ВХОД ДЛЯ ПАЦИЕНТОВ
вверх
поиск
админ
главная
исходное
|
Re: Ложный сустав б/ берцовой с инфицированием
послал Нияз 12 Ноябрь 2011, 14:42
|
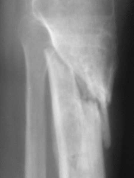
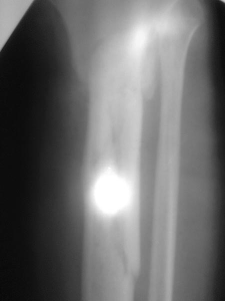
Спасибо за обсуждение.Отправил остальные R, изиняюсь за качество.

1. Есть ли у Вас наблюдения пациентов с ложными суставами голени( не тугоподвижными) пролеченных функциональными повязками и каковы их результаты ?
2.Возникновение раны склонен связывать с эпизодом спицевой инфекции нашедшей себе "уютное место" в плохо васкулизированных интерпонироанных мягких тканях между отломками. Я думаю что нет разницы где ложный сустав( в губчатой или др.) -он будет если там интерпозиция.
3.Перелом на 2 уровнях, есть искривление костно-мозгового канала. Проксимальный отломок короткий.
Отзовитесь рисковые и опытные доктора, обсуждение очень интересно.
|
| Послать ответ |
Обратите внимание: Поля с жирными названиями обязательны.
Старайтесь отвечать в рамках обсуждаемой темы, а не начинать новые обсуждения.
Указывайте адекватную тему сообщения, чтобы было ясно, о чем оно.
Не послайте сообщений не по теме (оффтопик), раздраженных, грубых или обидных комментариев. Здесь это неуместно.
|