Ответить
|
Re: Дефартроз голеностопа+перелом пилона+перелом тарана?
Бережной Сергей 28 Ноябрь 2011, 20:24
|
Все-таки сначала нужно понять, что является причиной такой быстрой и массивной деструкции и каковы ее истинные масштабы, а потом уже планировать оперативное вмешательство. Без КТ (или МРТ) не обойтись.
|
[
Ответить ]
|
Re: Дефартроз голеностопа+перелом пилона+перелом тарана?
Бережной Сергей 28 Ноябрь 2011, 20:30
|
Не спросил сразу, а вытяжение для чего? Процесс не острый. Боли нет. Для МРТ помеха. Если планируется реконструктивная операция, так лучше снять от греха подальше.
|
[
Ответить ]
|
Re: Дефартроз голеностопа+перелом пилона+перелом тарана?
Maxim Agalakov 28 Ноябрь 2011, 20:46
|
Формирование большеберцово-пяточного артродеза в аппарате с исправлением дкеформации (похоже на аваскулярный некроз тарана)
|
[
Ответить ]
|
Re: Дефартроз голеностопа+перелом пилона+перелом тарана?
Олег 28 Ноябрь 2011, 21:25
|
Сегодня видел аналогичные снимки, только деформация ещё более выражена. У нашего пациента в анамнезе диабет 1 типа. Проверьте своего. Возможно, перелом патологический (Mts? Миеломная болезнь?).
У нас в планах - резекция ГСС, фиксация стержнем + костная пластика фрагментами лодыжек и трансплантантом из гребней подвздошных костей (варианты: пластины + винты, канюлированные винты с компрессией, спицы). И роспись пациента о том, что он предупреждён, что всё может закончиться ампутацией.
|
[
Ответить ]
|
Re: Дефартроз голеностопа+перелом пилона+перелом тарана?
Отправитель: Ostanin 28 Ноябрь 2011, 22:42
|
Про миеломную - да, в плане - трепанобиопсия. Но оперировать все равно надо.
|
[
Ответить ]
|
Re: Дефартроз голеностопа+перелом пилона+перелом тарана?
Отправитель: Олег 06 Декабрь 2011, 00:37
|
Да, вспомнил, была у нас такая пациентка. 20 с небольшим лет. СД 1 типа, тяжёлое течение, с 5 лет. Осложнения почти все, какие только могут быть - нефропатия, ХПН, ретинопатия, ангионевропатия, анемия 3 ст. и т.п. В анамнезе - кататравма. Оперировали в 2006, 2007 г., выполнялся панартродез на обеих стопах. В последующем всё плохо: неоднократные странные нагноения (после дренирования и 5 дней антибиотиков всё успокаивалось - до очередного обострения; при этом болевой синдром практически отсутствовал). Лечение сложное и дорогостоящее, вплоть до применения эритропоэтинов и т.п. Однако положение стоп сохранялось достаточно приличное, ходьба в ортезах. В 2009 г. появились жалобы на боли в других суставах. При обследовании (сцинтиграфии) были выявлены множественные очаги по всему организму, вплоть до деструкции головки плечевой кости (накопление РФП 200 - 1400%). Содержание свободных лёгких каппа-цепей 149,0 мкг/мл (норма 3,0 – 8,0 мкг/мл), лямбда-цепей 1,3 мкг/мл (норма 0,001 – 0,04 мкг/мл). Множественные повторные биопсии, трепанбиопсии и гистологии. Диф. диагностика с гематологическими заболеваниями, миеломной болезнью, амилоидозом (кстати, тогда я понял, что амилоидоз - это не совсем то, чему нас учили в своё время).
Головку плеча позже резецировали в другом стационаре. Больную видел этим летом, ходит всё также в ортезах (фиксаторы ГСС с боковыми шинками). Про остальное не спрашивайте.
DSCN2921ЙНОХПНБЮМХЕ.jpg
74KB (76783 bytes)
|
[
Ответить ]
|
|
Re: Дефартроз голеностопа+перелом пилона+перелом тарана?
Ostanin 28 Ноябрь 2011, 21:44
|

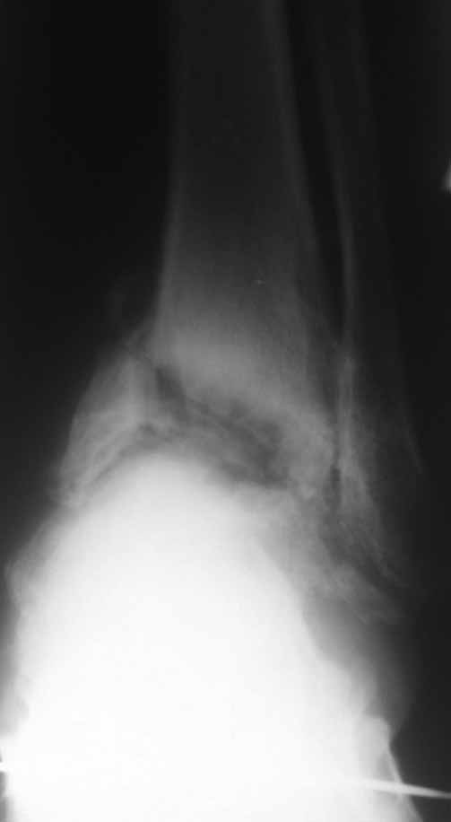
Опять прошу прощения за качество фото, но принципиальные моменты мне кажется, что видны.
Из того, что я вместе с лучевыми диагностами разглядел - нельзя исключить остеомиелит (?) - есть краевая реакция, куча элементов, похожих на секвестры. Смущает полное отсутствие местной и системной реакции - к анализам не придраться.
Про оперативное - думаем об артродезе правого голеностопа (пока и там ничего не съехало - боль в правом голеностопе усилилась из-за увеличения нагрузки), а слева (где как раз и есть некроз тарана и пилона) - открыть, чистить, бусы с антибиотиком, максимально коррекция сразу + аппарат.
Ваши мысли?
Про опухоли - склоняюсь к мысли, что все таки может быть какое-то из последствий лучевой болезни (31 явка на ЧАЭС) (?!)...
|
[
Ответить ]
|
Re: Дефартроз голеностопа+перелом пилона+перелом тарана?
Отправитель: Бережной Сергей 29 Ноябрь 2011, 01:29
|
- думаем об артродезе правого голеностопа (пока и там ничего не съехало - боль в правом голеностопе усилилась из-за увеличения нагрузки)
А насколько сильна боль в правом голеностопном суставе? Перспективы левой ноги сомнительные. В такой ситуации оперировать правую с целью профилактики - не слишком ли рискованно? Если Вы предполагаете, что и справа может "съехать", нужно делать МРТ и убеждаться в отсутствии асептического некроза. Если его нет, то и с артродезом пока можно ждать. Если есть, тогда обычный артродез может оказаться несостоятельным и нужно планировать его исходя из объема поражения костной ткани.
- открыть, чистить, бусы с антибиотиком
Что значит открыть и чистить? Исходя из того, что это остеомиелит? Или по какой то другой причине? Это каким же должен быть объем операции? К тому же, ни анализы, ни внешний вид стопы, ни жалобы не подтверждают предположение об остеомиелите, даже если предполагать очень вяло текущий процесс. КТ-граммы, к сожалению, получились не очень информативными. Если же гнойный процесс не предполагается, зачем бусы. Проблемы закрытия операционной раны (ран?) в этой области вполне вероятны, а бусы это дополнительный объем.
|
[
Ответить ]
|
|
Re: Дефартроз голеностопа+перелом пилона+перелом тарана?
Dr.Gofman 29 Ноябрь 2011, 01:15
|
Здравствуйте
Перед реконструкцией сустава обязательно надо провести диф диагностику, эта проблема, на мой взгляд, называется Charcot's Joint.
(извините что скопировал много по английски ) особенно я бы подчеркнул последнюю фразу о низком проценте удачного артродеза
Any condition resulting in decreased peripheral sensation, proprioception, and fine motor control:
• Diabetes mellitus neuropathy (the most common in the U.S. today, resulting in destruction of foot and ankle joints), with Charcot joints in 1/600-700 diabetics. Related to long-term poor glucose control.
• Alcoholic neuropathy
• Cerebral palsy
• Leprosy
• Syphilis (tabes dorsalis), caused by the organism Treponema pallidum
• Spinal cord injury
• Myelomeningocele
• Syringomyelia
• Intra-articular steroid injections
• Congenital insensitivity to pain
• Charcot-Marie-Tooth disease
Definition of Charcot's Joint
A chronic, progressive and degenerative disease of one or more joints, characterized by swelling, instability of the joint, hemorrhage, heat, and atrophic and hypertrophic changes in the bone. It is also known as neurogenic arthropathy.
Description of Charcot's Joint
This disease is the result of a neurologic disorder, diabetic neuropathy, leprosy, congenital absence or the depression of pain sensation. In some cases, early recognition of this disease and prophylactic protection of the joint may prevent further damage.
Because of slow healing, surgical reconstruction is not usually effective.
|
[
Ответить ]
|
Re: Дефартроз голеностопа+перелом пилона+перелом тарана?
Отправитель: Dr.Gofman 29 Ноябрь 2011, 03:48
|
Вдополнение- я бы не спешил с операциями ,а заложил бы обе конечности в гипсы короткие до колена без возможности наступать на ноги ,но ходить на подковах с длинными штангами которые замурованы в гипс на уровне щиколоток(гипс стоп, разумеется ,до пола не касается)
кажется в русской литературе это называется повязка со стременами?
Так ходить 2-3 месяца 4? в надежде на спонтанный артродез,если нет, то тогда спокойно выбрать с какой стороны сделать артродез , а на второй ноге продолжать ходить без опоры на стопу (может все таки срастется)Если операция пройдет удачно,то с появлением возможности наступать весом тела на ногу с артродезом, приниматься за вторую .
|
[
Ответить ]
|
|
Re: Дефартроз голеностопа+перелом пилона+перелом тарана?
Игорь Девин 29 Ноябрь 2011, 01:42
|
Здравствуйте!
Наверное здесь имеется асептический некроз таранной кости с патологическим внутренним подвывихом стопы на фоне подагрической артропатии.
Нужен фасный снимок, МРТ или КТ улучшат детализацию. Вытяжение ничего не даст.
Оперативное лечение - артродез, фиксация в аппарате. Если остаток таранной кости окажется мал, то артродез между пяточной и большеберцовой костями. Я пробовал Фиксировать через пятку 2 винтами и в полиаретановом туторе. Получил фиброзный анкилоз (получается слишком короткий рычаг на пятке), недавно удалили винты отдаленных результатов нет, но коррекция сохраняется, нога опорна. В АВФ рычагом является вся стопа и можно провести дополнительную коррекцию.
И.Девин.
|
[
Ответить ]
|
Re: Дефартроз голеностопа+перелом пилона+перелом тарана?
Валерий Останин 03 Декабрь 2011, 21:47
|
Жалобы со стороны второго сустава есть - прыгать на костылях до томографа без опоры на левую стопу пациенту было больно.
Зачем вытяжение - эффект на рентгенограммах виден.
Склоняемся к мысли, что все таки Charcot's Joint.
Планируем артродез стержнем правого голеностопа + аппарат на левый голеностоп.
Остается вопрос - как монтировать ? одномоментно корректировать или все таки постепенно аппаратом?
Спасибо!
С уважением, Останин.
|
[
Ответить ]
|
Re: Дефартроз голеностопа+перелом пилона+перелом тарана?
Djoldas Kuldjanov 08 Декабрь 2011, 01:06
|
Прогрессивное разрушение скелета и характерную деформацию можно увидеть при нейропатической артропатии или Charcot arthropathy.
Артропатия встречается во всех суставах, иногда двухсторонняя, но сложной деформации подвергаются только нагружаемые суставы. Нейропатия в основном связана с развитием диабета, хотя могут быть другие причины (подробный список предоставил др.Gofman).
Анамнез и неврологический осмотр конечности поможет с дифференциальной диагностикой, но, кроме инструментальных исследовании, диагноз
необходимо подтвердить лабараторными данными. (Basic Metabolic Panel).
Артропатическое состояние отличается от банального "дефартроз голеностопа+перелом пилона+перелом тарана" и требуется более длительное лечение, чем обычно. Поэтому, во избежание возможных претензий по
поводу длительности лечения, необходимо провести предварительную профилактическую работу. Такая тактика немного успокоит нетерпеливых
пациентов.
Неактивная фаза заболевания характеризуется отсутствием элементов воспалительной реакции и "похожие на секвестры элементы " не всегда
подтверждается на МРТ. Потом надо пересмотреть тактику "закрытия дефекта пластикой из обоих крыльев либо блоками матрикса", потому что
при двухсторенней патологии трудно набрать достаточное количества кости из крыла.
На КТ срезах вместо тарана некротический остаток, который явно не пригодится как пластический материал. Вместе него блок из алло-кости
(консервированная головка бедра), или лучший вариант с удалением тарана с последующим артродезированием. Тибиа к пятке и канюлированные винты, для уверенности добавленный аппарат Илизарова усилит конструкцию.
Латеральный и передние доступы дает обзор и предупреждают мягкотканые осложнения.
*Djoldas Kuldjanov, M.D.*
*Associate Professor
Department of Orthopedic Surgery
St. Louis University*
|
[
Ответить ]
|
Re: Дефартроз голеностопа+перелом пилона+перелом тарана?
Юрий Алексеевич Булахтин 11 Декабрь 2011, 21:37
|
Уважаемый коллега!
Скажите, пожалуйста, почему выбран вариант стержень и аппарат?
На мой взгляд, преимущества ведения после закрытого остеосинтеза теряются из-за наличия ЧКДА на другой ноге.
С уважением и наилучшими пожеланиями,
Юрий Алексеевич Булахтин
Камчатский военно-морской госпиталь
|
[
Ответить ]
|
( Ответить )
|
|