Ответить
|
Re: Перипротезный перелом
Михаил Куква 22 Август 2014, 21:30
|
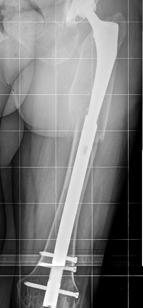
А какова здесь надежность фиксации ножки в гвозде? В ситуации с оскольчатым характером перелома и его масштабами верхний доступ был бы тех же размеров. Цемент в любом случае полагается удалить. Операция выполнялась в соответствии со всеми принципами АО, ревизия перелома ad oculus подтвердила верность выбора хирургической тактики, при этом избежав нанесения дополнительной травмы доступом через коленный сустав))
|
[
Ответить ]
|
Re: Перипротезный перелом
Отправитель: Alexander Chelnokov 22 Август 2014, 21:32
|

Надежность, если все правильно сделано, как минимум достаточная для любых нагрузок. Не понял насчет "был бы тех же размеров" - это и есть оскольчатый перелом, вот снимок до операции. Никаких верхних доступов, все закрыто. Принципы АО - вещь переменная, в конце 2013 г. издана аошная книжка про перипротезные переломы, там уже есть про эту методику. Цемент иногда действительно приходится удалять, но мы уже в 3 случаях смогли сделать без обнажения конца ножки, вытаскивали кусочки цемента через доступ для гвоздя. Не "ревизия ad oculus" подтверждает верность тактики, а результат. Представлен хороший непосредственный результат, будем надеяться, в дальнейшем он сохранится. А тактика верная - не обязательно одна. Могут быть и три првильных.
|
[
Ответить ]
|
Re: Перипротезный перелом
Отправитель: Артур Саакян 22 Август 2014, 21:33
|
в этом случае перелом перипротезный на уровне эндопротеза с нестабильностю ножки. Это требует замены ножки. ПЛАСТИНА в любом случае требует большей инвазии. Здесь я за ножку вагнера.
|
[
Ответить ]
|
Re: Перипротезный перелом
Отправитель: Alexander Chelnokov 22 Август 2014, 21:35
|
Вот и было сделано нечто типа длинной ножки. Только закрыто и с запиранием.
|
[
Ответить ]
|
Re: Перипротезный перелом
Отправитель: Артур Саакян 22 Август 2014, 21:40
|
И это правильно.
|
[
Ответить ]
|
Re: Перипротезный перелом
Отправитель: Михаил Куква 23 Август 2014, 10:24
|
Предлагаю вернуться к первоначальному снимку.
Допустим, мы не трогаем зону перелома, делаем закрыто, бережем мягкие ткани.
А коленный сустав?)
Существует ли та или иная доказательная база критериев определения стабильности соединения - "ножка-гвоздь"?
Какова вероятность того, что при нахождении на одной линии с переломом ножка, забитая в гвоздь будет сохранять триаду "ось-длина-ротация" в случае концентрации нагрузки на импланте при отсутствии контакта/фиксации отломков?
|
[
Ответить ]
|
Re: Перипротезный перелом
Отправитель: Михаил Куква 23 Август 2014, 10:29
|
В смысле если посмотреть на первоначальный снимок - я бы не рискнул оперировать закрыто, без тщательного удаления цемента и фиксации лишь пятой дистальной части ножки в установленном через коленный сустав гвозде.
|
[
Ответить ]
|
Re: Перипротезный перелом
Отправитель: Alexander Chelnokov 23 Август 2014, 10:30
|
Михаил., без нашего опыта последних лет, может, и я бы не рискнул. С коленным суставом проблем не возникает. "доказательная база критериев определения" - просто прекрасно, запишу. Стабильность после сколачивания уже в десятках случаев эмпирически проверена. И "при нахождении линии" все хорошо. А после сращения можно сделать планово ревизию, и поставить первичный компонент.
|
[
Ответить ]
|
Re: Перипротезный перелом
Отправитель: Михаил Куква 23 Август 2014, 10:32
|
Соответственно, тем, кто не обладает Вашим, Александр Николаевич, опытом, лучше не рисковать?)
|
[
Ответить ]
|
Re: Перипротезный перелом
Отправитель: Артур Саакян 23 Август 2014, 10:34
|
Учиться надо)))
|
[
Ответить ]
|
Re: Перипротезный перелом
Отправитель: Артур Саакян 23 Август 2014, 10:35
|
Надо стараться делать закрыто, но быть готовым перейти на открытую операцию. Как говорил наш зав. Ортопедии Андрианов- идя на артроскопию всегда будь готов к ампутации)))
|
[
Ответить ]
|
Re: Перипротезный перелом
Отправитель: Михаил Куква 23 Август 2014, 10:41
|
Любые практические достижения нуждаются в их теоретическом обосновании, для их адекватного преподавания и укладывается в головах слушателей без диссонанса с принятой для общего понимания системой координат.
Надо стараться. Надо быть готовым. Надо учиться. Надо перед операцией понимать, что важнее - малоинвазивность, или удобство хирургического доступа для достижения, как говорится, результата. Иногда это сложнее, тяжелее и физически и технически, но оно того стоит, если предоперационное планирование сделано правильно и риски просчитаны.
|
[
Ответить ]
|
Re: Перипротезный перелом
Отправитель: Артур Саакян 23 Август 2014, 10:42
|
Надо за этл выпить, наливай!! Вай вай
|
[
Ответить ]
|
Re: Перипротезный перелом
Отправитель: Михаил Куква 23 Август 2014, 11:04
|
С удовольствием) предлагаю это сделать с 16 по 19 сентября)
|
[
Ответить ]
|
Re: Перипротезный перелом
Отправитель: Alexander Chelnokov 23 Август 2014, 12:11
|
На X юбилейном съезде травматологов ортопедов в Москве, который случайно совпал с указанными Михаилом датами.
|
[
Ответить ]
|
Re: Перипротезный перелом
Отправитель: maxim agalakov 29 Август 2014, 20:30
|
к сожалению, у меня не получится присоединиться к вашей дискуссии в Москве, в финансах ограничен, чуть позже поеду в Астану.
PS я бы постарался сделать похожим образом
|
[
Ответить ]
|
Re: Перипротезный перелом
Отправитель: Александр Ситник 23 Август 2014, 09:58
|
Снимки красивые, но "люди ходят не на снимках, люди ходят на ногах". Поэтому не лишними были бы подобности типа возраста пациента, его уровня активности, хода операции (длительность, кровопотеря), ну и всякие другие небезинтересные вещи.
Не являюсь спецом по перипротезным переломам, но у нас как правило или остеосинтез или ревизионная ножка - что послужило здесь поводом сочетать оба метода?
"Операция выполнялась в соответствии со всеми принципами АО" - судя по количеству серкляжей вы с этой фразой немного погорячились. Кстати тоже: пластина позволяет вводить винты спереди и сзади от ножки протеза - почему предпочли не винты, а проволоку?
Ну и последний вопрос парамедицинский - железа тут как я понимаю на несколько тысяч долларов, кто оплачивал банкет в ваших условиях?
|
[
Ответить ]
|
|
( Ответить )
|
|