вверх
отправить
поиск
админ
главная
|
Hallux Valgus (оперированный) |
 |
 |
 |
Отправлено Maxim Agalakov 28 Ноябрь 2012, 10:07
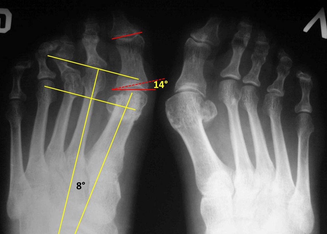
Уважаемые коллеги, обратилась пациентка 55 лет, оперированная около 3-х лет назад в одном из медицинских центров. Операция, видимо, Logroscino справа, похоже, что с аваскуляром головки. Жалоб на первый луч особо не предьявляет, основное беспокойство - молоткообразные 2-3 пальцы, выраженная боль при ходьбе в проекции головок 2-3 плюсневых, омозолелость по подошвенной поверхности. Что на ваш взгляд целесообразно предпринять в данном случае:1.резекция головок с/ф с фиксацией спицей, возможно с Z- пластикой сухожилий разг.? 2. Weil 2-3? 3 резекция головок 2-3 плюсневых? 4. другие комбинации или что-либо другое? 5 нужно ли вмешиваться на первом луче? Сожалею, но других фото в ближайшее время не будетPS Левая стопа недавно оперирована у нас (SCARF), пациентка довольна
<
|
>
|
|
Ответить
|
Re: Hallux Valgus (оперированный)
Бережной Сергей 29 Ноябрь 2012, 15:27
|
- Операция, видимо, Logroscino -
Логрошино вряд ли, она чаще к удлинению 1 плюсневой приводит, а тут укорочение. Чем и объясняется переходная метатарсалгия.

С первой плюсневой тут делать ничего не нужно, первый межплюсневый угол всего 8гр. (основные показатели отмечены схематично на рентгенограмме). Но имеется hallux valgus interphalangeus: угол между дистальной и проксимальной суставными площадками основной фаланги 14гр. Его лучше устранить с помощью остеотомии Akin, чтобы первый палец не мешал стать на место второму. Преобладание длин 2 и 3 плюсневых объясняет перегрузку их головок. 4-я плюсневая даже короче, чем могла бы быть относительно первой (перпендикуляр к оси 2 плюсневой, проведенный через середину латеральной сесамовидной кости, в норме должен пройти через середину головки 4 плюсневой. А он проходит выше). Получается, что вмешиваться нужно на 1 луче (дистальный Akin) и на втором с третьим. Задачи, которые тут нужно решить: укорочение 2 и 3 плюсневых (Weil, фиксированный или нет - на Ваш вкус) и устранение молоткообразной деформации 2-3 пальцев. Если она нефиксированная, то достаточным может оказаться подкожной тенотомии разгибателей на уровне плюснефаланговых суставов. Без всякой Z-пластики. А если деформация фиксированная или полуригидная, тогда на Ваш выбор: остеотомия основных фаланг или (хуже) резекция их оснований. Или еще что-нибудь.
PS. А почему заодно свой Scarf не продемонстрировали? И как решили на левой стопе проблему hallux valgus interphalangeus?
|
[
Ответить ]
|
Re: Hallux Valgus (оперированный)
Отправитель: maxim agalakov 30 Ноябрь 2012, 16:40
|
планировал нечто подобное. Что значит нефиксированный Weil? Резекции головок 2-3 плюсневых не помогут вместо него,( у ревматиков отлично работает)?
|
[
Ответить ]
|
Re: Hallux Valgus (оперированный)
Отправитель: Бережной Сергей 30 Ноябрь 2012, 22:37
|

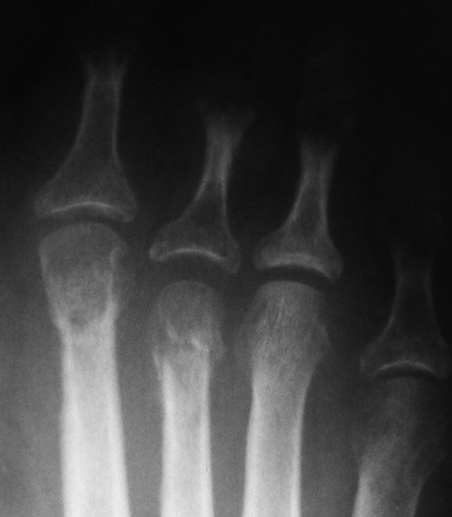
Нефиксированный Вейль значит без фиксации винтами. Заживает по тем же принципам, что и субкапитальные остеотомии в чрескожной хирургии, которые под воздействием ранней нагрузки (обувь с разгрузкой переднего отдела стопы здесь не нужна) находят свое идеальное положение. Только нужно учитывать, что рентгенологическое сращение может больше времени занять и не пугаться этого. На рентгенограммах пример такого Вейля 7-летней давности. Формула, конечно, не соблюдена, но вывихи вправлены без резекций головок.Поскольку уже давно такие операции делаю чрескожно, более свежих примеров нет.
|
[
Ответить ]
|
|
Re: Hallux Valgus (оперированный)
VlaD 29 Ноябрь 2012, 16:47
|
Остеотомия по Weil II-V плюсневых костей с целью гармонизации плюсневой параболы, ручная редрессация контрактур в межфаланговых суставах II-V пальцев, трансартикулярная фиксация спицами (исключая плюснефаланговые суставы) в течение месяца, базальная варизирующая остеотомия основания основной фаланги первого пальца.
С уважением, VlaD.
|
[
Ответить ]
|
Re: Hallux Valgus (оперированный)
Andrey Ragozin 29 Ноябрь 2012, 21:32
|
Как говаривал Генри Форд " Не важно какого цвета машина, главное чтобы новая и черная"
В этом случае основная причина проблем- короткий 1 луч, что перегружает 2-3-4 головки плюсневых костей, поэтому можно удлиннять 1 луч или укорачивать остальные, главное перераспределить нагрузку.
|
[
Ответить ]
|
Re: Hallux Valgus (оперированный)
Отправитель: Бережной Сергей 30 Ноябрь 2012, 11:02
|
Ну зачем же, прикрываясь мнением именитого американца, давать заведомо ошибочные рекомендации? Удлинение 1 плюсневой с высокой степенью вероятности приведет к прогрессированию деформации 1 пальца и развитию тугоподвижности, а затем и артроза первого плюснефалангового сустава. Тем более, что у автора вопроса есть подозрение на асептический некроз головки. А в этом случае - уже случившееся укорочение 1 плюсневой, и, следовательно, декомпрессия 1 плюснефалангового сустава - лучшая защитная мера. Так что, только укорочение латеральных плюсневых. А вот каких - тут есть над чем подумать.
|
[
Ответить ]
|
|
Re: Hallux Valgus (оперированный)
A.Liberson 30 Ноябрь 2012, 11:37
|
Nobody addresses clawing of the first toe, I would try to b sure there is no neurological problem.
The 1 MP looks arthritic on X-rays- are there plantar callosities?
If those two roiled out, I would shorten 2-5 rays. If you try to apply Barouks algorithm or the one of Maestro- obtain standing roentgen and you will find the necessity of such shortening.
Goodluck in this complicated case.
. AL
|
[
Ответить ]
|
Re: Hallux Valgus (оперированный)
Отправитель: maxim agalarov 01 Декабрь 2012, 20:07
|
неврологии нет, подошвенные мозоли только в проекции 2-3
|
[
Ответить ]
|
Re: Hallux Valgus (оперированный)
Отправитель: A.Liberson 05 Декабрь 2012, 22:48
|
Is the 1st toe clawing rigid? The ROM of 1st MP? Is the patient able walking on her heels?
Is everything due to a narrow toe box?
I would shorten, not lengthen.
AL
|
[
Ответить ]
|
Re: Hallux Valgus (оперированный)
Отправитель: Maxim Agalakov 05 Декабрь 2012, 22:50
|
Is the 1st toe clawing rigid?
No, I think she try to reduce the pressure on 2-3 head
The ROM of 1st MP?
Close to normal
Is the patient able walking on her heels?
Yes, she can
Is everything due to a narrow toe box?
I don’t think so
|
[
Ответить ]
|
Re: Hallux Valgus (оперированный)
Отправитель: A.Liberson 05 Декабрь 2012, 22:51
|
Shorten 2-3-4-5. I would fix at least two of them or give a limit with K-w. Barouks shoe. Goodluck. AL
|
[
Ответить ]
|
Re: Hallux Valgus (оперированный)
Отправитель: maxim agalarov 06 Декабрь 2012, 22:30
|
>or give a limit with K-w
-? Can you send me some pictures, surgical technics?
|
[
Ответить ]
|
|
Re: Hallux Valgus (оперированный)
Paul 30 Ноябрь 2012, 14:13
|
Могу добавить, что, по-видимому, асептического некроза головки плюсневой кости нет, а это результат артропластики "в одном из медицинских центров"
|
[
Ответить ]
|
Re: Hallux Valgus (оперированный)
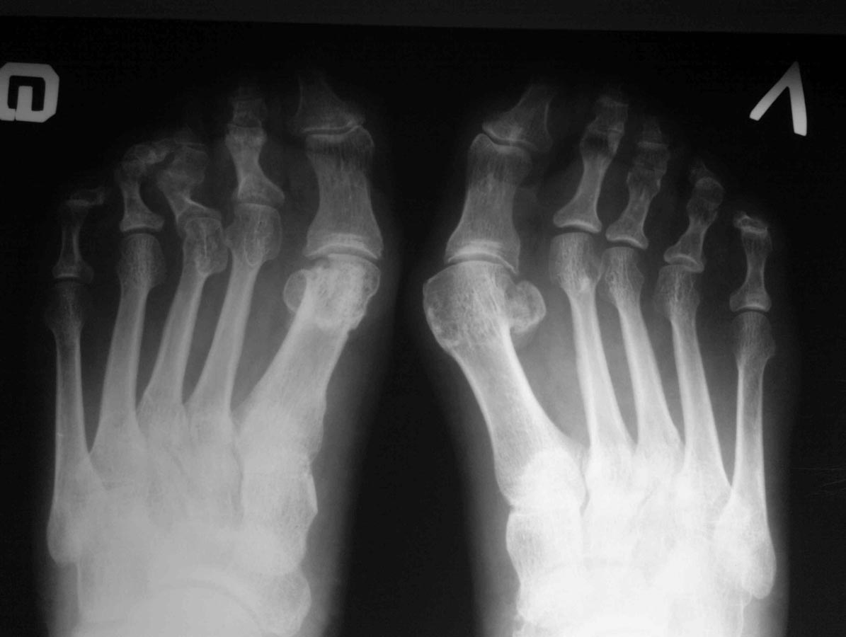
maxim agalakov 14 Декабрь 2012, 11:42
|

Укоротил 2-3, остеотомировал о/ф. Как-то так.
|
[
Ответить ]
|
Re: Hallux Valgus (оперированный)
Отправитель: Бережной Сергей 14 Декабрь 2012, 21:01
|
Очень адекватно. И необычный способ стабилизации 1 пальца. Все-таки после остеотомии Akin вполне достаточно укрепленной пластырем повязки.
|
[
Ответить ]
|
Re: Hallux Valgus (оперированный)
Отправитель: maxim agalakov 15 Декабрь 2012, 18:01
|
>укрепленной пластырем повязки.
- укрепленной пластырем, это как? Стандартную повязку более-менее представляю
>И необычный способ стабилизации 1 пальца
- видимо SERI навеяло, планировал зафиксировать гербертом, но случились проблемы с винтами. Не получается самому перевязывать пациентов, а сестры могут это сделать по своему, показалось, что будет надежней
Спицу планирую убрать, перейти на отводящую шину или повязку с лейкопластырем (если продемонстрируете). В плане нагрузки: ходьба в свободной обуви по мере переносимости или все таки башмаки Барука (доступы небольшие, но все же не чрескожно.
Спасибо за внимание и помощь
|
[
Ответить ]
|
Re: Hallux Valgus (оперированный)
Отправитель: Бережной Сергей 16 Декабрь 2012, 14:14
|
Сестрам смену повязки после операций на стопах никогда не доверял. Убежден, что это врачебная манипуляция. По-крайней мере, первая перевязка. Сам уже в течение 3 лет меняю повязку через 2 недели после операции. Независимо, чрескожной или "открытой". Поэтому, даже при достаточно большом количестве вмешательств, перевязки не в тягость, всего одна. До этого сначала менял раз в неделю, потом - в 10 дней. Пока не убедился, что и раз в две недели достаточно. Иногородним пациентам, которые не могут приехать на перевязку через 2 недели, выдаем распечатку с этапами перевязки (для врача, который будет перевязывать) и по самоклеящемуся эластичному бинту на каждую стопу (не везде они есть). Такая распечатка во вложении. Это стандартный и чаще всего используемый вариант повязки.
 Файл Word, 454 Kb
|
[
Ответить ]
|
Re: Hallux Valgus (оперированный)
Отправитель: Бережной Сергей 16 Декабрь 2012, 14:31
|
Забыл про обувь. Баруки или нет, от величины доступов не зависит. Зависит от того, нужна ли мгновенная нагрузка и уверены ли в стабильной фиксации отдела, которому она не обязательна. Для нефиксированных дистальных остеотомий средних плюсневых нагрузка нужна сразу, поскольку, под ее воздействием они "находят" нужное положение. В этом случае предпочтительнее послеоперационные ботинки (или любая другая обувь) на ровной ригидной подошве, но без разгрузки переднего отдела. Если же уверены, что цель остеотомии достигнута уже во время операции, то можно и Баруки. Это всегда беспроигрышный вариант.
|
[
Ответить ]
|
|
( Ответить )
|
|