вверх
отправить
поиск
админ
главная
|
медиальный перелом мыщелка бедра |
 |
 |
 |
Отправлено Николай 02 Ноябрь 2011, 00:21
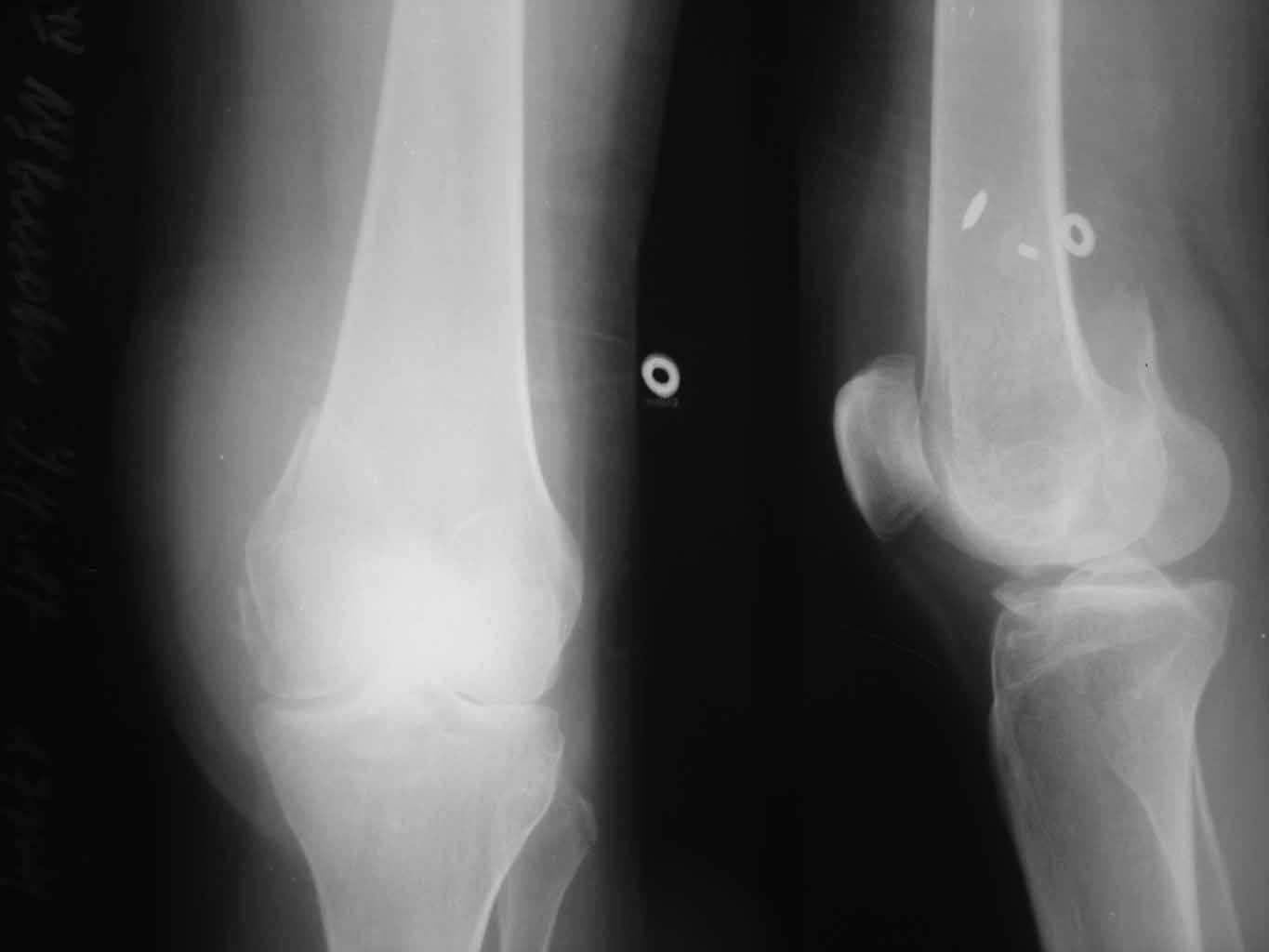
Уважаемые коллеги!!!!Хотелось бы услышать мнения...Закрытый перелом медиального мыщелка бедра от 28.10.11. Здравствуйте, уважаемые коллеги! Просим помочь!!! В отделение поступила пациентка 27 лет с переломом медиального мыщелка бедренной кости, была сбита автомобилем. Планируем оперативное лечение. Подскажите пожалуйста, какой фиксатор предпочтительнее выбрать при данной локализации перелома, каким доступом выполнить репозицию отломка, возможна ли фиксация отломка дистальной бедренной пластиной, есть ли фиксаторы именно для медиального мыщелка бедра? ЭОП есть, финансовые возможности у пациентки есть. Если у вас найдутся рентгенограммы похожих случаев, пожалуйста, скиньте в обсуждение, будем очень признательны. Спасибо! Ждем ваших комментариев!
<
|
>
|
|
Ответить
|
Re: медиальный перелом мыщелка бедра
Alexander Chelnokov 04 Ноябрь 2011, 19:26
|
Стоило бы сделать КТ Как бы это не оказался перелом типа C с еще несместившимся наружным мыщелком.
|
[
Ответить ]
|
Re: медиальный перелом мыщелка бедра
Отправитель: Николай 04 Ноябрь 2011, 23:42
|
Спасибо!хорошо бы да нет возможности....думаю латеральная пластина в этом случае выручит...
|
[
Ответить ]
|
Re: медиальный перелом мыщелка бедра
Отправитель: Станислав Дмитриев 05 Ноябрь 2011, 01:24
|
Обратите также внимание на перелом головки малоберцовой кости и фрагмент передней части межмыщелкового возвышения - это может быть повреждение связок: ПКС и наружной боковой.
|
[
Ответить ]
|
Re: медиальный перелом мыщелка бедра
Отправитель: Alexey Semenisty 05 Ноябрь 2011, 03:23
|
Интересно, каким же это макаром (путем, способом) она здесь выручит?
С уважением, А.Семенистый.
ГКБ № 13, Москва.
|
[
Ответить ]
|
|
Re: медиальный перелом мыщелка бедра
Djoldas Kuldjanov 05 Ноябрь 2011, 04:06
|
Метод фиксации медиального мыщелка бедра разбирали недавно: Отправитель: Djoldas Kuldjanov 23 Октябрь 2011.
Вроде перелом идентичный, и зачем выдумывать несуществующие специальные импланты, можно применить обычную 1/3 tubular plate, медиальный доступ, цена импланта $37 и шурупы к ним $50-80, а “Ортопедический Оргазм” бесценный.
Djoldas Kuldjanov, M.D.
Associate Professor
Department of Orthopedic Surgery
St. Louis University
|
[
Ответить ]
|
Re: медиальный перелом мыщелка бедра
Отправитель: Николай 10 Ноябрь 2011, 23:55
|
Добрый вечер!!!Огромное спасибо за совет.Пациентку прооперировали, перелом к счастью оказался изолированным,но между большим фрагментом оказалось несколько мелких фрагментов, что довольно затруднило репозицию( в операционной нет ЭОП), но все успешно.Спасибо!!)))фиксировали реконструктивной пластинкой и спонгиозным 7.0 мм винтом,получилось стабильно.
|
[
Ответить ]
|
|
( Ответить )
|
|