вверх
отправить
поиск
админ
главная
|
деформация плечевой кости |
 |
 |
 |
Отправлено алмасбек 14 Сентябрь 2012, 22:31
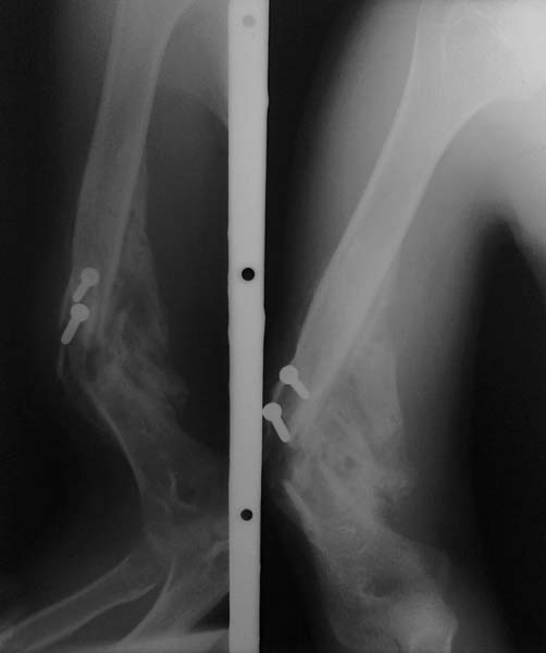
Уважаемые коллеги! Пациент П 26 лет, на учете у невропатолога по поводу ДЦП. Больной психологически неадеватный. Около 5 мес назад оперирован в одной из ЦРБ по поводу закрытого винтобразного перелома плечевой кости. Произведено открытая репозиция, фиксация отломков компрессирующими винтами. Через 1,5 мес при судорожном приступе упал и получил рефрактуру. В данный момент имеется выраженная угловая деформация плеча, в проекции деформации-рана 1,5х1,0 см, покрыта коркой, из ран выступает острый конец проксимального отломка (на рентгенограмме видно), отделяемое из ран нет. Потологический подвижность нет. Клинические признаки повреждения лучевого нерва. Помогите определить тактику лечения. Заранее благодарен...
<
|
>
|
|
Ответить
|
Re: деформация плечевой кости
леша 15 Сентябрь 2012, 13:18
|
Добрый день. Уточните у родственников, на сколько была работоспособна рука до травмы и как часто он ею пользовался. Из этого будут исходить цели и задачи.
Внешнюю фиксацию такие больные чаще всего не переносят, а погружной ОС сейчас лучше не рассматривать. Так что деформацию трогать не стоит, по крайней мере сейчас, пока есть рана. Ею и займитесь- уберите выступающий отломок, проведите некрэктомию. Восстановится кожа-хорошо.
Относительно нерва- была ли симптоматика повреждения при первичном обращении в ЦРБ, с-м. Тиннеля? Если будет удобно, то одномоментно сделайте ревизию нерва.
С уважением.
|
[
Ответить ]
|
Re: деформация плечевой кости
Бережной Сергей 15 Сентябрь 2012, 13:33
|
В какой-то степени похожий случай демонстрировался на форуме 27 апреля 2010г. Все сейчас зависит от задач, которые Вы и Ваш пациент ставите перед собой. Возможно, достаточно сделать краевую резекцию выступающего в рану участка плечевой кости. Если рядом винты (по снимку не очень понятно, могут ли они поддерживать воспалительный процесс) - удалить и их. И желательно понять, что явилось причиной повреждения лучевого нерва. Если он не был поврежден во время операции, тогда консервативное лечение (шина, удерживающая кисть в физиологическом положении, ЛФК и т.д.) должно дать медленный и неполный, но положительный результат. Если же Вы ставите перед собой задачу устранить деформацию, стоит сто раз подумать, нужно ли так рисковать.
|
[
Ответить ]
|
Re: деформация плечевой кости
алмасбек 15 Сентябрь 2012, 18:03
|
Добрый день коллеги! Со слов родственников до операции рука была работоспособна. Возможно ятрогения.Разрез огромный и по латеральной поверхности.Устранить деформацию не хочется, но родственники настаивает.При таком анамнезе ВКДО невозможно, что делать?
|
[
Ответить ]
|
Re: деформация плечевой кости
Отправитель: Леша 16 Сентябрь 2012, 11:45
|
Тогда еще раз оговорите, что лечение будет длительным, не исключены осложнения.
Удалите винты, проведите некрэктомию (возможно с ревизией нерва), добейтесь нормального состояния покровов. После этого остеотомия, восстановление проходимости КМ канала и интрамед. остеосинт.
|
[
Ответить ]
|
|
( Ответить )
|
|