Ответить
|
Re: Перелом медиальной сесамовидной кости
Николай Сафонов 07 Декабрь 2015, 16:47
|
Остеохондропатия сесамовидной кости 1 пальца стопы (болезнь Ренандера-Мюллера). При неэффективности консервативного лечения (разгрузка переднего отдела стопы, ФТЛ и т.д.) - оперативное лечение (удаление сесамовидной кости).
|
[
Ответить ]
|
Re: Перелом медиальной сесамовидной кости
Руслан Закиров 08 Декабрь 2015, 00:07
|
Спасибо. Есть ли какие-то особенности или сложности в удалении? Какие результаты после и длительность восстановления?
|
[
Ответить ]
|
Re: Перелом медиальной сесамовидной кости
Бережной Сергей 08 Декабрь 2015, 11:43
|
Достаточно частая проблема у профессиональных бегунов, танцоров и т.п. В англоязычной литературе болезнь называется turf toe. Я бы перевел как болезнь искусственных покрытий. Потому что впервые она была описана у бегунов закрытых помещений. Обычно заключается в постепенном или одномоментном той или иной степени разрыве подошвенной пластинки. Сесамовидная кость часто становится частью этого процесса. Чтобы определиться с масштабом поражения нужна МРТ. На западе используют и spect-CT. Помогает исключить асептический некроз. У нас в стране таких аппаратов мало. Лечение определяется протяженностью разрыва. Если есть 2 больших фрагмента сесамовидной кости, то можно сделать остеосинтез маленьким винтом. Если один из фрагментов маленький, можно удалить его. И восстановить разрыв сесамовидного гамака. Если есть только разрыв подошвенной пластинки - восстановление ее целостности. Простое удаление всей сесамовидной кости профессиональному танцору вряд ли поможет.
|
[
Ответить ]
|
Re: Перелом медиальной сесамовидной кости
Руслан Закиров 08 Декабрь 2015, 13:37
|

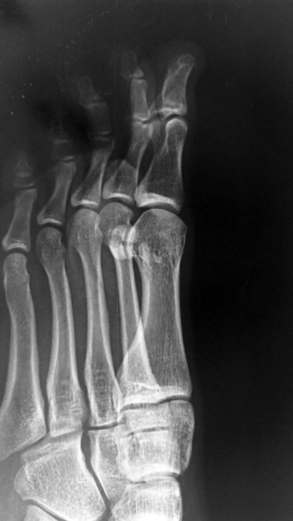
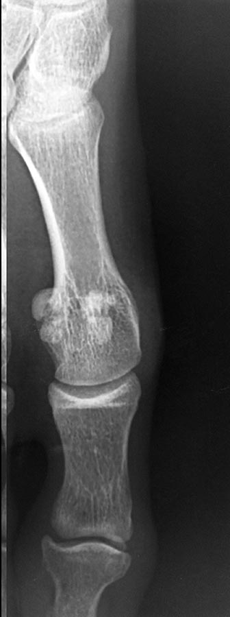
Снимки забыл приложить, извиняюсь.
|
[
Ответить ]
|
Re: Перелом медиальной сесамовидной кости
Бережной Сергей 09 Декабрь 2015, 00:56
|
По снимкам сложно определить, свежий ли это перелом или состоящая из двух частей сесамовидная кость. Поэтому смысл в МРТ есть. Еще на переднезадней рентгенограмме видны преобладание длины первой плюсневой кости и достаточно очевидные уже признаки артроза первого плюснефалангового сустава. Есть ли ограничение подвижности ПФС1 (hallux limitus)?
|
[
Ответить ]
|
Re: Перелом медиальной сесамовидной кости
Руслан Закиров 09 Декабрь 2015, 10:18
|
Движения в 1 пфс в полном объеме.болезненны при макс. тыльном сгибании.
|
[
Ответить ]
|
Re: Перелом медиальной сесамовидной кости
Шведовченко Игорь Владимирович 09 Декабрь 2015, 15:23
|
Уважаемые коллеги. А почему бы не сделать рентгенограмму противоположной стопы. А вдруг и там сесамовидная кость имеет такое же строение?
|
[
Ответить ]
|
Re: Перелом медиальной сесамовидной кости
Дмитрий Шуваев 10 Декабрь 2015, 15:32
|
Дважды при подобных случаях применял курс ударно волновой терапии прямо на зону проекции сесамовидной кости. Больные были довольны, правда улучшение постепенно развивалось около 3-4 недель.
|
[
Ответить ]
|
( Ответить )
|