Ответить
|
Re: Политравма
Alexander Chelnokov 12 Декабрь 2013, 18:58
|
Приветствую!
Как правильно лечить перипротезные переломы, конечно, коллеги из ортопедической клиники С-Луисского университета уже знают ;-) Из чего только гвоздь сделать? В России с этим проще.
|
[
Ответить ]
|
Re: Политравма
Отправитель: Alexey Semenisty 15 Декабрь 2013, 18:04
|
Если бы не гемодиализ, предложил бы Джолдасу перевести больного к нам…… Гвоздь для перипротезного перелома был бы готов через 3-4 дня)…. Непростой пациент, даже если бы с почками все было ,s нормально… Кости у них "сахарные".
Джолдас, что сделали? (я уверен, что к моменту написания поста, все уже было сделано)). Неужели custom-made гвоздь в перипротезный перелом забили?
Кстати, в самой последней АО книге по перипротезным переломам есть раздел, посвященный фиксации перипротезных переломов custom-made гвоздями
|
[
Ответить ]
|
|
Re: Политравма
Дедок Михаил 13 Декабрь 2013, 02:47
|
Как врач травмацентра 2 уровня (маааленькая ЦРБ) отвечаю:
1. Стабилизировать переломы скелетным вытяжением (если стержневыми аппаратами то это очень круто и не всегда возможно, а если возможно, надо продумать как из возвернуть их обратно - см. пункт 2).
2. Вызвать "санавиацию" (то есть консультантов из области) на себя и постараться "сосватать" его в травмацентр 1 уровня (то есть областную больницу), где есть гемодиализ, а там спокойно оперировать. ( А то помрет не дождавшись...)
3. А вообще то- одно бедро штифт, другое ревизия на длинной ножке, плечо ORIF.
Как то так...
И вообще в нашей стране самое дешевое это жизнь человека..
4. Уточните условия задачи- уровень оказания помощи :))- маааленькая РБ или СКЛИФ.. ?
|
[
Ответить ]
|
Re: Политравма
Отправитель: Anton Kovalenko 13 Декабрь 2013, 16:19
|
ответ на 4 вопрос: Травмоцентр первого уровня при университетской клинике в США.)
|
[
Ответить ]
|
Re: Политравма
Отправитель: Alexey Semenisty 13 Декабрь 2013, 16:27
|
Михаил, очевидно, что дело происходит в маленькой университетской больничке в Сент-Луисе...
|
[
Ответить ]
|
|
Re: Политравма
Савранский Александр 14 Декабрь 2013, 00:15
|
Здравствуйте! Не увидел в исходных данных оценки тяжести состояния пострадавшего, цифр гемоглобина и консультации нефролога. Без четкого видения клинической картины у такого сложного пациента обойтись нельзя. При поступлении думаю излишняя агрессия опасна. Наложение наружных фиксаторов максимум. После стабилизации состояния, анализов, консультаций начал бы с внутрисуставного перелома плеча. спустя несколько дней при нормальной клинической картине ретроградный остеосинтез стержнем перелома правого бедра. Опять же через несколько дней решение вопроса с левым бедром- ретроградный остеосинтез спецстержнем по Челнокову или некоторые фирмы сейчас предлагают серкляжные пластины под перипротезные переломы. Ну где-то так.
|
[
Ответить ]
|
Re: Политравма
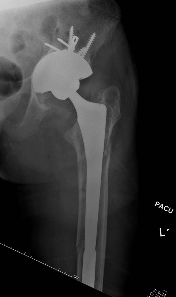
Djoldas Kuldjanov, M.D. 15 Декабрь 2013, 12:07
|
>"цифр гемоглобина и консультации нефролога”
Цифры гемоглобина были низкими - около 7.5, но вовремя смогли коррегировать. Не было нужды консультации нефролога, потому что он постоянный клиент и по их протоколу продолжается гемодиализ...
Вызвать "санавиацию" (то есть консультантов из области) на себя и постараться "сосватать" его в травмоцентр 1 уровня (то есть областную больницу), где есть гемодиализ, а там спокойно оперировать. (А то помрет не дождавшись...)
Все таки конец года, ошибка заказа на фиксирующий материал в начале года дает о себе знать. До конца года осталось всего пара пластин и квоты на ВМП давно исчерпаны. Но смог пролоббировать интерес, переговорил с главным врачом. Обещает на будущий год увеличить обьем покупки гвоздей на 10 штук. За это представитель обещает всвозить на продвинутый АО курс Семенистого.
Для решения вопроса, как посоветовали коллеги, начали с консультации. Попытались связаться близкими центрами. Киргизы были заняты, не то вступлением в Евросоюз или очередным проведением Евро-Азиатского конгресса. А у родственников казахов точно такая ситуация, как в Америке, остался “неликвид” из коротких пластин для детей. Узбеки попросили гонорар миллион сумов, но наш Обакэр принял решение только на пол миллиона долларов. Не поняли курс доллара к их валюте, который впоследствии оказался около 350 долларов, и перевод не состоялся. Украинцев не стали беспокоить, все, включая ортопедов, заняты, тянуть аркан “запад на восток”. Не стали обращаться к прибалтам, потому что, минуя Европу, не получится, вдруг не поймут. Склиф дал понять, что для получения разрешение на лечение иностранцам нужна регистрация в департаменте местной иммиграции и предварительно прислать свой ЭОП. Владивосток не входил в наш интерес, хотя могли рассчитывать на везение...
До остальных коллег не смогли дозвонится. Туркмены ушли в нейтралитет, отключились. В горах Таджикистана снег. Белорусам звонок из штатов не прошел, а Закавказские коллеги обещают всякую поддержку в консультациях.
Обратились главному специалисту по перипротезным переломам Челнокову в Екатеренбург. Его нашли в одной из северных стран. Лукративные (lucrative) условия, вид на жительство в Америку не принял, а насчет Европы - сказал, что они давно живут в Европе, и скоро Европа присоединится к России. А гонорар просил передать на острове, где сейчас живет Полонский. До конца года он запланировал лечить еще 28 перипротезных переломов в 35 странах. На будущий год его график расписан, что возможно наша очередь подойдет в Марте во время ААОС. И еще одно условие, что мы должны забрать его из Йошкар-олы с его персональным ЭОП и рентген техником только прямым рейсом. Наш госдеп обещает решить проблему прямых рейсов и возможно скоро, на саммите глав государств.
Сам больной настроен на поездку и одноразовую визу, обещает, решил остаться до конца лечения, начал изучать язык... Для облегчения транспортировки на второй день после поступления правая сторона была фиксирована ретроградным гвоздем.
Теперь по серьезному. Учитывая качество кости и низкий гемоглобин, периодический гемодиализ и воодушевленный результатом выступлении Челнокова, вместо пластины решил попробовать гвоздь. Но жесткие FDА условии не позволяют воспользоваться дивайсом до получения разрешения на пользование.
Наши операционные оснащены разными сверхскоростными алмазными и другими режущими инструментами типа Midas Rex. Но моя двухдневная ручная работа не дала результатов, и выемка для протеза получился неглубокой. Помогла смекалка, за бутылку наш русский токарь исправил глубину за пять минут. Гвоздь из ретроградного гвоздя DePuy в 15 мм получился немного тоньше, чем у Российских коллег.
Операция не обошлась без казуса, при подготовке гвоздя произошла ошибка в расчете. Пришлось коррегигировать по ходу операции, где длинный дистальный отдел гвоздя срезали во время операции.
А так вроде первый американский опыт прошел удачно. У больного низкий гемоглобин, который подправили во время операции переливанием крови.

Через пару дней операция на дистальном плече. У него, кроме переломов бедра, имеется перелом позвонков, и нагрузку на конечность в ближайщее время не планируем. Для тонуса мышц бедра назначил электростимуляцию, надеюсь, контрагированные мышцы сохранит длину конечности. Контрольный снимок показал устойчивую фиксацию.
|
[
Ответить ]
|
Re: Политравма
Отправитель: Alexander Chelnokov 15 Декабрь 2013, 22:31
|
Да, выглядит все неплохо, поздравляю! И протез на месте сейчас, не просевший. А как длину бедра восстанавливали? Какую-то тракцию использовали? Молодцы. Добро пожаловать в клуб :-)
И все остальное замечательно сделали. Надо будет follow-up хорошо задокументировать.
|
[
Ответить ]
|
Re: Политравма
Отправитель: Батал Шушания 15 Декабрь 2013, 22:40
|
Handmade:))) Джолдас, поздравляю!!! Вы опять на высоте. Больше у меня слов нет!!!!
|
[
Ответить ]
|
Re: Политравма
Отправитель: Anton Bekhterev 16 Декабрь 2013, 19:48
|
Спасибо за интересный случай. Отличная презентация. Не было ли желания использовать цемент для дополнительной фиксации гвоздя к ножке протеза?
|
[
Ответить ]
|
Re: Политравма
Отправитель: Alexander Chelnokov 16 Декабрь 2013, 22:20
|
Такую фиксацию надо оставлять динамической, то есть чтобы была возможность ножке под нагрузкой глубже просесть и прочнее заклиниться в канале гвоздя. Так что цемент вряд ли решит какие-то проблемы, только усложнит операцию. Да еще и добавит трудностей при ревизионных вмешательствах.
|
[
Ответить ]
|
Re: Политравма
Отправитель: Игорь Кучерявый 16 Декабрь 2013, 20:11
|
Интересно было бы узнать — какова была реакция коллег в клинике на ручную работу?
|
[
Ответить ]
|
Re: Политравма
Отправитель: Djoldas Kuldjanov, M.D 18 Декабрь 2013, 05:57
|
Реакция коллег позитивная, предлагают представить как case presentation в наш OTA mailing list. К ручным работам прывыкли, часто что-то срезаем или подпиливаем. С учетом ошибок первого, хочется набрать пару других и потом выставить...
Спасибо всем за поддержку.
|
[
Ответить ]
|
Re: Политравма
Отправитель: Anton Kovalenko 18 Декабрь 2013, 16:56
|
Приветствую, Джолдас Муратович!
Присоединяюсь к поздравлениям с успешным опытом. Хорошо, когда в операционной все под рукой и не надо ходить в соседнее здание через дорогу в подвал к токарному станку:-)
Когда планируете разрешить полную нагрузку на левую нижнюю конечность или уже разрешили?
Сложно оценить по снимкам, какая длина гильзы, фиксирующей конец ножки эндопротеза?
--
С уважением, Коваленко А.Н.
|
[
Ответить ]
|
|
Re: Политравма
Савранский Александр 15 Декабрь 2013, 16:07
|
По-моему все супер. С нагрузкой действительно не стоит спешить, тем более перелом позвонков.. Особенно понравилась вводная часть сообщения, до того как пошла речь по серьезному :)
|
[
Ответить ]
|
Re: Политравма
ООО РосСтанкопром 20 Декабрь 2013, 15:28
|
Готовы поставлять токарно-винторезные станки ТВ-4 Школьник в клиники Америки.
Имеются гигиенические сертификаты для всех стран.
гарнируем откат (kickbak)см.http://lurkmore.to/%D0%9E%D1%82%D0%BA%D0%B0%D1%82
Оплата возможна в сумах по курсу Обакэра
Доставка DHL. Проводим обучение и стажировку в клиниках России ( язык преподавания русский)
Всем заинтересованным лицам контакт через ортофорум
|
[
Ответить ]
|
( Ответить )
|
|