AOTRAUMA.ORG Центр Илизарова  

Ортопедия и травматология Общие вопросы/General questions Help Информационные технологии в медицине
 вверх
 отправить
 поиск
 админ
 главная
 Предыдущее


Re: Тактика лечения Hallux Valgus
Бережной Сергей 21 Январь 2016, 00:29
Уважаемый, Виталий.
Учитывая дополнительную информацию, думаю, что можно было бы остановиться на следующей совокупности действий: корригирующая и укорачивающая остеотомия первой плюсневой способом, которым лучше владеете (scarf, шевронная или какая другая); остеотомия Akin; тенотомия короткого сгибателя 2 пальца; остеотомия основания основной фаланги второго пальца (можно тонкой пилкой через маленький продольный латеральный или тыльнолатеральный доступ, с фиксацией пальца повязкой на 4 недели); остеотомия второй плюсневой по Вейль, можно без внутренней фиксации (интересно было бы какую-нибудь сноску на литературный источник увидеть, где описана закрытая остеотомия по Вейль). Если во время остеотомии первой плюсневой удастся немного низвести головку, можно третью и четвертую плюсневые не трогать. Но если сделаете их остеотомию способом, которым увереннее владеете, наверное плохого ничего не будет. Мне кажется, что лучше остеотомии центральных плюсневых костей не фиксировать (только повязкой). Надеюсь, наложением фиксирующей пальцы и головки плюсневых повязки Вы владеете.
  • Сообщения о Ортопедия и травматология
  • Также Бережной Сергей
  • Связаться с автором
  • Ответить

    Re: Тактика лечения Hallux Valgus
    Виталий 22 Январь 2016, 10:30


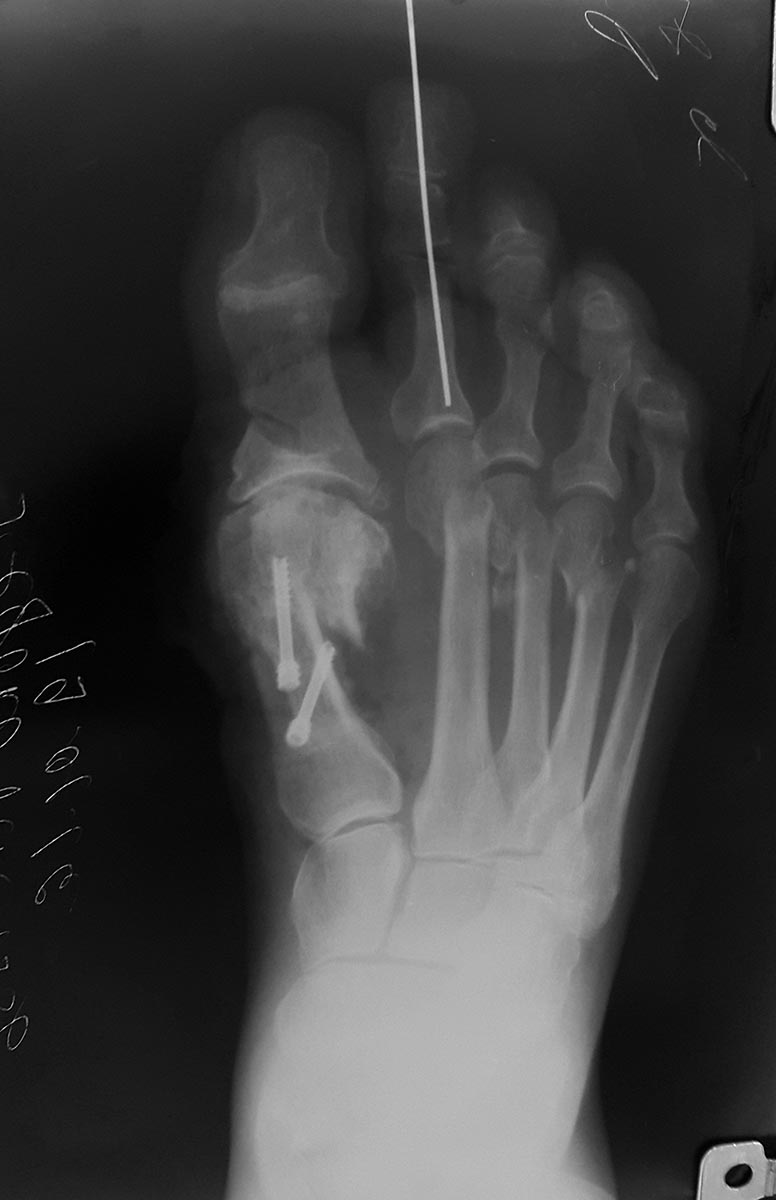
    Сделал Обьем такой
    scarf, Akin.
    открыто вейль 2,3 с удлиннением длинного разгибателя 2 пальца, закрыто субкапитальная остеотомия 4 пальца.
    хохман 2 фиксация спица 3 недели.
    Оцените пожалуйста ситуацию. Вторые сутки отека нет все нормально со стопой.


    [ Ответить ]


    ( Ответить )

    Powered by Zope  Squishdot Powered MedLink
    Посетитель: 0028843
      "По форме правильно, а по существу - издевательство" В.И.Ленин
    ©2001-2019Orthoforum Coordinator.
    [ Главная | Отправить сообщение | Поиск | Админ ]