вверх
отправить
поиск
админ
главная
|
глубокая перипротезная инфекция |
 |
 |
 |
Отправлено Maxim Agalakov 17 Июль 2012, 21:00
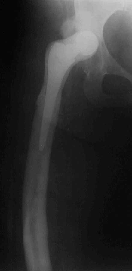
Уважаемые коллеги, к нам поступила женщина 45 лет с такой вот ситуацией: Операция около 1,5 месяцев назад: тотальное б/ц эндопротезирование с остеотомией проксимального отдела бедра. Послеоперационный период - без особенностей, рана зажила первично, выписана домой. В анамнезе в детском и юношеском возрасте несколько оперативных вмешательств на вертлужной впадине и бедре по поводу врожденного вывиха бедра, судя по рубцам, протекавшие не совсем гладко. около 2,5 недель назад пациентка начала отмечать вечерние подъемы температуры до 38. примерно в это же время выявлен высокий тромбоз поверхностной бедренной и общей бедренной вен, несмотря на прием антикоагулянтов. Пунктирован сустав - получен рост золотистого стафилококка. Учитывая острый тромбоз, назначена супрессивная а/б терапия с учетом чувствительности. В настоящее время: тромбоз с положительной динамикой с признаками реканализации, небольшой лейкоцитоз, СРБ до 12, вечерние свечки до 38 (не каждый день), субъективно - чувствует себя лучше. Локально: плотный отек в области п/о рубца, гиперэмия, небольшое количество пузырей с серозным отделяемым (сожалею, сегодня не успел сфотографировать). Вопросы: -какова вероятность локализации процесса в мягких тканях или не стоит выдавать желаемое за действительное? - объем ревизионного вмешательства: сохранять эндопротез или нет? одноэтапно или двухэтапно? На фоне остеотомии бедра испльзовать цементный спейсер или поробовать импакционную пластику с добавлением антибиотика или пластику - дистально, цемент проксимально?
с уважением, Максим Агалаков, Е- бург
<
|
>
|
|
Ответить
|
Re: глубокая перипротезная инфекция
Denis Derevyanko 17 Июль 2012, 22:13
|
 pdf, 196 Kb.
Здравствуйте. В 2004 году в журнале New England Journal of Medicine была опубликована статья, касательно представленной Вами проблемы с подробной схемой антибиотикотерапии и алгоритмом действий. Статью прикрепляю в сообщении (на английском). Если нужно - выложу или отправлю Вам по электронной почте перевод этой статьи.
С уважением, Denis Derevyanko
|
[
Ответить ]
|
Re: глубокая перипротезная инфекция
Отправитель: Илья 20 Июль 2012, 14:37
|
Здравствуйте,перешлите пожалуйста перевод данной статьи. Email iluha2003@ukr.net
С Ув.Илья
|
[
Ответить ]
|
Re: глубокая перипротезная инфекция
Отправитель: сергей сидоров 20 Июль 2012, 16:41
|
если возможно, перевод указанной вами статьи
|
[
Ответить ]
|
|
Re: глубокая перипротезная инфекция
Сергей 17 Июль 2012, 22:18
|
Судя по истории, ранняя парапротезная инфекция. Тактически поступил бы:Ревизия области эндопротеза, бак.посевы, санация, дренирование. Антибиотики по чувствительности-2,в/в, антикоагулянты, местно-что доступно, коррекция кос,протеинемии,стимуляция репарации,анаболизма если требуется.Не забывал бы про иммуностимуляторы,иммуномодуляторы, профилактику дисбактериоза. При эффективности такой схемы лечения, возможно на амбулаторный этап антибиотик по чувствительности от 1 до3 мес. с контролем оак, маркеров воспаления 1 раз в месяц. Попытка сохранить протез. Так как понимаю свищей нет. Протез пока не убирал бы. Возможно также через вторично отсроченные швы. Возможны варианты и вашего лечения.
|
[
Ответить ]
|
Re: глубокая перипротезная инфекция
Anton Kovalenko 18 Июль 2012, 09:19
|
1. Если материал получен из сустава, и конец иглы "нащупывал" компоненты протеза или кость - это перипротезная инфекция.
2. Бедренный компонент не выглядит стабильным, и стабильным на протезе с прокимальной фиксацией быть не может. Антиротационная пластинка слегка удерживает дистальный отломок, а плоскость остеотомии сложно назвать хорошо адаптированной. Из чего следует - бедренный компонент удалять. Вертлужный, если стабилен, можно оставить с заменой вкладыша
3. Вопрос о тактике сложный. На сегодня преимуществ одно или двухэтапной ревизии не выявлено. Вопрос решается индивидуально в каждом конкретном случае. Убирая бедренный компонент, кроме борьбы с инфекцией, нужно стабилизировать бедро. Следовательно нужна нога с дистальной фиксацией - типа ревизионной Вагнера. Ресурсы позволят?
4. Костная импакционная пластика используется при значитальном дефиците костного ложа, которого здесь вроде не наблюдается. Поэтому если речь пойдет о спейсере, то я за цементный без пластики.
С уважением, Коваленко А.Н.
|
[
Ответить ]
|
Re: глубокая перипротезная инфекция
Отправитель: Maxim Agalakov 18 Июль 2012, 09:47
|
1. не факт, что материал получен точно из сустава
2.а какие признаки нестабильности его есть? Явной нестабильности точно нет, вероятной - под большим сомнением (снимки разной жесткости), антиротационная пластина никоим образом не удерживает дистальный отломок, в случае нестабильности она уже 10 раз сломалась бы.
Интраоперационно - все было очень стабильно, пластина была прикручена "на всякий случай" по рек-ям зарубежных коллег. Почему ножка тип цваймюллер стала проксимальной фиксации? Часть народа говорит, что при ее использовании пластина вообще не нужна.
Плоскость остеотомии просто назвать хорошо адаптированной.
3. в США более популярен двухэтапный подход, в Европе - одноэтапный
4. импакционная пластика используется не только для замещения костных деффектов, есть данные, что с добавлением а/б и адекватной импактизации она так же эффективна, как цем спейсер. Если ставить цем спейсер - можно получить несращение на уровне остеотомии.
PS Я кстати высылал книжку по УВТ, не дошла, видимо, из-за размеров, может А.Н. где нибудь ее обнаружит
С уважением, Максим
|
[
Ответить ]
|
Re: глубокая перипротезная инфекция
Отправитель: Anton Kovalenko 18 Июль 2012, 22:51
|
Получить пунктат из сустава, а потом обманываться что к суставу он не имеет отношения как-то ненадежно.
Не знаю как другие, но по выложенным рентгенограммах можно заподозрить лизис вдоль медиальной стенки дистального фрагмента. То что проксимальный фрагмент стабилен сомнений нет, по поводу дистального - как то сомнительно.
Конечно, гадать на таком рентгене - стабильны компоненты или нет - все равно что на кофейной гуще, можно сделать рентген в двух проекциях и без ротации ножки. Но точно определить можно лишь на ревизии. Будешь убирать или нет, спейсер или пластика или что-то еще(кто-то писал о вакуумном ведении протезной раны в течении недели после ревизии и дебридмента) - дело другое, но ревизовать надо. чем раньше тем лучше.
Фрагменты можно называть хорошо адаптироваными, но не менее хорошо видно диастаз между ними как минимум 3-4 мм на послеоперационном и последующем снимке.
Публикации о использовании аллокости в качестве депо антибиотика есть, но за последние 10 лет едва ли наберется (проверял) с десяток качественных публикаций независимых авторов об успешном клиническом применении метода. Можно ли на сегодня считать метод проверенным и эффективным и рекомендовать его к широкому использованию?
С уважением, Коваленко А.Н.
|
[
Ответить ]
|
Re: глубокая перипротезная инфекция
Отправитель: Maxim Agalakov 19 Июль 2012, 21:06
|
В этой теме вообще пока нет единого мнения, особенно если учитывать цену/эффективность, в этом смысле пластика с а/б имеет такое же право на существование
|
[
Ответить ]
|
Re: глубокая перипротезная инфекция
Отправитель: Maxim Agalakov 18 Июль 2012, 14:08
|
по поводу пластики
http://www.ncbi.nlm.nih.gov/pubmed/15773637
http://www.ncbi.nlm.nih.gov/pubmed/17483727
http://www.ncbi.nlm.nih.gov/pubmed/19043128
|
[
Ответить ]
|
|
Re: глубокая перипротезная инфекция
Maxim Agalakov 20 Июль 2012, 15:00
|

Чуда не произошло... В суставе гной, все прикрепления ягодичных мышц, псоас, вастус латералис лизировались, сам ничего не убирал, при том, что с предыдущей операции уходили достаточно красиво, все было на месте. А сегодня - удручающая картина: голая мертвая кость до с/3 бедра, видимо сказались предыдущие операции.в связи с чем пришлось убрать проксимальный отдел бедра, установить спейсер. Явной нестабильности компонентов не было, впрочем убралось все легко, небольшие признаки остеоинтеграции на ножке и чашке. Пульс-лаваж- 5л с ловасептом. VAC наладить неудалось из-за множества грубых рубцов от предыдущих вмешательств (не герметично). Фото прилагаю.
|
[
Ответить ]
|
Re: глубокая перипротезная инфекция
Отправитель: Алексей. 05 Август 2012, 18:22
|
Нельзя назвать абсолютно стабильной фиксацию дистального конца бедра, поскольку ножка слишком коротка. Вагнер был предпочтителен изначально. И антиротационный компонент там присутствует в виде ребер. Пластина, тем более такая короткая, пользы не приносит. Конечно и бактериальный компонент никто не отменял, но изначальная нестабильность сыграла пагубную роль.
|
[
Ответить ]
|
Re: глубокая перипротезная инфекция
Отправитель: Maxim Agalakov 14 Август 2012, 11:11
|
Цваймюллер обладает отличной антиротационной стабильностью, часть людей считает, что при ее применении пластина вообще не нужна, но некоторые ставят 1/3 трубки в качестве антиротационной при круглых ножках, в этом случае такой пластинки вполне хватит (она не опорная, не мостовидная).
Я знаю, что в Питере предпочитают Вагнер, (наверное вы там работаете или там учились?), за границей чаще используют С-ROM, мне больше нравится AML/Solution.
Интраоперационно никаких сомнений в стабильности не было, на уровне остеотомии не было никакой подвижности. На всякий случай прилагаю ссылку (жаль не могу найти оригинальную британскую статью)
http://www.cmj.org/Periodical/PaperList.asp?id=LW2012517532461407475
С уважением, Максим Агалаков, Е-бург.
|
[
Ответить ]
|
|
( Ответить )
|
|