Ответить
|
Re: боли в лучезапястном суставе
Бережной Сергей 13 Март 2017, 00:19
|
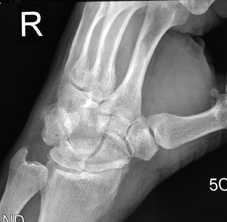
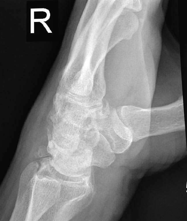
Для начала нужно говорить о тактике обследования. Если не КТ, то хотя бы косую проекцию для вывода ладьевидной кости. И боковую, конечно. Подобные долгоиграющие травмы чаще всего бывают при ложных суставах ладьевидной кости. А здесь уже есть артроз между лучевой и ладьевидной костями. Расширено расстояние между ладьей и полулунной. Скорее всего замешана ладьевидная кость.
|
[
Ответить ]
|
Re: боли в лучезапястном суставе
SAGo 13 Март 2017, 00:42
|
Четкая картина SLAC, положительный симптом "кольца", Терри Томаса.
|
[
Ответить ]
|
Re: боли в лучезапястном суставе
Докторов Алексей 13 Март 2017, 01:33
|
Согласен. Диастема Томпсона, а вот что с ней делать?
|
[
Ответить ]
|
Re: боли в лучезапястном суставе
Oleg Afanasyev 13 Март 2017, 02:11
|

проекции
|
[
Ответить ]
|
Re: боли в лучезапястном суставе
Виталий 13 Март 2017, 14:01
|
Тактика одна - пластика полулунно-ладьевидной связки.
|
[
Ответить ]
|
Re: боли в лучезапястном суставе
Отправитель: Oleg Afanasyev 13 Март 2017, 16:15
|
пластика связки не решает артроза сустава,артродез,решение за пациентом.
|
[
Ответить ]
|
Re: боли в лучезапястном суставе
Отправитель: Виталий 13 Март 2017, 17:55
|
Артроз тут невыраженный, и боли как раз не он дает, артродез в этом случае слишком радикально.
|
[
Ответить ]
|
Re: боли в лучезапястном суставе
Отправитель: Бережной Сергей 13 Март 2017, 21:39
|
А вот интересно, пластика связки устранит застарелый подвывих ладьевидной кости?
|
[
Ответить ]
|
Re: боли в лучезапястном суставе
Отправитель: Виталий 13 Март 2017, 21:48
|
Складывается впечатление что в данном случае может, никто не говорит что будет легко. В крайнем случае можно перейти на один из артродезов, но изначально стоит попытаться.
|
[
Ответить ]
|
|
Re: боли в лучезапястном суставе
SAGo 13 Март 2017, 19:25
|
Артродез можно оставить "на потом". Сейчас: либо 4-угольный артродез, либо карпэктомия проксимального ряда костей запястья. Последняя операция более простая, более надежная, меньше срок фиксации после операции. Тем более, что больному больше 35 лет.
|
[
Ответить ]
|
Re: боли в лучезапястном суставе
Отправитель: Oleg Afanasyev 14 Март 2017, 00:12
|
Функциональность кисти после удаления полулунной и ладьи?Спасибо)
|
[
Ответить ]
|
Re: боли в лучезапястном суставе
Отправитель: SAGo 14 Март 2017, 19:31
|
Например, "Jebson et al. reported their long-term outcomes of PRC for wrist arthrosis. At an average follow-up of 13.1 years, wrist ROM was 63 % and grip strength was 83 % of the contralateral wrist."
https://www.ncbi.nlm.nih.gov/pmc/articles/PMC3702758/pdf/12178_2012_Article_9149.pdf
При этой операции удаляется ладья, полулунная и трехгранная кости.
|
[
Ответить ]
|
Re: боли в лучезапястном суставе
Отправитель: Мельников В.С. 14 Март 2017, 01:13
|
а так же второй вариант влечет более значимое снижение сила схвата кисти, что для 42 летнего мужчины может оказаться значимым.
https://www.ncbi.nlm.nih.gov/pubmed/25294736
|
[
Ответить ]
|
Re: боли в лучезапястном суставе
Отправитель: SAGo 14 Март 2017, 01:22
|
На 7%? А осложнений больше при артродезе аж в два раза!!!!Это сколько процентов?
|
[
Ответить ]
|
Re: боли в лучезапястном суставе
Отправитель: Alexander Larionov 18 Март 2017, 13:56
|
Учитывая, что сустав опух, а поражение кистевого сустава характерны для реактивных артропатий и аутоимунных заболеваний, я бы еще проверил бы пациента на это. Особенно при наличии множественных тендопатий.
ААЛ
|
[
Ответить ]
|
Re: боли в лучезапястном суставе
Отправитель: SAGo 18 Март 2017, 16:41
|
В принципе, сустав может "болеть" при многих патологических состояниях. Есть необходимость и возможность обследовать больного на абсолютно все эти состояния? О тендопатиях, кстати, у ланного больного ничего не говорится.
Была травма, есть признаки SLAC. Как будем пытаться выходить из конкретной ситуации?
|
[
Ответить ]
|
|
Re: боли в лучезапястном суставе
Tozzik 13 Март 2017, 19:52
|
ограниченные артродезы запястья никто не отменял
|
[
Ответить ]
|
Re: боли в лучезапястном суставе
Анатолий 16 Март 2017, 15:52
|
Попробуйте хотя бы раз блокаду сделать, а то че сразу артродезы то
|
[
Ответить ]
|
Re: боли в лучезапястном суставе
Отправитель: SAGo 16 Март 2017, 18:14
|
Блокадой можно вылечить SLAC? Суставной хрящ разрушить можно и что дальше?
|
[
Ответить ]
|
Re: боли в лучезапястном суставе
Отправитель: Анатолий 17 Март 2017, 14:01
|
блокады бывают разные. Их можно сочетать с другими методами и инвазивными и неинвазивными. Найду ссылки поделюсь,а хрящ сам разрушиться
|
[
Ответить ]
|
Re: боли в лучезапястном суставе
Отправитель: SAGo 17 Март 2017, 20:01
|
"блокады бывают разные. Их можно сочетать с другими методами и инвазивными и неинвазивными. Найду ссылки поделюсь" -
Буду ждать с нетерпением и интересом. Причем применительно именно у этому случаю.
"а хрящ сам разрушиться" -
Согласен, в любом случае суставной хрящ разрушится. Но зачем ускорять процесс разрушения блокадами с гормонами? Чтобы уже сразу идти на полнейший артродез кистевого сустава?
|
[
Ответить ]
|
|
Re: боли в лучезапястном суставе
Alexander Larionov 18 Март 2017, 11:21
|
Боль преимущественно где в суставе? Похоже перелом боксера был и трехгранной кости. Плюс артроз есть.
ААЛ
|
[
Ответить ]
|
Re: боли в лучезапястном суставе
Отправитель: SAGo 18 Март 2017, 16:48
|
"Боксерского" перелома не видно. Какой-то "кусок" кости "болтается", но непонятно, откололся от лучевой или от трехгранной. То есть налицо признаки бывшей травмы, но никак не аутоиммунного процесса.
|
[
Ответить ]
|
|
( Ответить )
|