Ответить
|
Re: Рефрактура надколенника
Александр Петрушин 04 Октябрь 2013, 16:31
|
Я бы просто удалил нижний отломок
|
[
Ответить ]
|
Re: Рефрактура надколенника
Отправитель: Савранский Александр 05 Октябрь 2013, 02:21
|
Нижний отломок здесь слишком крупный для удаления. Может быть Вы имели в виду верхний, но к нему крепится сухожилие четырехглавой мышцы, а кость к кости прирастает лучше, чем сухожилие к кости.
|
[
Ответить ]
|
|
Re: Рефрактура надколенника
Савранский Александр 05 Октябрь 2013, 02:18
|
Здравствуйте! Мало информации, непонятно даже когда была последняя операция, это раз. Затем непонятно почему такие длинные концы спиц оставлены - будут мешать разработке. Если не ошибаюсь когда-то Джолдас выкладывал как они лечат в Сент-Луисе. Вместо проволоки и спиц через 4 туннеля проводят Этибонд №4 или №5 и стягивают. Реабилитация почти сразу. Я так понимаю, что на сегодня контрактура уже есть, поэтому надо разрабатывать. Смысл операции в стабильном остеосинтезе и ранней реабилитации. А получить сращение и тугоподвижный сустав это не есть хороший результат.
|
[
Ответить ]
|
Re: Рефрактура надколенника
Игорь Шведовченко 05 Октябрь 2013, 02:21
|
Коллега, в ортопедии нет понятия "верхний и нижний" Не придираюсь, просто хочется разговаривать на одном языке- проксимальный и дистальный, краниальный и каудальный и прочее,,,
Ведь с этого начинается то, что называется ортопедическая культура. Извините, если обидел и не по сути вопроса!
|
[
Ответить ]
|
Re: Рефрактура надколенника
Отправитель: Савранский Александр 05 Октябрь 2013, 13:42
|
Здравствуйте! Не совсем согласен с Вами. Понятия верхний и нижний в ортопедии имеют место.Например- верхняя и нижняя конечности. К вопросу об ортопедической культуре, применительно к данному случаю и данному рентгенснимку вполне применимо название проксимального отломка верхним, а дистального нижним для удобства восприятия. Хотя академичность страдает, это да...
|
[
Ответить ]
|
|
Re: Рефрактура надколенника
александр ерохин 05 Октябрь 2013, 03:35
|
Трудно прогнозировать,похоже уже ложный сустав образовался.Недавно была женщина с подобной картинкой.Ходить может,но скрипит,есть боль,формирует активно себе феморопателлярный артроз. Стабильность есть,ложный сустав тугой,отломки держит.Поскольку еще не старая,то кандидат лет через 6-10,если не раньше, на эндопротез,поскольку на данный момент оперироваться повторно отказывается.*можно понять,также уже дважды оперирована*
Я всяко чинил надколенники, наиболее стабильный способ операция болтом-стяжкой, той,что для синдесмоза была придумана.Просто,надежно,рецидивов пока не наблюдал.
|
[
Ответить ]
|
Re: Рефрактура надколенника
Олег 05 Октябрь 2013, 13:23
|
Прошу прощения у коллег, так как писал "на скорую руку" с чужого компьютера
Выкдадываю новые снимки

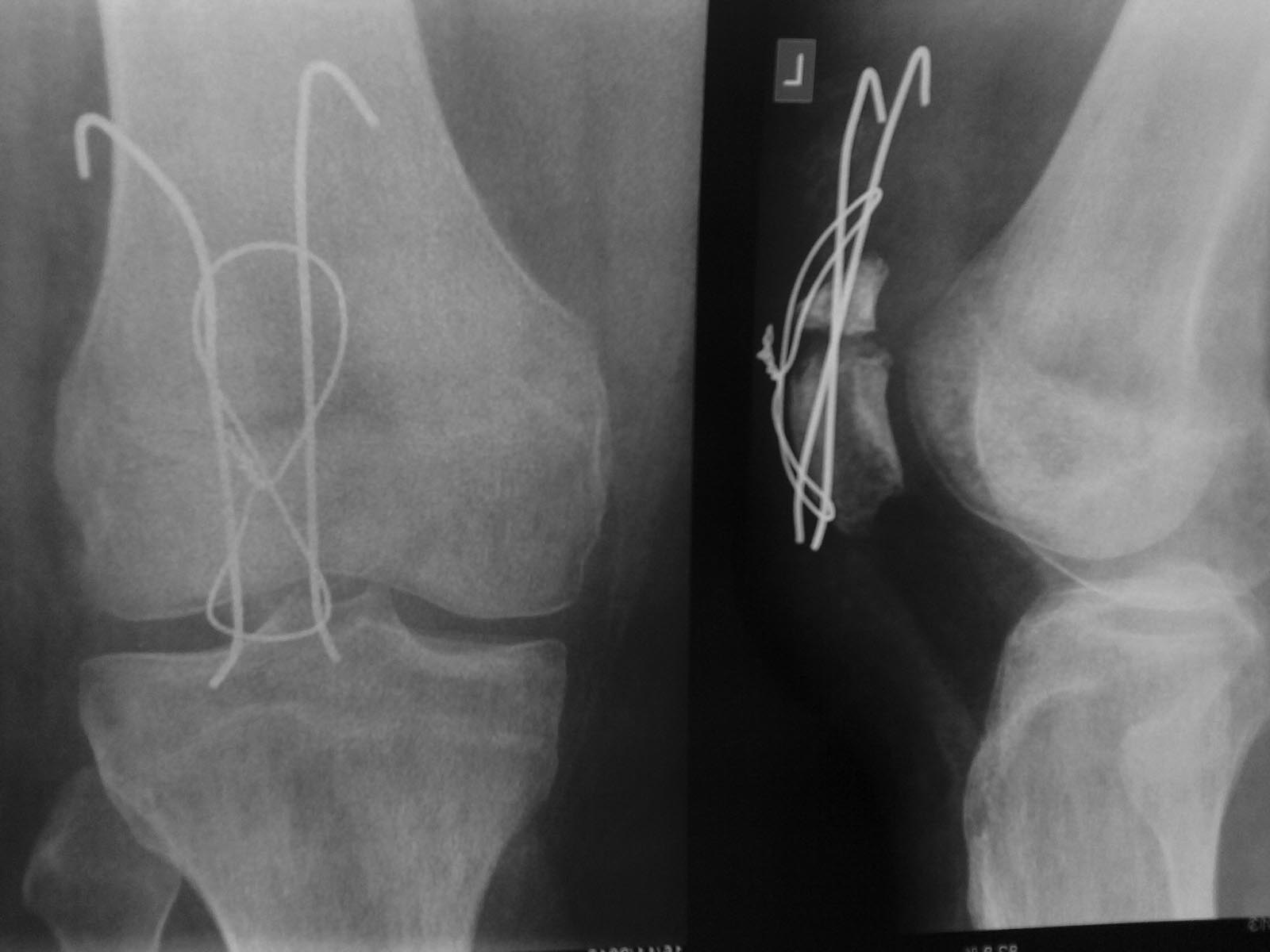
Хочу отметить, что перелом на уровне верхнего (проксимального) полюса (первое фото просто вводит в заблуждение)
Концы спиц при первой операции были оставлены достаточно длинными с проксимальной стороны, собственно при втором МОСе там образовался такой "конгломерат" соединительной ткани, что разрушать его для того, чтобы откусить ближе к кости не было желания, хотя про реабилитацию подумал
Контрактура есть разгибательная, но после снятия ортеза (до синтеза еще) под наркозом смог согнуть колено свободно до 90 градусов
В МОСе не очень уверен (при пробе сгибания интраопериционно лопала проволока трижды), поэтому лечу в ортезе
Вот сколько лечить, чтобы не "залечить до контрактуры" и не нарушить МОС, не знаю
Спасибо за полезные советы
|
[
Ответить ]
|
Re: Рефрактура надколенника
Савранский Александр 05 Октябрь 2013, 22:04
|
По-поводу снимков - первый остеосинтез выглядит посимпатичней. Непонятно почему через 3 месяца удален металл, считаю это серьезной тактической ошибкой, надо не ранее, чем через год, ибо нагрузки здесь весьма большие. При повторной операции адаптация отломков похуже - есть ступенька. При первичном остеосинтезе и отсутствии контрактуры возможна иммобилизация до 5-6 недель. При повторном остеосинтезе и наличии контрактуры разрабатывать надо почти сразу. Если проволока подведет надо быть готовым к повторной операции и выбрать фиксацию понадежней.
|
[
Ответить ]
|
Re: Рефрактура надколенника
Дмитрий 07 Октябрь 2013, 14:57
|
На рентгенограммах открываются изумительные виды из Вашего окна, но сустав практически не виден. Всё-таки следует рассматривать сустав целиком, а не только крупное изображение надколенника.
В данный момент требуется разработка сустава без ожидания рентгенологических признаков сращения. И, мне кажестся, следовало мобилизовать сухожилие четырехглавой мышцы.
|
[
Ответить ]
|
Re: Рефрактура надколенника
Андрей Кияночкин 07 Октябрь 2013, 21:18
|
скорее всего при ранней разработке ничего не получиться - отломки наверняка разойдуться(на проксимальном отломке петля не лежит на кости,и вот на такое же растояние и разойдуться)Но учитывая мнениие большинства вы начните разработку и через недельку сделайте контроль.Потом во всех бедах обвините тактично жирного больного(ну как кролик винипуха).Вот тут-то можно вспомнить Гавриила Абрамовича Илизарова и его методику закрытого чрезкостного остеосинтеза.Удачи!
|
[
Ответить ]
|
Re: Рефрактура надколенника
Отправитель: Олег Шепета 08 Октябрь 2013, 20:37
|
По поводу проволоки - так и не смог ее положить ближе к кости (с проксимальной стороны) - поэтому и боюсь рекомендовать раннюю реабилитацию, так как отломки могут разойтись. С другой стороны проволоку ложил максимально близко к кости, но скальпель не позволил отделить ткани возле проксимального отломка (настолько они были склерозированы, что посчитал их непосредственно костью - по мне произошло это из-за изменения тканей ввиду длинных концов спиц, оставленных при первой операции)
Именно поэтому технически оставлены не до конца обкуманными спицы и не проведена ближе к кости проволока
Но в ортезе собираюсь подержать не менее месяца (чтобы хоть что-то сраслось)
|
[
Ответить ]
|
Re: Рефрактура надколенника
Отправитель: А.П.Ким 09 Октябрь 2013, 16:32
|
Дорогой коллега. Не надо ждать чуда. Продолжается миграция спиц, концы спиц препятствуют разработке, проволочная петля соскочит или порвется. Планируйте повторный остеосинтез. У мужчин при переломах надколенника используйте двойную (1мм) проволочную петлю. При необходимости можно фиксировать 2 петлями (восьмерка и рамка).При компрессии - используйте остроконечные костодержатели. В данном случае на первом месте стоит задача восстановить движения в коленном суставе.( лучше несращение кости, чем стойкая контрактура)
|
[
Ответить ]
|
|
Re: Рефрактура надколенника
Артем Беспаленко 27 Октябрь 2013, 03:08
|
я б не судил только по боковой проекции, как минимум нужна еще прямая. как минимум...
сложно судить, но в плане п/о лечения: нагрузка полная, сгибание до 30 градусов - 3 недели, далее более... больше сказать можно, имея 3 проекции или КТ.
|
[
Ответить ]
|
Re: Рефрактура надколенника
каха 01 Ноябрь 2013, 21:12
|
если и идти на реостеосинтез , то только крабом( пателярный крючок)
|
[
Ответить ]
|
Re: Рефрактура надколенника
Отправитель: олег 14 Ноябрь 2013, 12:45
|
что за краб (пателярный крючок) - никогда не слышал о таком
в даном случае технически (если на контрольном осмотре будет стоять вопрос о реМОСе) хочу подготовиться, так как по Веберу повторно делать нет смысла из-за вышеописанных нюансов
|
[
Ответить ]
|
|
Re: Рефрактура надколенника
олег шепета 15 Ноябрь 2013, 16:13
|

повторный осмотр, как и говорил, через 6 недель после операции, выполнено 3 сеанса ударно-волновой терапии, ходил в ортезе на костылях, снимая его только для сознательного сгибания в коленном суставе по 150-180 раз на день)
сгибание до 90 градусов (с небольшим дискомфортом в области сухожилия квадрицепса)
пальпаторно при сильном надавливании на надколенник с небольшим сгибанием болевых ощущений нет (небольшой дискомфорт) - не знаю, как иначе проверить нестабильность сегмента
выполнен рентген-контроль, по которому можно ориентироваться на дальнейшую тактику - действительно реМОС (правда уже технически не знаю как и чем) или продолжение предыдущего режима
Поделитесь мнениями и опытом
|
[
Ответить ]
|
Re: Рефрактура надколенника
Олег Шепета 16 Ноябрь 2013, 18:37
|
Насколько логичным будет продолжить УВТ, ввести в место перелома Коллапан-гель???
|
[
Ответить ]
|
Re: Рефрактура надколенника
Олег Шепета 17 Ноябрь 2013, 20:10
|
То ли рассылка не до конца работает, то ли меня игнорируют
Пересмотрите, пожалуйста, ситуацию
Поделитесь идеями
Спасибо
|
[
Ответить ]
|
Re: Рефрактура надколенника
Отправитель: Alexander Chelnokov 19 Ноябрь 2013, 18:32
|
Дорогой коллега, А.П.Ким ответил вполне исчерпывающе еще 9.10.2013. Необходимы действия, реостеосинтез, а не продолжение наблюдения с периодическими вскриками "Что же делать, все стало еще хуже?".
|
[
Ответить ]
|
|
Re: Рефрактура надколенника
Олег Шепета 24 Апрель 2014, 21:28
|
Хочу поделиться результатами наблюдения пациента в динамике...
Несмотря на общее мнение о реМОСе побоялся его делать ввиду того, что сомневался (и сейчас сомневаюсь) в том, что сделал (сделаю) лучше
Приблизительно через месяц после остеосинтеза
25.11.2013 под УЗИ контролем в область перелома введен "Коллапан" и PRP
Этапный курс УВТ №8 1 раз в неделю
В декабре 2013 КТ-контроль, до того времени ограничение комбинации осевой и физической нагрузки
http://yadi.sk/d/JXGR_CoXN9vVk (небольшая консолидация)
После реабилитация без наблюдения
Обратился на днях с дискомфортом в области медиальной поверхности надколенника
Сделан КТ-контроль
http://yadi.sk/d/HiQ7iISoN9iVt (консолидация приблизительно по половине площади стыка отломков, остальная часть - фиброзное сращение, свободный фрагмент по медиальной поверхности на уровне перелома (видимо, часть "Коллапана"))
Сгибание на данный момент до 110 градусов (но это условие я ставил сам ввиду большого веса и отсутствия необходимости активной реабилитации), разгибание полное
Даны рекомендации по повторному курсу УВТ и более активной реабилитации
|
[
Ответить ]
|
Re: Рефрактура надколенника
Олег Шепета 17 Апрель 2015, 11:00
|
Отдаленные результаты лечения представлены в архиве (этапные рентгены на этапе первичного синтеза, удаления фиксаторов, реМОС, этапные КТ)
https://yadi.sk/d/qCEHbu5Yg3x39
Перелом сросся, разгибательная контрактура с дефицитом сгибания до 10 градусов по сравнению с здоровой стороной (не может полностью присесть на корточки), что считаю хорошим результатом.
О удалении фиксаторов пока "думает"
|
[
Ответить ]
|
( Ответить )
|