ВХОД ДЛЯ ПАЦИЕНТОВ
вверх
поиск
админ
главная
|
рецидивирующий вывих надколенника |
 |
 |
 |
Прислано Maxim Agalakov 19 Февраль 2014, 09:56
из
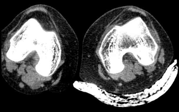
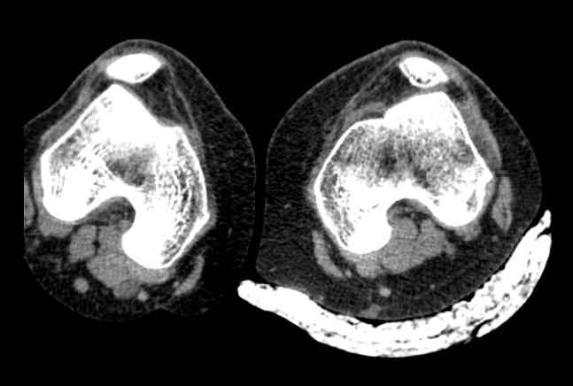
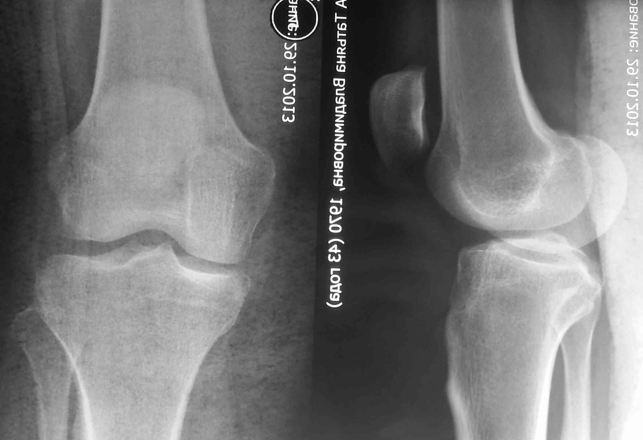
привычный вывих надколенника + patella alta
Обратилась молодая женщина с повторным вывихом надколенника, повторный вывих в октябре 2013. после чего находилась в гипсе и ортезе. Сейчас сгибание - 90. Снимки прилагаю. Планирую латеральный релиз и medial plication. Достаточно ли этого будет? Другие варианты?
Обратите внимание: Поля с жирными названиями обязательны.
Старайтесь отвечать в рамках обсуждаемой темы, а не начинать новые обсуждения.
Указывайте адекватную тему сообщения, чтобы было ясно, о чем оно.
Не послайте сообщений не по теме (оффтопик), раздраженных, грубых или обидных комментариев. Здесь это неуместно.
|