AOTRAUMA.ORG Центр Илизарова  

Ортопедия и травматология Общие вопросы/General questions Help Информационные технологии в медицине
 вверх
 отправить
 поиск
 админ
 главная


Ортопедическая загадка
Общие вопросы/General questions Отправлено Sereda Andrey 23 Октябрь 2014, 21:23
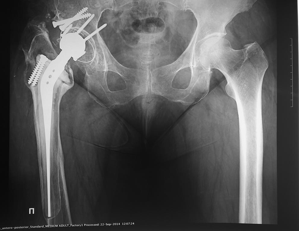
Уважаемые коллеги, добрый день. Хочется поделиться интересным наблюдением, поэтому тему назвал так специально - ортопедическая загадка, а не "Help, что делать?"
Итак, имеем такой вот рентген. Что за протез был установлен 17 лет назад? Фото с ответом выложу в понедельник. Лично я был мягко говоря весьма удивлен.

<  |  >

 

  • Сообщения о Общие вопросы/General questions
  • Также Sereda Andrey
  • Связаться с автором
  • Ответить

    Re: Ортопедическая загадка
    Андрей Волна 24 Октябрь 2014, 12:34
    Это оригинальный RM. Чашку все знают, а вот ногу мало кто видел (как впоследствии оказалось, наверное, к счастью). Имплантировали такие протезы, в основном, в Самаре и Ярославле, понемногу, немного и в Москве
    [ Ответить ]

    Re: Ортопедическая загадка
    Сергей Никитин 24 Октябрь 2014, 12:49
    RM - Изоэластик матис
    [ Ответить ]

    Re: Ортопедическая загадка
    Дмитрий 24 Октябрь 2014, 13:48
    Чашка RM. Далее и для меня загадка.
    [ Ответить ]

    Re: Ортопедическая загадка
    Сергей Никитин 24 Октябрь 2014, 16:29
    http://www.mathysmedical.com/fileadmin/user_upload/produkte/Literature/Hip/Cups/RM_Classic_Cup/Hasselbach_OP-Journal_1990.pdf
    [ Ответить ]

    Re: Ортопедическая загадка
    Kudinow Konstantin 24 Октябрь 2014, 18:47
    Матизз изоэластик
    [ Ответить ]

    Re: Ортопедическая загадка
    Андрей Рагозин 24 Октябрь 2014, 19:44
    Андрей, это точно изоэластический эндопротез Роберта Матиас, в 90-е годы мы с А.Ф. Лазаревым много таких поставили
    [ Ответить ]

    Re: Ортопедическая загадка
    Anatoly Lazarev 24 Октябрь 2014, 19:45
    Это протез фирмы Матис изоэластик, импрегнированный тиатаном или без титатна - более ранняя версия. Чашка олполи с 2 рожками.
    ЛАФ.
    [ Ответить ]

    Re: Ортопедическая загадка
    Alexander Larionov 24 Октябрь 2014, 23:49
    Ножка Изоэластик, чашка - не знаю.
    [ Ответить ]


    ( Ответить )

    Powered by Zope  Squishdot Powered MedLink
    Посетитель: 0176871
      "По форме правильно, а по существу - издевательство" В.И.Ленин
    ©2001-2019Orthoforum Coordinator.
    [ Главная | Отправить сообщение | Поиск | Админ ]