AOTRAUMA.ORG Центр Илизарова  

Ортопедия и травматология Общие вопросы/General questions Help Информационные технологии в медицине
 ВХОД ДЛЯ ПАЦИЕНТОВ
 вверх
 поиск
 админ
 главная


Осложнение после БИОС
Ортопедия и травматология Прислано Абдурашид 21 Май 2013, 00:13
из
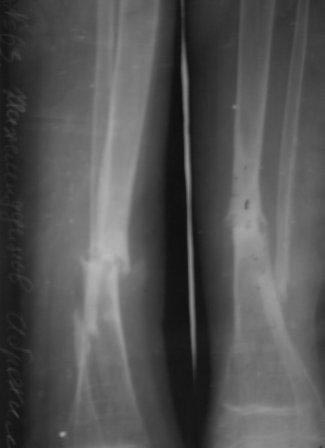
Уважаемые коллеги! помогите советом! Мальчик 2000 г.р. В 2007г получил перелом н/з костей правой голени,
в районе лечили гипсом 6 месяцев, сращения нет, в обл.центре КДО аппаратом Илизарова - 3 месяца, после повторная деформация, в НИИТО КДО аппаратом Илизарова -7 месяцев, перелом якобы сросся, но после снятия аппарата через 2 недели после незначительной травмы повторный перелом. И родители начали лечиться у различных табибов и знахарей, мальчик не наступал, ходил с двумя костылями, одели различные ортезы и повязки, и нога сильно атрофировалась.(Мне кажется у ребенка был врожд. ложный сустав, латентная форма) , и в 2011 г, в октябре обратились к нам. , было произведена после рассверливания канала БИОС плечевым стержнем,но стержень пошел по мед.стенке дистального отломка поэтому остался некоторый вальгус(операция без ЭОП) ребенок через неделю начал самостоятельно ходить, клинически деформации нет, все обрадовались, выписали, повторно приехали только ч-з 1,5 года вот с такой деформацией, но ребенок ходит в школу, бегает, незначительно хромает, родители требуют исправить деформацию.
Пока в голове один план: удалить стержень, закрытая остеоклазия, аппарат Илизарова из двух колец постепенная коррекция деформации, рассверливание к/м канала, БИОС плечевым стержнем (чуть длиннее), дистально по латеральному кортексу с использованием поллерных винтов и спиц.
С уважением Абдурашид.

Послать ответ

Имя
Email
Уведомление Сообщить мне по e-mail об ответах на это сообщение
Название
Комментарий
(Проверьте URL! Не забудьте написать http://!)
Кодировка
Если не знаете, что выбрать, выберите "Просто текст"!
Приложение
Можно приложить к сообщению файл c изображением, который затем будет доступен увидевшим сообщение.
Подготовка иллюстраций:
  • Рентгенограммы: черно-белые полутоновые изображения в формате JPEG (8 bit, greyscale) с разрешением от 300х200 до 1024х768 пикселов;
  • Клинические фотографии: полноцветные изображения в формате JPEG (24 bit, truecolor) с разрешением от 300х200 до 1024х768 пикселов;
  • Схемы и рисунки: черно-белые (2 bit) штриховые (line-art) изображения в формате GIF или compressed TIFF
  • Подберите степень сжатия файла JPEG и размер изображения таким образом, чтобы необходимые детали были различимы, но размер файла не превышал 75 кб.
  • Учтите, что текущая версия программного обеспечения Форума позволяет приложить к одному сообщению лишь один файл-вложение. Поэтому, если необходимо отправить несколько изображений, можно либо послать каждое как отдельное сообщение, либо в графическом редакторе объединить изображения в одно (сделать коллаж).
  • Если при подготовке изображений встречаются трудности, не стесняйтесь обратиться к координатору Форума.

  • Введите видимые символы в обратном порядке. Enter the above characters in reverse order (*Обязательно)
    В тексте сообщения можно использовать теги HTML <B> <I> <P> <A> <LI> <OL> <UL> <EM> <BR> <TT> <HR> <STRONG> <BLOCKQUOTE> <DIV .*> <DIV> <P .*>
  • Обратите внимание: Поля с жирными названиями обязательны.
  • Старайтесь отвечать в рамках обсуждаемой темы, а не начинать новые обсуждения.
  • Указывайте адекватную тему сообщения, чтобы было ясно, о чем оно.
  • Не послайте сообщений не по теме (оффтопик), раздраженных, грубых или обидных комментариев. Здесь это неуместно.
  • Powered by Zope  Squishdot Powered MedLink
    Посетитель: 0312831
      "По форме правильно, а по существу - издевательство" В.И.Ленин
    ©2001-2019Orthoforum Coordinator.
    [ Главная | Отправить сообщение | Поиск | Админ ]