вверх
отправить
поиск
админ
главная
|
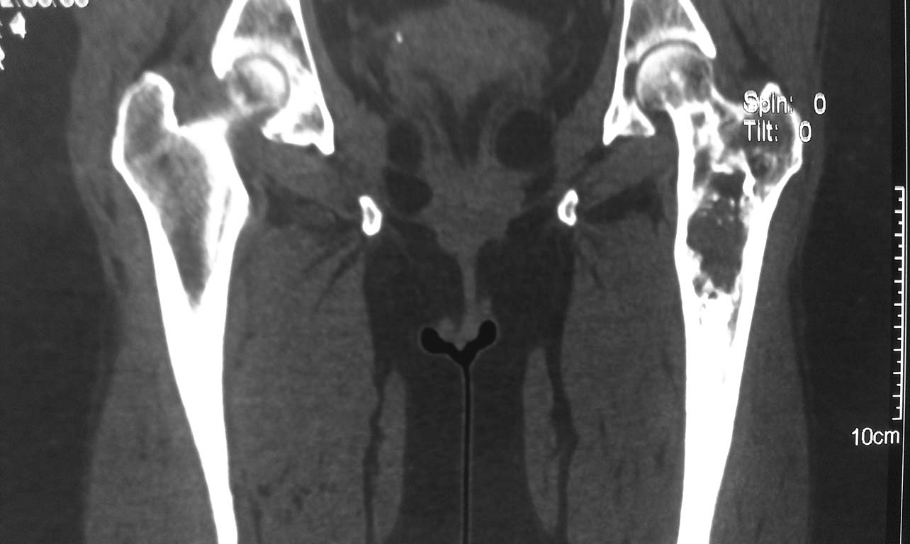
Фиброзная дисплазия проксимального отдела бедренной кости. |
 |
 |
 |
Отправлено Ерсин У. 17 Сентябрь 2013, 16:44
Пациентка 1952 г.р. (61 г.), поступила с жалобами на непостоянные боли в области левого тазобедренного сустава, верхней трети бедра и суставов конечностей. Anamnesis morbi: Со слов пациентки болеет в течении 2,5лет, когда появились боли в бедре и крупных суставах. Об-но: по внутренним органам без особенностей. Пальпаторно отмечается болезненность в проекции верхней – средней трети левой бедренной кости. 04.09.13г 1-м этапом произведена: Операционная биопсия из проксимального отдела левой бедренной кости. Заключение патолого - гистологического исследования: Дегенеративное поражение костной ткани с замещением незрелой фиброзной тканью. В анализах в пределах нормы. Планируем: Резекцию проксимального отдела левой бедренной кости. Тотальное цементное эндопротезирование левого тазобедренного сустава модульным имплантом. Хотелось бы услышать Ваше мнение по тактике и методам оперативного лечения.
<
|
>
|
|
Ответить
|
Re: Фиброзная дисплазия проксимального отдела бедренной кости.
Evgueny Tchekashkine 19 Сентябрь 2013, 00:34
|
Dr. Ersin,
Nadeus, chto statiay v prilozhenii pomozhet vam prinyat optimalnoe reshenie.
 DiCaprio.FibrousDysplasia.Pathophysiology, Evaluation, andTreatment.2005.pdf (780КБ)
Uspehov,
Dr.Tchekashkine
|
[
Ответить ]
|
Re: Фиброзная дисплазия проксимального отдела бедренной кости.
Отправитель: Ersin 19 Сентябрь 2013, 00:36
|
Bolshoe spasibo za otklik! Udachi!
|
[
Ответить ]
|
Re: Фиброзная дисплазия проксимального отдела бедренной кости.
Отправитель: Evgueny Tchekashkine 19 Сентябрь 2013, 00:37
|
Poka gistolog ne dast zakluchenie o malignizatsii processa proximalnaya resectiya bedra viglaydit slishkom radikalno, esli bisfosphonati ne snumaut bolei i Rg v dinamike demonstriruet prodolzhenie kostnoi destruktsii, to mozhno dumat' o curettage iz *open door * dostupa k i/m kanalu, kostnoi plastike obrazovavshegosya defecta i armirivaniya bedra recon.nail, a kostnii fragment fiksirovat cerclajem.
interesno bilo bi uznat o resultate i progresse sostoyaniya bolnoi.
PS Vi ne utochnili kakoi tip biopsii primenyalsya : punktsionnii ili incisional - veroyatnost' lozhno otritsatelnih resultatov menyatsa sootvetstvenno
Uspehov ,
Evgueny Tchekashkine
|
[
Ответить ]
|
Re: Фиброзная дисплазия проксимального отдела бедренной кости.
Отправитель: Ерсин У. 19 Сентябрь 2013, 09:46
|
Биопсия была открытой.
|
[
Ответить ]
|
Re: Фиброзная дисплазия проксимального отдела бедренной кости.
Отправитель: Ерсин У. 19 Сентябрь 2013, 09:47
|
Планируется произвести ПЭТ сканирование.
|
[
Ответить ]
|
Re: Фиброзная дисплазия проксимального отдела бедренной кости.
Отправитель: Evgueny Tchekashkine 20 Сентябрь 2013, 11:14
|
naskolko specifichen FDG PET/CT scan pri opredelenii malignizatsii...?. po raznim avtoram do 75 % lozhno polozhitelnie rezultati i ne tolko v sluchayah s fibroznoi dysplaziei, no nakaplivaut FDG i perelomi, chto logichno ozhidat v lubom aktivnom processe, soprovozhdauschisya povishennim
potrebleniem glucozi.
interesno uvidet scani.
uspehov,
E.Tchekashkine
|
[
Ответить ]
|
|
Re: Фиброзная дисплазия проксимального отдела бедренной кости.
Батал Шушания 23 Сентябрь 2013, 01:20
|
Уважаемый доктор Ерсин, что Вас заставляет идти на столь радикальные методы лечения, как резекция части кости, при фиброзно-кистозной дисплазии бедренной кости. Чтобы идти на столь радикальный метод хирургического лечения, нужно иметь весомые доказательства о мальгинизации пораженного участки кости, коих нет пока у Вас. Вы можете однозначно утверждать, что болевой синдром у пациентки связан именно с выявленной фиброзной дисплазией? Я бы лично что бы сделал? Конечно выполнил бы трепанбиопсию, за одно создав дефект стенки кисты, чтобы снизить давление внутри полости выявленной кисты. При отсутствии, по результатам гистологического исследования, злокачественности процесса в кости, я просто наблюдал бы. Потому что, у данной пациентки пока, из представленных снимков, не вижу угрозы перелома. Возможно, после "разгерметизации" кисты, дальнейшая резорбция кости прекратится. Пока рано обрекать пациентку на эндопротез, тем более, на такой, который Вы предлагаете.
|
[
Ответить ]
|
Re: Фиброзная дисплазия проксимального отдела бедренной кости.
Отправитель: Michael 23 Сентябрь 2013, 11:59
|
Согласен с Баталом. В 61 год ставить цементник при невыясненных причинах, какое-то, мягко говоря, незрелое решение.
|
[
Ответить ]
|
Re: Фиброзная дисплазия проксимального отдела бедренной кости.
Отправитель: Sergiy Nesterenko 16 Ноябрь 2013, 18:46
|
Согласен, что делать резекцию - слишком радикально.
Но проблема в данном случае в том, что полость находится месте с высоким стрессом и риском перелома.
Я бы делал кюретаж образования и профилактическую фиксацию цефаломедуллярным стержнем (гамма или что-то подобное).
Следующий вопрос: чам заместить полость: любая кость, и ауто- и (в меньшей степени) алло- в условиях фиброзной дисплазии может резорбироваться. Варианты из литературы: кортикальный аллографт, цемент. Но тут нужно литературу посмотреть еще.
|
[
Ответить ]
|
|
( Ответить )
|
|