AOTRAUMA.ORG Центр Илизарова  

Ортопедия и травматология Общие вопросы/General questions Help Информационные технологии в медицине
 вверх
 отправить
 поиск
 админ
 главная


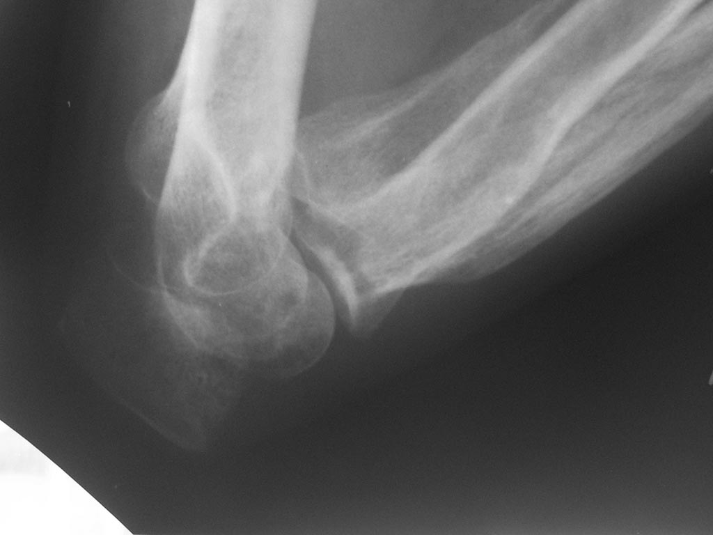
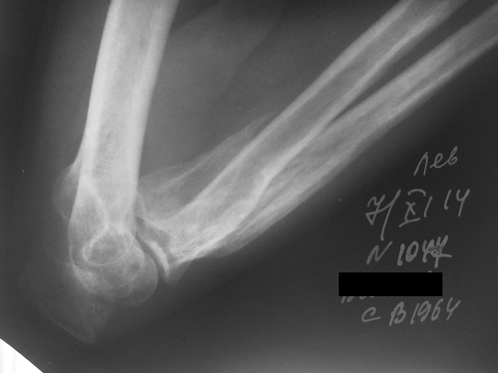
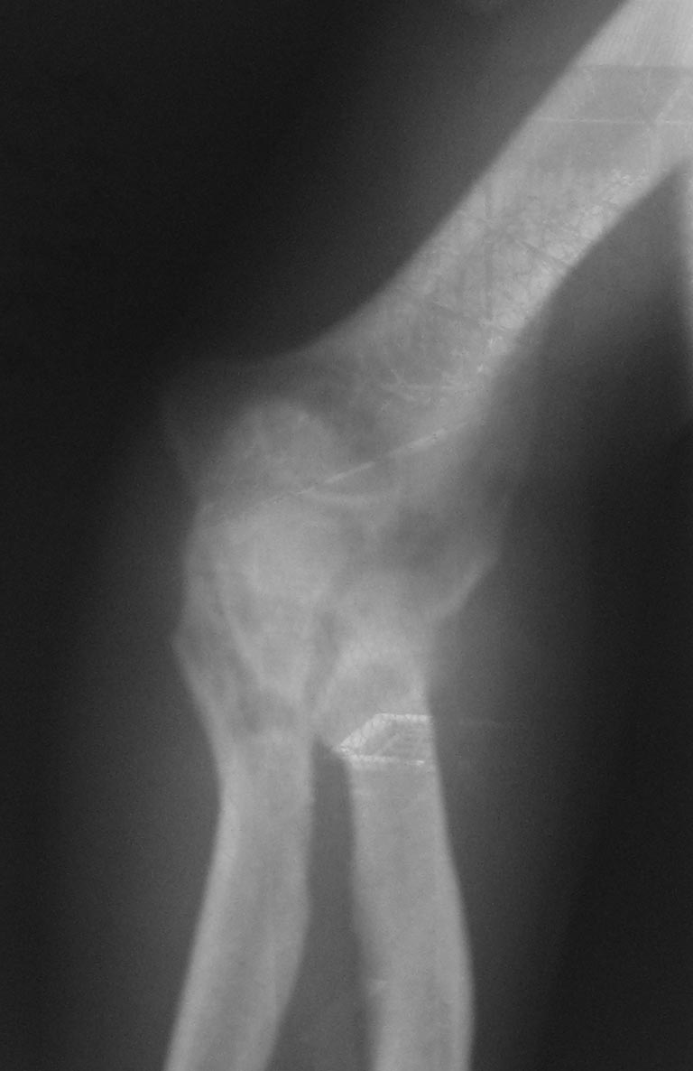
Полугодовая травма локтевого сустава
Ортопедия и травматология Отправлено Александр 20 Ноябрь 2014, 21:39
Лечения не было. Сейчас - контрактура и резко выраженный болевой синдром, в т.ч. вследствие давления trohlea humeri изнутри на кожу.
МРТ или КТ невыполнимо.Тактика?

<  |  >

 

  • Сообщения о Ортопедия и травматология
  • Также Александр
  • Связаться с автором
  • Ответить

    Re: Полугодовая травма локтевого сустава
    Александр Ситник 21 Ноябрь 2014, 23:31
    Судя по последнему снимку - дело в тюрьме?
    А вообще желательно поподробней: давность травмы, объем движений на сегодняшний день (активно и пассивно), неврология, опять же социальный статус?
    [ Ответить ]

    Re: Полугодовая травма локтевого сустава
    Дедок м 22 Ноябрь 2014, 02:41
    Качество первых двух снимков очень плохое. А на двух последних, по моему, перелом локтевого отростка. Если так, то просто остеосинтез
    [ Ответить ]

    Re: Полугодовая травма локтевого сустава
    Андрей 24 Ноябрь 2014, 04:03
    Локтевого отростка и передней стенки локтевой кости
    [ Ответить ]

    Re: Полугодовая травма локтевого сустава
    Евгений 24 Ноябрь 2014, 05:20
    Кроме КТ бывают обычные стандартные рентген-снимки, боковой проекции у Вас нет, потому и не знаете, как поступить с этим переломом локтевого отростка.
    [ Ответить ]

    Re: Полугодовая травма локтевого сустава
    Денис Магсумов 24 Ноябрь 2014, 14:45
    6 месяцев для такой травмы очень большой срок. Предполагаю, будут трудности в ходе операции. По хорошему надо фиксировать и локтевой и венечный отросток с участков локтевой кости. Венечный через передний доступ по Henry, 2 винтами, локтевой отросток по Веберу, постаравшись ввести спицы бикортикально.
    [ Ответить ]

    • Re: Полугодовая травма локтевого сустава
      Отправитель: Александр 24 Ноябрь 2014, 21:02
      Спасибо, Денис! Как я понимаю, это вариант артродеза?

      [ Ответить ]
      • Re: Полугодовая травма локтевого сустава
        Отправитель: Cавранский Александр 24 Ноябрь 2014, 22:28
        Александр, а Вы травматолог? Ваш вопрос говорит о том, что опыта в лечении данных переломов У Вас нет. Денис предлагает сделать остеосинтез данных переломов, а не артродез. Возможно лучше направить пациента в другое ЛПУ.

        [ Ответить ]
        • Re: Полугодовая травма локтевого сустава
          Отправитель: Александр 25 Ноябрь 2014, 20:27
          Да, Александр, травматолог. В другое ЛПУ отправить не получиться.

          [ Ответить ]
      • Re: Полугодовая травма локтевого сустава
        Отправитель: Дедок м 24 Ноябрь 2014, 23:09
        Какой к черту артродез! Обычный остеосинтез. Если локтевой отросток не сможете "дотянуть" на свое место из за ретракции, сделайте костную вставку на размер диастаза. И лфк!

        [ Ответить ]
        • Re: Полугодовая травма локтевого сустава
          Отправитель: Александр 25 Ноябрь 2014, 20:29
          Спасибо, Михаил.

          [ Ответить ]
        • Re: Полугодовая травма локтевого сустава
          Отправитель: Alexander Chelnokov 26 Ноябрь 2014, 02:59
          B какую же тогда форму будет иметь суставная поверхность?

          [ Ответить ]
          • Re: Полугодовая травма локтевого сустава
            Отправитель: Дедок 28 Ноябрь 2014, 20:52
            А после того как "освежат" зону перелома, там будет костный дефект. И при синтезе будут проблемы. Не синтезировать же локтевой отросток с укорочением. Я об этом. Просто не точно выразил мысль.

            [ Ответить ]
        • Re: Полугодовая травма локтевого сустава
          Отправитель: Денис Магсумов 26 Ноябрь 2014, 13:31
          Как вариант - разбить лечение на этапы. 1 этап - открытая репозиция и остеоснтез предложенным выше способом (верхняя конечность будет в положении разгибания, предплечье); 2 этап - устранение контрактуры (например, АВФ).

          [ Ответить ]
    Re: Полугодовая травма локтевого сустава
    Александр 07 Декабрь 2014, 18:44
    Здравствуйте, всем!
    Произведен задний доступ к суставу, артролиз (выраженные рубцовые изменения места перелома и суставной щели), освежение места перелома, остеосинтез по Веберу. В финале получили выраженную миогенную контрактуру в положении 110 град. Проксимальный отдел локтевой кости деформирован - последствие полугодового сросшегося перелома. Конгруентность суставной поверхности под вопросом, контакт отломков неполный. Снимки позднее. Всем удачи.
    [ Ответить ]


    ( Ответить )

    Powered by Zope  Squishdot Powered MedLink
    Посетитель: 0144614
      "По форме правильно, а по существу - издевательство" В.И.Ленин
    ©2001-2019Orthoforum Coordinator.
    [ Главная | Отправить сообщение | Поиск | Админ ]