AOTRAUMA.ORG Центр Илизарова  

Ортопедия и травматология Общие вопросы/General questions Help Информационные технологии в медицине
 вверх
 отправить
 поиск
 админ
 главная


Киста пяточной кости
Ортопедия и травматология Отправлено Рамиль Салихов 04 Март 2016, 18:36
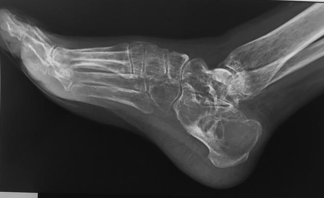
Пациентка Г., 38 лет. 1,5 года назад появились боли в левой пяточной кости.
Болей в покое и ночных болей нет. 08.09.15 операция: экскохлаеция аневризмальной костной кисты, пластика деминерализованными костными трансплантатами. По данным МРТ (29.02.16) костной перестройки нет, вероятно произошел выход содержимого кисты в пространство позади ахиллова сухожилия. Планируется проведение РКТ, биопсии. Вопрос: чем можно заполнить ? Костный цемент? Или снова деминерализованные костные трансплантаты?

<  |  >

 

  • Сообщения о Ортопедия и травматология
  • Также Рамиль Салихов
  • Связаться с автором
  • Ответить

    Re: Киста пяточной кости
    Alexander 05 Март 2016, 12:31
    Выбор за Вами и пациентом (ИМХО - от лучшего к нормальному): аутокость (гребень подвздошной кости), аллокость, биодеградируемый материал (напр. ReproBone), пористый никелид титана. Используйте блоками, а не крошкой - для предотвращения выхода содержимого. Сколько по времени была иммобилизация и ограничение осевой нагрузки, Рамиль?
    [ Ответить ]

    Re: Киста пяточной кости
    Батал Шушания 05 Март 2016, 17:28
    Почему у пациентки кости столь рентгенпрозрачные? Почему такой вот остеопороз?
    [ Ответить ]

    • Re: Киста пяточной кости
      Отправитель: Рамиль Салихов 05 Март 2016, 21:32
      После операции пациентка ходит с костылями без нагрузки на ногу. С этим связан остеопороз.
      Можете описать преимущества и недостатки вариантов лечения?

      [ Ответить ]
      • Re: Киста пяточной кости
        Отправитель: Батал Шушания 05 Март 2016, 22:27
        Так получается, что пока лечили кисту пяточной кости, вся стопа и кости голени, может быть и бедренная кость, из-за длительного отсутствия опорной функции, потеряли костной массы, соизмеримая, а может и больше, c тем, чем Вы заполнили ей эту самую кисту.
        Я бы после операции сразу разрешил бы осевую нагрузку на ногу. И сейчас нужно разрешить нагрузку на ногу, но уже дозированную с костылями с постепенным повышением величины осевой нагрузки. Это не менее важное, чем лечение выявленной кисты. Ведь сейчас, скорее всего, у нее будет болеть вся стопа и может развиться (если уже не развился) комплексный регионарный болевой синдром, с которым болевой синдром от кисты пяточной кости будет казаться ей незначительной.
        Что делать? Для того, чтобы ответить на этот вопрос необходимо знать на что она сейчас жалуется, какие отделы стопы болят при опоре и болит ли вообще сама стопа. Пощупать стопу :-)

        [ Ответить ]
    • Re: Киста пяточной кости
      Отправитель: Рамиль Салихов 05 Март 2016, 21:36
      После операции пациентка ходит с костылями без нагрузки на ногу. С этим связан остеопороз.
      Можете описать преимущества и недостатки вариантов лечения?

      [ Ответить ]
      • Re: Киста пяточной кости
        Отправитель: Рамиль Салихов 06 Март 2016, 15:23
        У пациентки боль в области пятки при опоре. Умеренная болезненность при пальпации в пяточной области, в области ахиллова сухожилия.
        После операции она 1 месяц не наступала, а сейчас наступает 2/3 веса тела. Боль при нагрузке в области пятки.
        Пациентка мнительная, поэтому нагруку давала мало. Сейчас заставил ее ходить побольше.
        В ОАК гемоглобин 84 г/л, Эр 4,01


        [ Ответить ]
      • Re: Киста пяточной кости
        Отправитель: Alexander 07 Март 2016, 13:04
        Преимущества и недостатки - вопрос дискутабельный и у каждого травматолога свой опыт использования разных материалов. Аутокость "своя родная" проверена временем, при отсутствии инфекции перестраивается, не надо закупать, но дополнительная травма; аллокость и биодеградируемый материал не всегда предсказуемы и зависят от качества и производителя (могут перестроится, лизироваться или нагноиться); пористый никелид титана, конечно же не резорбируется, но костная ткань врастает в его поры, достаточно прочный. После операции, на мой взгляд, лучше создать покой пяточной кости до заживления п/о раны - можно использовать гипсовый сапожок с каблуком на средний отдел стопы, затем ЛФК и дозированное увеличение осевой нагрузки с рентгенконтролем в динамике.

        [ Ответить ]
    Re: Киста пяточной кости
    Алишер 07 Март 2016, 00:50
    Остеопороз судя по рентгенограмме был до операции. Нужно исключить гиперпаратиреоз -болезнь Реклингаузена.

    [ Ответить ]

    • Re: Киста пяточной кости
      Отправитель: Андрей 08 Март 2016, 00:22
      У пациентки на первой рентгенограмме угол Беллера нулевой.
      Был ли патологический перелом?

      [ Ответить ]
      • Re: Киста пяточной кости
        Отправитель: Батал Шушания 09 Март 2016, 00:49
        Такой угол Бэлера мог сформироваться из-за деформации, выбухания кости, развившаяся из-за высокого внутрикситозного давления.


        [ Ответить ]
    Re: Киста пяточной кости
    Анатолий 09 Март 2016, 16:57
    Доброго времени суток!Стекла после первой операции пересмотрите у хорошего гистолога! Может оказаться какая-нибудь "бяка". Сейчас вопрос стоит не о том, чем заместить, а том, как лечить рецидив!
    [ Ответить ]

    Re: Киста пяточной кости
    Timur 11 Март 2016, 21:58
    Наблюдали похожий случай, рентгенологически картина один в один, оказалась миеломная болезнь. Результаты гистологии были неоднозначные. В Вашем, случае, на мой взгляд, нужно быть крайне осторожными и провести полное обследование. Онкология "любит кушать железо".
    [ Ответить ]

    Re: Киста пяточной кости
    Doktorov Alexey 15 Март 2016, 00:19
    Очень похоже на болезнь Олье
    [ Ответить ]

    Re: Киста пяточной кости
    Василий Бузин 20 Март 2016, 01:58
    Привет всем!По снимкам угол Беллера 0 значит были патологические переломы или все так разьело и просела подтаранная площадка пятки,если нет перестроики транспланта скорее онко или какая то система.Все прооперированные кисты аневризмальные пятки с аутокостью перестроились полностью в сроки примерно 6-8месяцев.
    [ Ответить ]


    ( Ответить )

    Powered by Zope  Squishdot Powered MedLink
    Посетитель: 0000169
      "По форме правильно, а по существу - издевательство" В.И.Ленин
    ©2001-2019Orthoforum Coordinator.
    [ Главная | Отправить сообщение | Поиск | Админ ]