вверх
отправить
поиск
админ
главная
|
Опухоль дистального отдела б/б кости - чем замещать? |
 |
 |
 |
Отправлено Alexander Artemiev 15 Декабрь 2013, 17:39
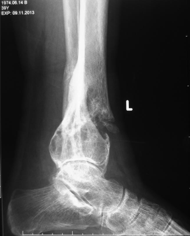
Здравствуйте, дорогие коллеги. Обратился мужчина около 50 лет. Примерно 20 лет назад оперирован по поводу остеобластокластомы. Жил вполне нормально. Год назад - открытый перелом голени (газонокосилка переехала), при рентгене обнаружен рецидив опухоли. Перелом сросся. Опухоль естественно осталась. Сейчас ходит с тростью для страховки и после перелома еще не восстановился. Вопрос по лечебной тактике. Спасибо С уважением Александр Артемьев
<
|
>
|
|
Ответить
|
Re: Опухоль дистального отдела б/б кости - чем замещать?
Курышев Данила 15 Декабрь 2013, 23:05
|
Любым затвердевающим аллографтом. Который можно потом сверлить (MIG, Cementec и т.д.). Сверху - пластину с угловой стабильность. "Я так вижу" (с)
С уважением.
|
[
Ответить ]
|
Re: Опухоль дистального отдела б/б кости - чем замещать?
Илья 16 Декабрь 2013, 05:52
|
Случай очень необычный. Остеобластокластома в 50 лет, редкость, а рецидив через 30 лет, ещё большая редкость. Я бы сделал МРТ и биопсию, чтобы подтвердить, что это и правда рецидив остеобластокластомы а не метастаза или саркома. Если и вправду рецидив, то далее следовал бы по методике, описаной в этой статье: http://www.sarcoma.org/html_articles/cryo%20gct.htm.
Вкратце, кюретаж, обработка кости жидким азотом, а потом внутренняя фиксация и заполнение полости костным цементом. Между цементом и хрящом сустава следует сделать небольшую прослойку костного трансплантата из подвздошной кости, чтобы уменьшить вероятность артрита.
Илья
|
[
Ответить ]
|
Re: Опухоль дистального отдела б/б кости - чем замещать?
Отправитель: maxim agalakov 18 Декабрь 2013, 16:25
|
Опыт небольшой, один раз делал по такой методе только проксимальную тибию с похожей картинкой 2 года назад, рецидива пока нет, функция полная. А вот на счет трепанобииопсии -не очень согласен, результата может не быть, но видел пациентов 3-х с нагноением и свищами после таких биопсий при обк.
|
[
Ответить ]
|
Re: Опухоль дист. отдела б/б кости..биопсия
Отправитель: Илья Анисеня 10 Август 2016, 07:56
|
Да, осложнения после биопсий бывают. Особенно, когда врач первый раз это делает, видит большое количество крови, начинает активно делать гемостаз, тампонирует, да еще и оставляет дренажи, тампоны. Мы этого никогда не делаем, считаем даже ошибкой. ДОстаточно использовать новый трепан диаметром 3-6мм. Все делать только стерильно! Забор материала производить в нескольких направлениях, аккуратно снимая выстилку с противоположной стенки. Прокол, если он более 1см можно ушить. В наших стенах я не припомню ни одного осложнения после трепан-биопсии как ОБК, так и других опухолей костей и м/т. Желаю профессионального подхода.
|
[
Ответить ]
|
|
Re: Опухоль дистального отдела б/б кости - чем замещать?
Doktorov Alexey 17 Декабрь 2013, 00:34
|
Я бы посоветовал сделать трепанбиопсию, для уточнения диагноза. Очень похожа на ГКО, хотя может быть и просто аневризмальная киста. В арсенале онкологов есть препарат, который при введении в полость ГКО позволяет полностью избавиться от проблемы, без операции и достаточно эффективно. В РОНЦ Мусаев Э.Р., в 62 МОКБ Щупак М.Ю
|
[
Ответить ]
|
Re: Опухоль дистального отдела б/б кости - чем замещать?
Отправитель: Sergiy Nesterenko 22 Декабрь 2013, 07:43
|
Алексей, поделитесь, пожалуйста информацией по препарату для лечения гигантоклеточной опухоли. Мне известен лишь Деносумаб, но он не вводится в опухоль.
Если это действительно была гигагноклеточная опухоль, то рецидив вполне предсказуем. По снимкам не видно признаков малигнизации, но биобсию все равно делать нужно.
|
[
Ответить ]
|
|
Re: Опухоль дистального отдела б/б кости - чем замещать?
Юрий 22 Декабрь 2013, 00:43
|
На второй рентгенограмме же дата рождения и возраст написаны. 39 лет, а не 50. Внимательнее же нужно быть:)
|
[
Ответить ]
|
Re: Опухоль дистального отдела б/б кости - чем замещать?
Данила Курышев 25 Декабрь 2013, 00:59
|
Что решили?
С глубоким уважением!
Курышев Данила.
|
[
Ответить ]
|
Re: Опухоль дистального отдела б/б кости - чем замещать?
Данила Курышев 25 Декабрь 2013, 00:59
|
Что решили?
С глубоким уважением!
Курышев Данила.
|
[
Ответить ]
|
( Ответить )
|
|