AOTRAUMA.ORG Центр Илизарова  

Ортопедия и травматология Общие вопросы/General questions Help Информационные технологии в медицине
 вверх
 отправить
 поиск
 админ
 главная


Деформация голеностопного сустава
Ортопедия и травматология Отправлено Андрей 13 Август 2016, 15:35
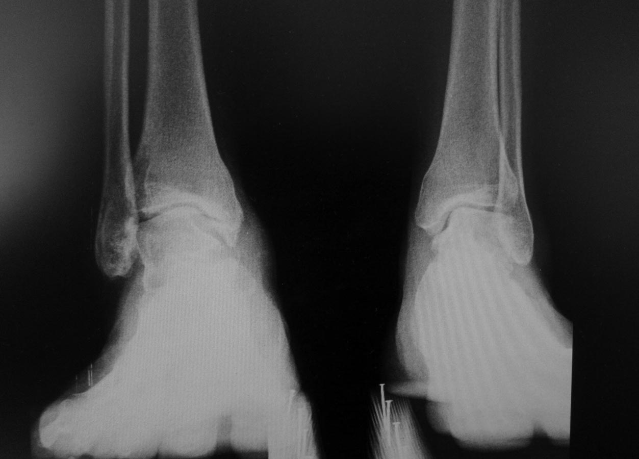
Добрый день! Обратилась женщина 1975 г.р с болями в правом голеностопном суставе.
Случай обсуждался здесь. Только сейчас появилась возможность сделать Rg с нагрузкой. За это время (с апреля 2016 г.) усилились боли и деформация.Какова тактика лечения на ваш взгляд в данном случае?

<  |  >

 

  • Сообщения о Ортопедия и травматология
  • Также Андрей
  • Связаться с автором
  • Ответить

    Re: Деформация голеностопного сустава
    Alexander Larionov 15 Август 2016, 11:36
    Вариантов 3:
    - артродез
    - эндопротез
    - консервативная терапия,
    В зависимости от желания пациента.

    ААЛ
    [ Ответить ]

    Re: Деформация голеностопного сустава
    Дедок Михаил 16 Август 2016, 00:07
    Артродез.
    [ Ответить ]

    Re: Деформация голеностопного сустава
    Сикей 16 Август 2016, 12:42
    Уважаемые, а не была ли тут травма в/3 малоберцовки (я имею в виду надсиндесмозную травму голеностопного сустава) с разрывом синдесмоза. Возможно такой вариант: пробовать востановить целостность синдесмоза (может быть даже с остеотомией для востановления длинны м/берцовой кости) c жесткой фиксацией, и втом случае если устранится подвывих и будет стабилен сустав на этом и успокоится. Благодарю за внимание.
    [ Ответить ]

    Re: Деформация голеностопного сустава
    Алибек 16 Август 2016, 21:19
    Неестественная форма таранной кости позволяет предположить, чт травма была на фоне уже существующей патологии. Хотелось бы получить ответ на ряд вопросов: 1. Не было ли проблем со стопой с раннего детства? 2. Не было ли пареза малоберцового нерва, "шлепающей" стопы"? 3. Нет ли гипотрофии икроножной мышцы? 4. Нет ли внешних признаков стопы Фридрейха?В любом случае наверное предпочтителен артродез, но хотелось бы точнее определиться с диагнозом, кроме артроза.

    [ Ответить ]

    Re: Деформация голеностопного сустава
    Андрей 16 Август 2016, 22:11
    Спасибо за ответы! Проблем со стопой в детстве не было, признаков стопы Фридрейха, пареза малоберцового нерва не было.
    [ Ответить ]

    • Re: Деформация голеностопного сустава
      Отправитель: Коваленко А.Н. 20 Август 2016, 02:59
      Конечно нужно смотреть клинически, но по рентгенограмме можно предположить передний импиджмент. Возможно ремоделирование переднего края большеберцовой облегчит страдания пациентки.

      [ Ответить ]
      • Re: Деформация голеностопного сустава
        Отправитель: Paul 24 Август 2016, 09:58
        Да, случай, известный.
        Предлагаю: 1. Сделать функциональные снимки (Челноков).
        2. Компенсировать угловое положение стопы специальной стелькой (с учетом деформации)
        3. При уменьшении болей подумать о коррегирующей остеотомии


        [ Ответить ]

     

    ( Ответить )

    Powered by Zope  Squishdot Powered MedLink
    Посетитель: 0201120
      "По форме правильно, а по существу - издевательство" В.И.Ленин
    ©2001-2019Orthoforum Coordinator.
    [ Главная | Отправить сообщение | Поиск | Админ ]