ВХОД ДЛЯ ПАЦИЕНТОВ
вверх
поиск
админ
главная
исходное
|
Re: ложный сустав ключицы
послал Djoldas Kuldjanov 24 Ноябрь 2014, 10:34
|
Дорогой Абдурашид,
Описанный Леонидом метод - выход из положения, но подойдет больше для лечения свежих переломов, чем для ложного сустава. Когда накостный остеосинтез был представлен только пластиной Лэна и доминировала идея “Decision Non Incision”, наружный фиксатор был универсальным фиксатором для всех видов переломов, включая открытые. Тактику считали правильной, и все публикации (диссертации) писали о преимуществе закрытого остеосинтеза. Но рекламируемое преимущество только до операции, потому что больше чем половину репозиций ключицы делают открытым методом. Отсутствует информация насчет осложнений и трудностей, например, установки спицы. Возможно, для Леонида или для врачей из Кургана это проблем не составляет, но для большинства не просто. Для сверления кости потребуется приподнять ключицу, и в результате разрываются мягкие ткани сзади. Это приводит к нарушению кровообращения сзади и поэтому такие операции часто осложняются дефектами кости!
Отсутствие фиксирующего материала усложняет дело, но в эру навигационной техники, роботов (DaVinci) и имея арсенал пластин, не стоит увлекаться не очень популярным методом! Пластины в сравнении со спицами лучше создают стабильность и межфрагментарную компрессию. Минимальное разрушение мягкотканого футляра происходит спереди, где пластина, что благоприятно влияет на сращение. А компрессия при фиксации спицей приведет к укорочению и дисбалансу мышечной системы. Пластина предупреждает укорочение и удерживает костный графт при необходимости.
В данном случае надо подождать, случай не ургентный! Тем более, у большинства со старым ложным суставом функцию конечности не теряется, и они бессимптомны. Боли бывают только в начальном периоде, затем интенсивность уменьшается, и к ним привыкают. К врачам они обращаются, когда имеется косметический дефект, или когда им напоминают о ложном суставе.
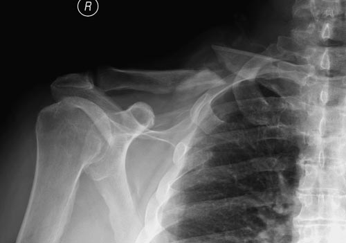
В заключение, только 25% изолированных переломов ключицы, леченных консервативным методом не срастаются, а из них 1/3 симптоматические. Болезненные ложные суставы надо оперировать, и здесь представлен случай свежего болезненного ложного сустава, оперированного через 4 месяца.

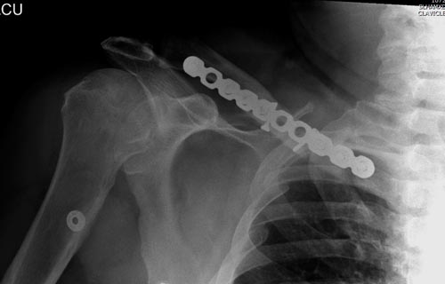
Освобожден средний фрагмент и боковая компрессия лагированием, фиксация пластиной..
Djoldas Kuldjanov, M.D.
Professor
Department of Orthopedic Surgery
St. Louis University
|
| Послать ответ |
Обратите внимание: Поля с жирными названиями обязательны.
Старайтесь отвечать в рамках обсуждаемой темы, а не начинать новые обсуждения.
Указывайте адекватную тему сообщения, чтобы было ясно, о чем оно.
Не послайте сообщений не по теме (оффтопик), раздраженных, грубых или обидных комментариев. Здесь это неуместно.
|