AOTRAUMA.ORG Центр Илизарова  

Ортопедия и травматология Общие вопросы/General questions Help Информационные технологии в медицине
 вверх
 отправить
 поиск
 админ
 главная


Боль в голеностопном суставе
Ортопедия и травматология Отправлено Андрей 21 Апрель 2016, 13:49
Добрый день!Обратилась женщина 1975 г.р. Жалобы на боль в голеностопном суставе при нагрузке (после ходьбы на расстояние 200 метров).
Травма три года назад. Упала с высоты своего роста, подвернула ногу, лечилась амбулаторно с Ds : растяжение связок голеностопного сустава. Rg не делали. После травмы боль осталась, в динамике интенсивность боли прогрессировала. Ухудшение в течении последних 6 мес. Местно : движения в голеностопном суставе в полном обьеме, отек незначительный. Пальпация безболезненна.Rg, Кт прилагается.Какова на ваш взгляд тактика лечения в данном случае?

<  |  >

 

  • Сообщения о Ортопедия и травматология
  • Также Андрей
  • Связаться с автором
  • Ответить

    Re: Боль в голеностопном суставе
    Сергей 21 Апрель 2016, 16:56
    Неплохо подвернула ногу))) А то что стопа смотрит во внутрь ее не беспокоит? Тактика - однозначно оперировать и быть готовым к 2 вариантам лечения: если суставной хрящ не поврежден - то восстанавливать анатомическое взаимоотношений в суставе, как на мягкотканном уровне, так и в плане корригирующих остеотомий. Если же хрящ побитый, то артродез голеностопного сустава.
    [ Ответить ]

    Re: Боль в голеностопном суставе
    Alexander Chelnokov 21 Апрель 2016, 18:12
    Насчет "движения в полном объеме" - хорошо бы увидеть функциональные рентгенограммы в сравнении со второй ногой. То есть снимки в профиль в крайних положениях тыльной и подошвенной флексии. Не активных, понятное дело, а пассивных, т.е. с приложением внешней силы для выведения в крайнее положение.

    [ Ответить ]

    Re: Боль в голеностопном суставе
    Бережной Сергей 21 Апрель 2016, 21:35
    Интересный случай. А рентген сделан под нагрузкой? Не похоже. Обязательно нужно под нагрузкой сделать. И обещанной КТ что-то не видно. Артроз тут, конечно, есть. Хотя далеко не крайняя степень. Думать об артродезе вроде рановато. Но и какого рада корригирующая остеотомия могла бы помочь тоже по этим снимкам не скажешь.
    [ Ответить ]

    Re: Боль в голеностопном суставе
    Paul 22 Апрель 2016, 09:41
    Изменения не только в голеностопном суставе, но и, мне так кажется, в прилегающих суставах. Процесс не достаточно старый. Может исход приспособительной перестройки на фоне паралитического процесса.
    Информации недостаточно.
    [ Ответить ]

    Re: Боль в голеностопном суставе
    Бережной Сергей 22 Апрель 2016, 14:26
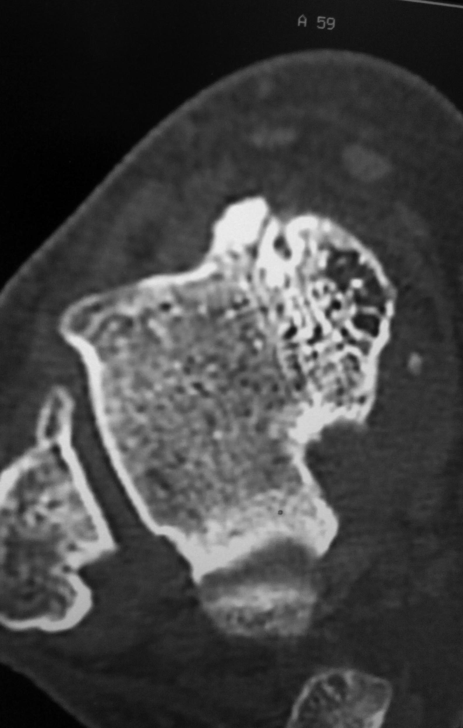
    Я бы еще повниматьнее к таранной кости присмотрелся. Не было ли перелома ее шейки? На КТ срез подозрительный, но только один.
    [ Ответить ]

    Re: Боль в голеностопном суставе
    Фарид 22 Апрель 2016, 19:04
    Я тоже согласен, на одном из КТ-снимков, подозрение на перелом шейки таранной кости.
    [ Ответить ]

    Re: Боль в голеностопном суставе
    Андрей 23 Апрель 2016, 23:46
    Добрый день!
    Спасибо за ответы.
    Снимки сделаны без нагрузки. Как будет возможность, выложу Rg с нагрузкой и фото с объемом движений.
    Также есть подозрение на перелом таранной кости по КТ.
    Если перелом таранной кости, ведение консервативное?
    [ Ответить ]

    Re: Боль в голеностопном суставе
    Бережной Сергей 24 Апрель 2016, 13:17
    Желательно все-таки точно убедиться в наличии перелома таранной кости. Если он не сросся за 3 года, то ситуация становится еще более непонятной. Ждем снимков под нагрузкой и дополнительных срезов КТ.
    [ Ответить ]

    Re: Боль в голеностопном суставе
    Oleg Afanasyev 04 Май 2016, 16:31
    Вколоченный перелом шейки таранной шейки кости,переднего края Б/берцовой кости.МОС шейки таранной кости,удаление костно-хрящевых экзостозов.
    [ Ответить ]


    ( Ответить )

    Powered by Zope  Squishdot Powered MedLink
    Посетитель: 0222732
      "По форме правильно, а по существу - издевательство" В.И.Ленин
    ©2001-2019Orthoforum Coordinator.
    [ Главная | Отправить сообщение | Поиск | Админ ]