ВХОД ДЛЯ ПАЦИЕНТОВ
вверх
поиск
админ
главная
|
Стрессовый перелом лонной кости и нестабильный эндопротез с противоположной стороны. |
 |
 |
 |
Прислано Бережной Сергей 29 Октябрь 2011, 02:50
из
Уважаемые коллеги. Хотелось бы услышать мнения и советы по представляемому случаю.
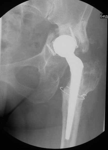
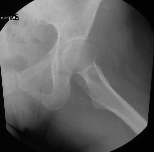
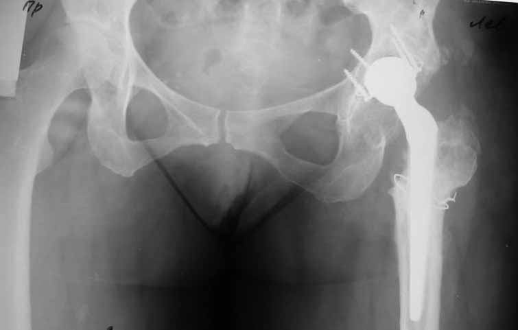
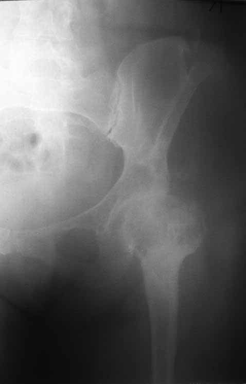
Пациентка 45 лет. Бесцементное эндопротезирование левого тазобедренного сустава 6 лет назад (впадина RM, Mathys, металл-металл, ножка Зульцеровская). За 10 лет до протезирования – коррегирующая остеотомия бедренной кости, которая не срослась в течение года до удаления пластины, а затем срослась в течение 3 месяцев иммобилизации в кокситной повязке. После протезирования получилось наблюдать пациентку почти постоянно, поскольку через 2 года синтезировал ей лодыжки на оперированной стороне, затем, через несколько месяцев удалил фиксаторы, а в 2009г. резецировал мениск на противоположной стороне. Боли все эти годы не беспокоили. Пациентка чуть выше среднего роста, вес тела нормальный. Физические нагрузки переносила хорошо. Работает на 7 этаже без лифта. Год назад экстирпация матки по поводу лейомиомы больших размеров. Несколько месяцев назад появились боли в области левого тазобедренного сустава. При рентгеновском и КТ исследованиях (июль с.г.) – нестабильность тазового компонента. От предложенной замены протеза пациентка на тот момент, слава богу, отказалась. Через какое то время боли в области левого тазобедренного сустава практически полностью прошли, а около 2 месяцев назад появилось ощущение патологической подвижности таза и боли в паху справа, которые через некоторое время уменьшились, а потом снова усилились после значительных физических нагрузок (много ходила по песку на пляже, носила тяжести). Ежедневно принимала диклофенак. На рентгенограммах – переломы правой лонной кости. Сейчас госпитализирована из-за болей в паху справа. Боли слева не беспокоят. На фоне снижения нагрузок в стационаре боли значимо уменьшились. Способна ходить без средств дополнительной опоры.
В анализах крови чуть повышены трансаминазы и гамма-ГТ, моча без особенностей.
Вопросы:
-правильно ли я расцениваю переломы как стрессовые на фоне неполноценного таза (pelvic insufficiency stress fractures)?
-Можно ли так же расценить ситуацию на стороне протеза и, соответственно, не торопиться с ревизией, рассчитывая на вторичную стабилизацию? Уж больно не хочется менять ножку.
-Если думать о ревизии, то когда?
На представленных снимках тазобедренный сустав до и сразу после операции, затем 2 снимка 2009г., когда ничего не беспокоило, затем КТ 2-х месячной давности и вчерашние рентгенограммы обоих тазобедренных суставов.
Обратите внимание: Поля с жирными названиями обязательны.
Старайтесь отвечать в рамках обсуждаемой темы, а не начинать новые обсуждения.
Указывайте адекватную тему сообщения, чтобы было ясно, о чем оно.
Не послайте сообщений не по теме (оффтопик), раздраженных, грубых или обидных комментариев. Здесь это неуместно.
|