ВХОД ДЛЯ ПАЦИЕНТОВ
вверх
поиск
админ
главная
|
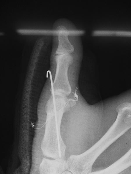
Для чего проволока в пальце? |
 |
 |
 |
Прислано Евгений 27 Ноябрь 2013, 15:24
из 68ГКБ
Уважаемые коллеги!!! Помогите разобраться!!! В отделение поступил пациент, которого оперировали в Тайланде 11 ноября 2013г. Травма получена в результате падения с опорой на кисть.
Со слов пациента оперирован по поводу вывиха в пястно-фалангового сустава, вывих закрытый, без повреждения сухожилий (первичных снимков нет). Сделали вот такой остеосинтез (см. фото). Не можем понять для чего проволока??? Пациенту рекомендовали тайландскиие врачи удалить проволоку через 2 месяца со дня операции, проволока выведена на кожу с 2-х сторон.
Обратите внимание: Поля с жирными названиями обязательны.
Старайтесь отвечать в рамках обсуждаемой темы, а не начинать новые обсуждения.
Указывайте адекватную тему сообщения, чтобы было ясно, о чем оно.
Не послайте сообщений не по теме (оффтопик), раздраженных, грубых или обидных комментариев. Здесь это неуместно.
|