Ответить
|
Re: Формирующийся ложный сустав лучевой кости
Станислав 26 Ноябрь 2012, 22:16
|
наложение спицевого аппарата и дистракция а дальше рентгенконтроль через 6 нед. Одномоментно дать дистракцию для восстановления длины лучевой кости можете получить КРБС (Зудек)
Часто ли вы делали тыльный доступ? По моему он гораздо тяжелее и травматичнее чем ладонный.
Сколько собираетесь резецировать дистального отломка? И в чем причина замедленной консолидации перелома лучевой кости в типичном месте???
|
[
Ответить ]
|
Re: Формирующийся ложный сустав лучевой кости
Отправитель: Мельников В.С. 27 Ноябрь 2012, 09:54
|
Тыльный доступ не является более травматичным. Все проблемы при этом доступе связаны с разгибательным аппаратом и появляются после установки пластин и других фиксаторов по тыльной поверхности лучевой кости. Если использовать АВФ или спицы для фиксации отломков, то в некоторых случаях тыльный доступ на много более информативен и удобен, особенно если есть тыльный Бартон.
|
[
Ответить ]
|
Re: Формирующийся ложный сустав лучевой кости
Отправитель: женя 02 Декабрь 2012, 00:58
|
Тыльный доступ вызывает более серьезное расстройство кровообращения в зоне кистевого сустава, дистального метаэпифиза лучевой кости. Зачем ненужное "общение" с кучей сухожилий)))?
|
[
Ответить ]
|
|
Re: Формирующийся ложный сустав лучевой кости
Мельников В.С. 27 Ноябрь 2012, 00:29
|
Уважаемый Николай, говорить о ложном суставе пока рановато, т.к. о его формировании можно судить только через два срока необходимого для сращения, так по крайней мере нас корифеи учили. В связи с этим и с небольшим оседанием суставной поверхности на снимках, говорить о костной пластике рановато. Существует два диаметральных метода лечения данных переломов: аппаратом АВФ или пластиной с угловой стабильностью. Если использовать аппарат, то на мой взгляды хватит закрытой остеоклазии с наложением АВФ и дальнейшей дозированной дистракцией и последующей не позицией в аппарате, мы в своей работе для этой цели используем аппараты конструкции Лазарева-Коршунова. Что касается пластин, то однозначно ладонные, соответственно из ладонного доступа, после открытой остеоклазии и репозиции отломков. На данном этапе ладонные пластины способны решить любые проблемы фиксации отломков этой области. Их существует уже аж четыре поколения. На первых двух останавливаться не буду, это уже история. Из третьего поколения (с угловой стабильностью) я использую продукцию немецкой Konegsee. Из четвертого поколения (край головки пластины имеет форму учитывающию линию водораздела) популярны Synthes, Medartis, Depuy, Stryker.
Удачи и помните о синдроме Зудека (извините комплексном регионарным болевом синдроме).
С уважением В.С. Мельников.
Отделение хирургии кисти ГБУЗ ГКБ N4 ДЗ г. Москвы
|
[
Ответить ]
|
Re: Формирующийся ложный сустав лучевой кости
Отправитель: Наталия 14 Октябрь 2016, 15:13
|
Уважаемые коллеги!Прошу вас проконсультировать симки моего сын.3.09.16г.в Москве его сбила машина.Перелом дистального метаэпифиза лучевой кости со смещением.
Снимок в приложении.Как вы расцениваете ситуацию и что делать и где
IMG_2213.JPG
894KB (915777 bytes)
|
[
Ответить ]
|
|
Re: Формирующийся ложный сустав лучевой кости
Александр 27 Ноябрь 2012, 02:04
|
Если Вы будете лечить пациентку так, как написали, в аппарате Илизарова, то НИКОГДА не добьетесь высокого функционального результата.
Я бы на Вашем месте сделал обычный остеосинтез из ладонного доступа пластиной на выбор или аналогами http://www.hofer-medical.com/Trauma_SmallFragment_LowerArm_en.html
И, скорее, от костной платики воздержался.
Далее - ранняя реабилитация.
|
[
Ответить ]
|
Re: Формирующийся ложный сустав лучевой кости
Отправитель: Мельников В.С. 27 Ноябрь 2012, 10:00
|
Если Вы будете лечить пациентку так, как написали, в аппарате Илизарова, то НИКОГДА не добьетесь высокого функционального результата.
Лечим - лечим таких пациентов при помощи АВФ вот уж лет более 30, а оказывается добиться высокого функционального результата не возможно. Мне видится два выхода либо нам ухудшать качество лечения либо Вам учиться применению АВФ при переломах дистального эпиметафиза лучевой кости.
Мельников В.С.
отделение хирургии кисти ГБУЗ ГКБ №4 ДЗМ
|
[
Ответить ]
|
Re: Формирующийся ложный сустав лучевой кости
Отправитель: Александр 27 Ноябрь 2012, 14:57
|
Зачем же Вы тогда пишете о погружном остеосинтезе? Продолжайте лечить в аппарате когда нужно и когда не нужно.
Всего доброго. Пошел учиться :(
|
[
Ответить ]
|
Re: Формирующийся ложный сустав лучевой кости
Отправитель: ИГОРЬ 27 Ноябрь 2012, 22:28
|
Не добивайте кисть АВФ. Только ладонный доступ!!!
|
[
Ответить ]
|
Re: Формирующийся ложный сустав лучевой кости
Отправитель: Мельников В.С. 28 Ноябрь 2012, 11:29
|
В данной ситуации допустимо оба варианта лечения и с применением АВФ и ладонной пластины, выбор зависит от возможностей и навыков хирурга. Пластина то же не панацея для любых ситуаций :)
|
[
Ответить ]
|
|
Re: Формирующийся ложный сустав лучевой кости
Paul 27 Ноябрь 2012, 09:55
|
В любом варианте лечения часть функции у пациента 66 лет будет потеряна. Даже используя пластину "последнего поколения" на стабильную фиксацию можно не надеяться. В данном случае способом лигаментотаксиса в аппарате Илизарова, затем трансфрагментарная фиксация с освобождением кистевого сустава даст наилучший результат.
|
[
Ответить ]
|
Re: Формирующийся ложный сустав лучевой кости
Антон Андрианов 27 Ноябрь 2012, 20:08
|
Уважаемый Николай, хотелось бы знать степень нарушения функции суставов кисти, утеряны ли навыки самообслуживания.
Не знаю позволяют ли Вам держать пациентов весь срок коррекции деформации в стационаре, но мы задавлены стандартами и сроками 10-12 дней. На мой взгляд можно одномоментно исправить лучевую девиацию резекцией сегмента локтевой кости\ по моему описано Kapanji\ с фиксацией пластиной 1\3 трубки. Создавшееся напряжение в линии метафизарного перелома луча поможет его консолидации без костной пластики и металлостеосинтеза. Если бы имелось искривление оси ЛЗ сустава в тыльную или ладонную сторону, извлеченный сегмент локтевой кости можно использовать вставкой при корригирующей кортикотомии луча. Мы это делаем при поступлении пациентов с неправильно сросшимися переломами луча в типичном месте.Срок в стационаре 4-6 дней, функциональная гипсовая шина 4 недели.
|
[
Ответить ]
|
Re: Формирующийся ложный сустав лучевой кости
Отправитель: Николай 27 Ноябрь 2012, 23:19
|
Антон, можно ли подробнее описать методику? Как правильно рассчитать величину резецируемого фрагмента?
|
[
Ответить ]
|
Re: Формирующийся ложный сустав лучевой кости
Отправитель: Мельников В.С. 28 Ноябрь 2012, 11:26
|
Операция Sauve-Kapandji, так же как и операция Darrah, предложенные в первой половине 20 века, применяются только с целью восстановления ротационных движений в дистальном луче-локтевом сочленении у пожилых пациентов с уже сросшимися со смещением переломами дистального эпиметафиза костей предплечья. В случая ограничения функции именно луче-запястного сустава эти операции не принесут ожидаемого эффекта.
|
[
Ответить ]
|
Re: Формирующийся ложный сустав лучевой кости
Отправитель: Антон Андрианов 28 Ноябрь 2012, 18:18
|
Мы для оценки луче-локтевого соотношения делаем снимок контрлатеральной конечности, можно простой оценкой определить объем резекции, можно и схему на кальке сотворить. Главное больше нужного не выбрать.Остеотомию выполняем осциллирующей пилой, можно и остеотомом с предварительным насверливанием тонким сверлом во избежание раскола.Укорочение локтевой кости способно устранить локтевой импинджмент синдром\Ulnar Impaction Syndrome\, который причиняет больше проблем пациенткам, чем косметический дискомфорт.В приложении послеоперационный снимок.
|
[
Ответить ]
|
Re: Формирующийся ложный сустав лучевой кости
Отправитель: Мельников В.С. 29 Ноябрь 2012, 10:35
|
Я извиняюсь, а где здесь операция Sauve-Kapandji? Вы произвели укорочение локтевой кости в сочетании с остеосинтезом пластиной, а не анонсированное Вами создание дефекта локтевой кости с фиксацией головки локтевой кости винтом к лучевой.
отделение хирургии кисти ГБУЗ ГКБ №4 ДЗМ
|
[
Ответить ]
|
Re: Формирующийся ложный сустав лучевой кости
Отправитель: Антон Андрианов 29 Ноябрь 2012, 13:23
|
А разве я назвал эту операцию по Sauve Kapanji, я ее автора не знаю. Читал в одной из статей Kapanji. Но мы ведь не в эрудиции соревнуемся, а хотим помочь коллеге своим опытом.
|
[
Ответить ]
|
Re: Формирующийся ложный сустав лучевой кости
Отправитель: SAGo 03 Декабрь 2012, 00:04
|
Milch H. Cuff resection of the ulna for malunited Colles’fracture. J Bone Joint Surg Am. 1941;23A:311Y313.
|
[
Ответить ]
|
|
Re: Формирующийся ложный сустав лучевой кости
Fedutinov Dmitry 27 Ноябрь 2012, 20:30
|
Уважаемый Николай
Говорить о сформировавшемся ложном суставе действительно рано. Вариантов лечения два
1) Аппарат внешней фиксации
2) остеосинтез пластиной с угловой стабильностью (производитель любой,но только не Рыбинская ЛТМ) из ладонной доступа, но во время операции лучше использовать дистрактор, можно тот же аппарат Илизарова, что значительно облегчит репозицию и проведение остеосинтеза. И не нужно боятся ладонного доступа, если его делать правильно то никакого ятрогенного повреждения срединного нерва, лучевой артерии и сухожилий сгибателей вы не получите. Но при таких давних переломах мы часто рассекаем карпальную связку. При свежем переломе обычно этого не делается
Но, не зависимо от выбранного Вами варианта, у пациентки какое ограничение функции кистевого сустава все же останется. Если вы все таки решитесь на остеосинтез тыльным доступом, то заранее предупредите пациентку о необходимости удаления фиксатора. Иногда сухожилия разгибателей перетираются об установленный фиксатор, чаще всего сухожилие длинного разгибателя 1 пальца.
|
[
Ответить ]
|
Re: Формирующийся ложный сустав лучевой кости
Николай 29 Ноябрь 2012, 01:59
|
Уважаемые коллеги! Спасибо всем откликнувшимся! Мы взвесили все "за" и "против" и решили остановиться на лечениие в аппарате Илизарова.
Резюмируя диаметрально противоположные мнения по данной проблеме, понимаю, что не такой уж и типичный, "луч в типичном месте"
Всем еще раз спасибо!!!
|
[
Ответить ]
|
Re: Формирующийся ложный сустав лучевой кости
Отправитель: Henry 01 Декабрь 2012, 23:08
|
"Убийцы" рук
|
[
Ответить ]
|
Re: Формирующийся ложный сустав лучевой кости
Отправитель: Мельников В.С. 02 Декабрь 2012, 14:20
|
Я Вас разочарую, но пластинами руки " убиваются" не реже......
|
[
Ответить ]
|
|
Re: Формирующийся ложный сустав лучевой кости
Pavel Volykov ЦКБ №1 ОАО РЖД 30 Ноябрь 2012, 00:19
|
Добрый день. Учитывая давность травмы, риск получить с-м Зудека высок даже при медленной дистракции в АВФ или перерастяжение межзапястных суставов. Пластина предпочтительней. В свежем случае конечно передний доступ, но в данном случае необходимо обязательно сделать пластику костного дефекта по задней повехности дмэ лучевой кости, который вы получите после репозиции. Сделать это проще из заднего доступа. Проблем с ним никаких, только аккуратно выделить сухожилие длинного разгибателя 1 пальца, а при ушивании - укрыть его так, чтобы он не терся о пластину. Пластина из переднего доступа без пластики костного дефекта достигнутую репозицию не удержит. Удачи
|
[
Ответить ]
|
Re: Формирующийся ложный сустав лучевой кости
Denis Glukhov 02 Декабрь 2012, 13:07
|
Когда "наиграетесь" - отправьте в УНИИТО г.Екатеринбург травм. отделение ул.Московская 12. Имеется большой положительный опыт лечения подобных и более тяжелых повреждений луча.
P.S. Не мучайте человека аппаратом. Будет только хуже. ИМХО
|
[
Ответить ]
|
Re: Формирующийся ложный сустав лучевой кости
Отправитель: Мельников В.С. 02 Декабрь 2012, 14:17
|
Судя по вашему сообщению опыт у Вас не такой уж и большой и однозначно однобокий!
Отделение хирургии кисти ГБУЗ ГКБ 4 ДЗМ
|
[
Ответить ]
|
Re: Формирующийся ложный сустав лучевой кости
Отправитель: Denis Glukhov 03 Декабрь 2012, 12:40
|
дабы не быть голословным.
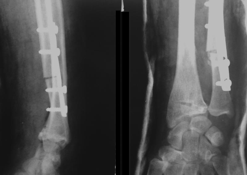
Замещение дефектов НЕ выполнялось. Внешняя иммобилизация НЕ применялась. Полная функция с первых суток после операции. Таких примеров (имеется ввиду несращения и псевдоартрозы)- десятки.

P.S. Дефекты на луче перестал замещать уже давно (не требуется). Аппаратами лечили и иногда лечим ("по бедности")
|
[
Ответить ]
|
Re: Формирующийся ложный сустав лучевой кости
Отправитель: Мельников В.С. 03 Декабрь 2012, 19:17
|
К сожалению функцию по рентгенограммам оценить сложно. Однако если учитывать радио ульнарный индекс, то он перед операцией приблизительно +4 +5 мм ( в связи с тем что не известен масштаб приведенных снимков), после операции похоже на ноль-вариант, а на последних снимках похожи снова +2 +3 мм. Угол наклона суставной поверхности не сильно изменился, радио ульнарный угол стал немного получше. Однако мне кажется , сказалось не то смещение которое было до Вашей операции, а отсутствие адекватное реабилитации. И хотелось ба увидеть оценку функции до и после лечения с помощью опросников DASH, ну или MAYO SCORE....
|
[
Ответить ]
|
Re: Формирующийся ложный сустав лучевой кости
Отправитель: Denis Glukhov 04 Декабрь 2012, 13:47
|
Глубоко уважаемый Мельников В.С.! Оставлю без коментариев Ваши измерения. В данной теме речь идет о несращениях и псевдоартрозах луча и СПОСОБАХ их лечения. Вы ратуете за методики середины прошлого века - ОТЛИЧНО! Лучшая методика - та, которой владеет хирург. То, о чем говорю я - современные (уже не самые) технологии и имплантаты. Тема обсосанная и (по крайней мере для нас) научного интереса не представляет. Правда после прочтения постов в этой теме начал сомневаться ...
P.S. Вместо демагогии покажите результаты своего труда и можно БЕЗ "опросников DASH, ну или MAYO SCORE...."
|
[
Ответить ]
|
Re: Формирующийся ложный сустав лучевой кости
Отправитель: Мельников В.С. 05 Декабрь 2012, 10:02
|
К сожалению функцию оперированной конечности Вы не представили или Вы призываете оценивать функцию по рентгенограммам, выполненным для чего-то в положении сгибания и разгибания в кистевом суставе (кстати не совсем полным, хотя это может быть вариант, но мы об этом не узнаем без сравнения со здоровой конечностью, даже БЕЗ "опросников DASH, ну или MAYO SCORE.....
И кстати рад, что хотя бы для Вас эта тема обсосанная, т.к. посещая различные зарубежные симпозиумы и отслеживая последнюю литературу везде встречаю статьи и доклады по этой "обсосанной" теме, что на мой взгляд свидетельствует о ее неоднозначности. По поводу середины прошлого века - пластины то же не в 21 веке появились....
|
[
Ответить ]
|
Re: Формирующийся ложный сустав лучевой кости
Отправитель: Pavel Volykov ЦКБ №1 ОАО РЖД 04 Декабрь 2012, 20:38
|
Случаи малосравнимые. У ваших Р-граммах имеется большой дистальный отломок лучевой кости и стоит прилично - небольшая лучевая девиация и укорочение. Репозиция простая, фиксация отломка таких размеров легко и надежно выполняется пластиной из волярного доступа. В обсуждаемом примере дистальный отломок очень короткий и хорошей фиксации пластиной из переднего доступа не получится - слишком мало винтов через него пройдет. Учитывая давность травмы и пороз кости, высока вероятность, что винты постепенно прорежутся, отломок просядет. К сожалению я с этим сталкивался. Подчеркиваю, что речь идет о несвежих случаях
|
[
Ответить ]
|
Re: Формирующийся ложный сустав лучевой кости
Отправитель: Мельников В.С. 05 Декабрь 2012, 09:52
|
В представленном примере и произошло оседание дистального отломка, что видно при сравнение радио-ульнарного индекса, даже после действительно хорошей репозиции.
|
[
Ответить ]
|
|
( Ответить )
|
|