есть, например, полнотекстовая статья-обзор The Effect Of Head Injury On Fracture Healing (2007).
В приложении статья Cadosch D. et al. Humoral Factors Enhance Fracture-Healing and Callus Formation in Patients with Traumatic Brain Injury // The Journal of Bone & Joint Surgery. 2009 Feb;91(2):282-288.

(PDF, 635 Kb)
|
[
Ответить ]
|
Re: Консолидация переломов конечностей, сочетанных с ЧМТ?
Отправитель: Rudra Narayan Pandey 24 Октябрь 2011, 02:18
|
zdrastvuyte dr Sargey
skazite pozalyusto est kakoe to dokazatelsto k vashemu meneniyu? esli vashe viskazivanie pravelno to pochemu bi ni lechit perelomi s pomosyu sosudistikh praparatob i infusii???
po skolku nash uchili eto tolko iz ta togo chto pri ЧМТ (head injury) uvilichivayutsya osteogeeniye factori kotoriye v svoyu ochered dayut mitogenniye effecti na mesenkhimalnikh kletok.
|
[
Ответить ]
|
|
Re: Консолидация переломов конечностей, сочетанных с ЧМТ?
Дедок Михаил 23 Октябрь 2011, 02:25
|
Срастаются быстрее.
Нам об этом говорил в РНИИТО им Вредена доцент Соболев.
Убедились сами:
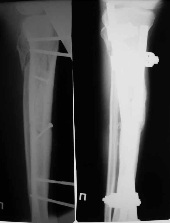
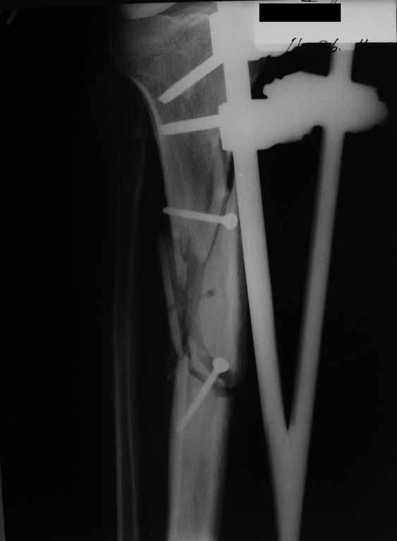
Привожу пример: Пациент с открытой тяжелой ЧМТ.
Диагноз при поступлении: Открытый оскольчатый перелом свода и основания черепа,субдуральная гематома, ушиб головного мозга тяжелой степени. Открытый оскольчатый перелом костей правой голени. Шок 3 Кома 3
По тяжести ЧМТ ( по данным РКТ) выжить был не должен в принципе.
При поступлении оперирован : трепанация, ПХО, остеосинтез голени.
Консолидация в аппарате внешней фиксации к 2 месяцам. Аппарат снят через 2,5 месяца.
Фото в приложении.

А еще один наш травматолог наблюдал случай, когда у бомжа энцефалопата сросся диафизарный перелом бедра со смещением на скелетном вытяжении за 2 месяца полностью, и он ушел с тростью.
|
[
Ответить ]
|
Re: Консолидация переломов конечностей, сочетанных с ЧМТ?
Отправитель: Александр 23 Октябрь 2011, 11:05
|
Уважаемый Михаил, пациент с открытой тяжелой ЧМТ сколько времени находился в коме?
|
[
Ответить ]
|
Re: Консолидация переломов конечностей, сочетанных с ЧМТ?
Отправитель: Дедок Михаил 23 Октябрь 2011, 22:34
|
Кома- 2 недели и затем акинетический мутизм около недели.
|
[
Ответить ]
|
|
Re: Консолидация переломов конечностей, сочетанных с ЧМТ?
александр ерохин 23 Октябрь 2011, 19:37
|
А кто-то проводил исследования? К примеру,в случае ЧМТ может развиться как спастический,так и вялый парез на нижних(верхних)конечностях или Броун- Секаровский паралич(парез).При любых осложнениях ЧМТ будет наблюдаться этот феномен? Или только при спастике?
Лет 10 назад у меня был оскольчатый перелом обеих костей голени с повреждением и мало и большеберцового нервов.Лечился долго и упорно(витамины ,реопрепараты,прозерин итп,ФТ).Так вот,после перелома-стойкая ремиссия язвенной болезни и куда-то подевался псориаз.Сразу после травмы псориаз "расцвел",даже операцию пришлось отложить,но недели через три кожа стала чистой и далее всё.
Может полечить кому псориаз так?-))
|
[
Ответить ]
|
Re: Консолидация переломов конечностей, сочетанных с ЧМТ?
Отправитель: Ivan Petrov 03 Ноябрь 2011, 23:11
|
К примеру,в случае ЧМТ может развиться... Броун- Секаровский паралич(парез).
Синдром Броун-Секара (поражение половины поперечника спинного мозга) при ЧМТ? Чудеса
|
[
Ответить ]
|
|
Re: Консолидация переломов конечностей, сочетанных с ЧМТ?
Дмитрий Шуваев 24 Октябрь 2011, 00:15
|
из практики - рельсовая травма... ампутация пр бедра в сред трети, перелом левого на том же уровне закрытый поперечный, ушиб мозга тяжелой степени... пациент 56 лет, неадекватен 3 недели, делирий... мечется на вытяжении, диастаз отломков левого бедра более 5 см, к 4 неделям - первые признаки мозоли... к 2.5 мес - "червеобразная " гипертрофическая плотная мозоль между отломками... к 3 мес - пациент ходит на костылях с опорой на единственное бедро, сросшееся с диастазом более 5 см... снимки поищу...
|
[
Ответить ]
|
Re: Консолидация переломов конечностей, сочетанных с ЧМТ?
Соболев Игорь 04 Ноябрь 2011, 09:36
|
Чем меньше организация мозга тем быстрей консолидация .Часть наших пациентов живет на подкорке и стандарты А О к ним не стоит пыться птименять . Клин пример бабушка с сенильной деменцией сорвала ТРИ гипсовых повязки и перелом сросся сам через три месяца .
Фото0455.jpg
268KB (274571 bytes)
|
[
Ответить ]
|
Re: Консолидация переломов конечностей, сочетанных с ЧМТ?
Соболев Игорь 04 Ноябрь 2011, 09:37
|
Чем меньше организация мозга тем быстрей консолидация .Часть наших пациентов живет на подкорке и стандарты А О к ним не стоит пыться птименять . Клин пример бабушка с сенильной деменцией сорвала ТРИ гипсовых повязки и перелом сросся сам через три месяца .
Фото0456.jpg
338KB (346886 bytes)
|
[
Ответить ]
|
Re: Консолидация переломов конечностей, сочетанных с ЧМТ?
Соболев Игорь 04 Ноябрь 2011, 09:38
|
Чем меньше организация мозга тем быстрей консолидация .Часть наших пациентов живет на подкорке и стандарты А О к ним не стоит пыться птименять . Клин пример бабушка с сенильной деменцией сорвала ТРИ гипсовых повязки и перелом сросся сам через три месяца
Фото0457.jpg
262KB (268663 bytes)
|
[
Ответить ]
|
Re: Консолидация переломов конечностей, сочетанных с ЧМТ?
Юрий Р. 06 Ноябрь 2011, 12:29
|
Александру Ерохину.
По поводу псориаза и нарушений нервной системы.
Был печальный случай - накостный остеосинтез н\3 плечевой кости, осложнившийся невропатией лучевого нерва в послеоперационном периоде. Сопутствующее заболевание - псориаз. Так вот, все псориатичекие очаги ниже уровня поражения исчезли, а как только явления невропатии регрессировали, снова появились. На остальных участках ничего не изменилось. Не зря же псориаз лечат неврологическими препаратами)))
|
[
Ответить ]
|
( Ответить )
|