ВХОД ДЛЯ ПАЦИЕНТОВ
вверх
поиск
админ
главная
|
Тактика лечения политравмы? |
 |
 |
 |
Прислано Djoldas Kuldjanov 18 Июнь 2012, 23:53
из
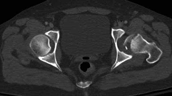
Женщина 28 лет, политравма.
По протоколу обследования больных с травмой сделаны все исследования и выставлен диагноз: разрыв печени и селезенки; множественные переломы ребер и лицевого черепа; стабильный перелом позвоночника, переломо-вывих головки левого бедра, перелом диафиза правого бедра, переломо-вывих правого тарана.
Интубация, плевральный дренаж, удаление селезенки и лечение разрыва печени...
Какую тактику препочтительно проводить в отношении переломов костей скелета при поступлении больной в середине ночи?
Обратите внимание: Поля с жирными названиями обязательны.
Старайтесь отвечать в рамках обсуждаемой темы, а не начинать новые обсуждения.
Указывайте адекватную тему сообщения, чтобы было ясно, о чем оно.
Не послайте сообщений не по теме (оффтопик), раздраженных, грубых или обидных комментариев. Здесь это неуместно.
|