AOTRAUMA.ORG Центр Илизарова  

Ортопедия и травматология Общие вопросы/General questions Help Информационные технологии в медицине
 вверх
 отправить
 поиск
 админ
 главная


очередная оперированная стопа
Ортопедия и травматология Отправлено Maxim Agalakov 10 Март 2017, 10:36
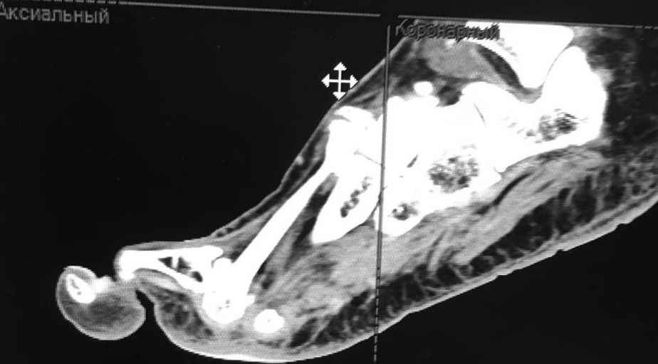
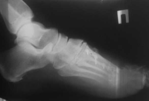
женщина средних лет, оперирована около года назад
заранее извиняюсь за скудность информации (консультация заочная). Насколько я понял, беспокоит метатарсалгия. Достаточно будет укоротить II-IV? Что-то другое? на что обратить внимание?

<  |  >

 

  • Сообщения о Ортопедия и травматология
  • Также Maxim Agalakov
  • Связаться с автором
  • Ответить

    Re: очередная оперированная стопа
    Евгений 10 Март 2017, 16:26
    Судя по снимкам - болезнь Фрайберга по II лучу. Открытая моделирующая остеотомия головки II плюсневой и основания проксимальной фаланги II пальца, Weil с поднятие головки, III-IV лучи малоинвазивно.
    [ Ответить ]

    Re: очередная оперированная стопа
    Бережной Сергей 10 Март 2017, 23:38
    Неутолимое желание поставить больше железок. 6 или 7 винтов и 2 пластины на одну плюсневую. Первичных снимков нет, но можно предположить, что 2 остеотомии привели к значительному укорочению М1. В результате - переходная метатарзалгия. Была или нет до операции деформация центральных пальцев тоже не знаем. Сейчас видны молоткообразная деформация второго пальца с преобладанием его длины над первым, перекрест второго и третьего пальцев. Если выпрямить второй - станет еще длиннее. А выпрямить может помешать отклоненный кнутри третий палец - второму некуда улечься. Поэтому нужно думать об остеотомии 2-4 плюсневых для устранения метатарзалгии (фиксированный или нефиксированный Вейль, DMMO - чем владеете), коррекции молоткообразной деформации второго (с его укорочением) и варусной деформации третьего пальца (возможно и четвертого, если будет мешать выпрямить третий). На болезнь Фрайберга не очень похоже. Скорее это подвывих пальца на некачественных снимках имитирует. В любом случае - моделирующая резекция - калечащая сустав операция. Декомпрессии за счет укорочения будет достаточно. Если есть возможность оперировать чрескожно - самый простой и беспроигрышный вариант.
    [ Ответить ]

    Re: очередная оперированная стопа
    Paul 14 Март 2017, 11:14
    Подвывих по 2-му лучу - большой. Может дополнительно подумать об удлинении разгибателей.
    [ Ответить ]


    ( Ответить )

    Powered by Zope  Squishdot Powered MedLink
    Посетитель: 0176615
      "По форме правильно, а по существу - издевательство" В.И.Ленин
    ©2001-2019Orthoforum Coordinator.
    [ Главная | Отправить сообщение | Поиск | Админ ]