Ответить
|
Re: Неоартроз дистального метаэпифиза правой лучевой кости
Александр 29 Март 2015, 11:43
|
1. Хоть убейте не могу понять ЗАЧЕМ мучать человека АВФ при закрытом переломе.
Есть же чёткие показания. Тем более, что были как раз все показания для накостного остеосинтеза, фиксацией спицами наконец. Ну то такое.
2. Я может не совсем ориентируюсь в настолько запущенных случаях. Никогда с таким не сталкивался. Но не могу понять зачем делать резекцию локтевой кости. Разве после восстановления длины лучевой кости последняя не станет на место? Плюс дополнительная фиксация радиоульнарного согленения.
|
[
Ответить ]
|
Re: Неоартроз дистального метаэпифиза правой лучевой кости
Отправитель: Александр 29 Март 2015, 11:45
|
Как, кстати, может быть без неврологии тоже загадка. Синдром карпального канала там 100%.Поэтому я бы на вашем месте после остеосинтеза дополнительного вксрыл канал и выделил срединный нерв.
|
[
Ответить ]
|
Re: Неоартроз дистального метаэпифиза правой лучевой кости
Отправитель: SAGo 30 Март 2015, 19:07
|
Если нет никаких клинических проявлений, говорящих за компрессию срединного нерва, то нет и такого состояния, как синдром канала запястья. Значит нерв приспособился нормально жить при таком стоянии костей.
|
[
Ответить ]
|
|
Re: Неоартроз дистального метаэпифиза правой лучевой кости
Олег Хабаровск 29 Март 2015, 15:55
|
Сейчас самое время для АВФ. Такую деформацию по длине и ширине на ложном суставе устранять одномоментно дело технически сложное из переднего доступа, Потеря костной ткани при остеопорозе будет большо.
КТ в предопер периоде (сращение, соотношение в дистальном метадиафизе) .
Устранить укорочение в АВФ (любом) хроничеки, Дальше уже ORIF + костная пластика.
|
[
Ответить ]
|
Re: Неоартроз дистального метаэпифиза правой лучевой кости
Pavel L. 29 Март 2015, 19:46
|
Добрый день! Нужно ли вам будет укорочение локтевой кости можно будет понять по ходу самой операции, но готовиться к этому нужно. А так - остеотомия лучевой кости, дистракция в аппарате (если есть возможность,то в этой ситуации быстрее и удобнее использовать небольшой стержней аппарат), аутокость,пластина.Удачи!
|
[
Ответить ]
|
Re: Неоартроз дистального метаэпифиза правой лучевой кости
Отправитель: Paul 30 Март 2015, 15:55
|
Без аппарата внешней фиксации можно "наломать дров". Смоделировать размеры резекции локтевой кости проще после восстановления лучезапястного сустава. Уменьшится объём однократного интраоперационного повреждения, со всеми вытекающими.
|
[
Ответить ]
|
Re: Неоартроз дистального метаэпифиза правой лучевой кости
Отправитель: Oleg Afanasyev 30 Март 2015, 17:52
|
Спасибо,за АВФ вовремя операции ,освободятся руки у ассистента)))доступ тыльный или волярный,
|
[
Ответить ]
|
Re: Неоартроз дистального метаэпифиза правой лучевой кости
Отправитель: Pavel L. 31 Март 2015, 02:43
|
Т.к пластина предпочтительнее с ладонной поверхности, то соответственно волярный,но возможно понадобиться применить и два доступа при трудности репозиции
|
[
Ответить ]
|
|
Re: Неоартроз дистального метаэпифиза правой лучевой кости
Денис Магсумов 30 Март 2015, 17:53
|
"Открываться", на мой взгляд, придется хотя бы для того, чтобы разъединить отломки лучевой. Далее выставить отломки лучевой по оси, сразу переходить на костную пластику и остеосинтез пластиной с УС.
|
[
Ответить ]
|
Re: Неоартроз дистального метаэпифиза правой лучевой кости
Скребцов Владимир 31 Март 2015, 23:00
|
Добрый день! Думаю, что будет разумно в такой ситуации прежде всего наложить простой стержневой АВФ (2 стержня в лучевую кость и 2 стержня во 2 пястную). После этого дистракционно выровнять длину сегмента и устранить вывих головки локтевой кости. Только после этого ладонным доступом - открытая репозиция, остеосинтез пластиной с угловой стабильностью + костная пластика)Если не получиться окончательно вправить головку локтевой кости на предыдущем этапе, то и открыто это сделать на заключительном этапе. АВФ я бы оставил до 1 мес (для разгрузки сустава) Удачи!!!
|
[
Ответить ]
|
Re: Неоартроз дистального метаэпифиза правой лучевой кости
Отправитель: Кондырев Николай 01 Апрель 2015, 17:01
|
Присоединяюсь по всем пунктам и последовательности.
|
[
Ответить ]
|
|
Re: Неоартроз дистального метаэпифиза правой лучевой кости
Олег Хабаровск 31 Март 2015, 23:33
|
Вот и я говорю АВФ это прежде всего средство постепенного устранения деформации,но не одномоментного. Плюс после устранения укорочения если нет возможности сделать КТ, то Легче спланировать ORIF.По поводу доступа: томию удобней делать с тыла. Ну а пластинить Волярно.
|
[
Ответить ]
|
Re: Неоартроз дистального метаэпифиза правой лучевой кости
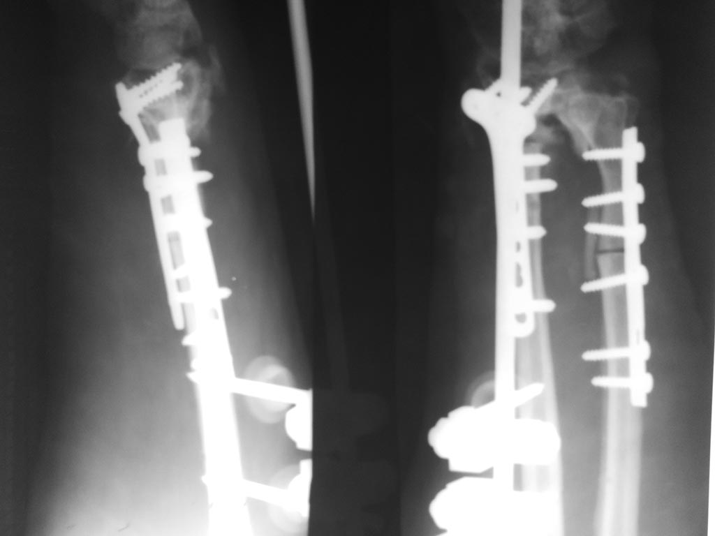
Oleg Afanasyev 11 Апрель 2015, 11:01
|

Спасибо за помощь. Результаты оперативного лечения.
|
[
Ответить ]
|
( Ответить )
|